Chapter 2:
Variola virus and other orthopoxvirus
INTRODUCTION
Because of its distinctive clinical picture, described in the previous chapter, smallpox has been recognized as a disease entity for many centuries. Its control by deliberate intervention, at first by variolation, then by vaccination, began long before such measures were adopted for any other disease. Likewise, knowledge of the virus that produced the disease and those that were used to control it, variola and cowpox or vaccinia viruses respectively, is as old as the relatively new science of virology. The particles that cause these two diseases were seen with the microscope, and then by electron microscopy, before any other viruses had been visualized, and their chemical composition was analysed earlier than that of any other animal virus. The family to which they belong, now called Poxviridae, was correctly categorized before any other viral family, and the genus Orthopoxvirus, whose members are the causative, agents of smallpox, vaccinia and the several related diseases with which this book is less directly concerned, was delineated as early as any other viral genus as the “variola-vaccinia subgroup’’ of the poxvirus group.
This chapter outlines the historical development and current state of knowledge of the orthopoxviruses, based primarily on studies with vaccinia virus. Much of the material presented will be of special interest to biologists, but it includes topics of greater complexity and of a more technical nature than can be readily understood by the otherwise informed general reader. However, the authors consider that it is important in this book to endeavour to embrace the full scope of currently available knowledge of the orthopoxviruses. For the virologist the account will appear unbalanced, since the intention is to limit it to providing the virological background that is necessary to understand how the body responds to infection with these viruses, how the clinical diagnosis can be confirmed by laboratory studies, and what other related agents may pose threats to man, confuse the diagnosis or give rise to problems in interpreting ecological data. To do this it will be necessary to describe some features of the orthopoxviruses, such as their structure, the composition of their genetic material and their behaviour in experimental animals, in some detail, but it is not necessary to provide a detailed analysis of the complex events of the replication cycle, a feature which has always been of central interest to virologists.
The Nature of Viruses in General and Poxviruses in Particular
Viruses form a distinct group of agents, which differ fundamentally from cellular microorganisms. The infective particle, known as the virion, is inert; it proceeds to a dynamic phase only after it enters a susceptible cell and loses enough of its outer protective layers to allow its genetic material to be transcribed and translated. The inert poxvirion is the largest of all virions and its genetic material, a single molecule of double-stranded DNA, is among the largest of all viral genomes. Poxviruses differ from most other DNA viruses in that they replicate in the cytoplasm rather than in the nucleus of susceptible cells. To accomplish this, they have a battery of enzymes not found in other DNA viruses, including a viral DNA-dependent RNA polymerase which transcribes messenger RNA from the viral DNA.
CLASSIFICATION AND NOMENCLATURE
The internationally accepted classification of viruses is based primarily on the morphology of the viral particle (virion) and the nature and structure of the viral nucleic acid. As the largest of all viruses, the virions of poxviruses were the first to be seen with the microscope.
Development of Knowledge of the Structure of Poxvirions
As early as 1886, Buist (see Gordon, 1937) reported that he had seen what must have been the virions of vaccinia virus in stained smears, although he regarded them as spores. Calmette & Guérin (1901) used the rabbit to assay batches of vaccine lymph and in the course of this work they observed that the lymph contained numerous minute refractile particles which they suggested might be the “virulent elements”. These observations were confirmed by Prowazek (1905), an expert microscopist, who found that they could be stained by Giemsa’s method, and revived the term “elementary bodies”, originally introduced by Chaveau (1868) and used until recently to describe the virions. Paschen (1906) used a modified Loeffler’s flagellar stain and championed the belief that the elementary bodies of vaccinia virus thus made visible with the microscope were the infective particles; they were later also called “Paschen bodies” in recognition of Paschen’s extensive work in this field (Plate 2.1). Negri (1 906) had shown that the infectivity of vaccine lymph would remain after the lymph had been passed through a filter that held back bacteria, but final proof that the elementary body was indeed the infectious entity was not provided until Ledingham (1 931) showed that antisera produced against vaccinia or fowlpox viruses would simultaneously and specifically agglutinate the particles and neutralize the infectivity of the homologous but not the heterologous virus.
Plate 2.1. “Elementary bodies” (virions) of vaccinia virus. Bar = l μm. Imprint of a rabbit cornea infected with vaccinia virus, prepared and stained by Paschen in 1906.
Further analysis of the structure of pox virions has depended on the use of the electron microscope with virions treated in various ways. Enzymatic digestion was used to demonstrate the existence of a substructure within the brick-shaped virions (Dawson & McFarlane, 1948). In a series of classical studies, Peters (1956), using enzymatic digestion with deoxyribonuclease and metal shadowing, demonstrated the major viral components and designated them as the outer membrane, the lateral bodies and the core. Thin sections of infected cells have been particularly valuable in elucidating the morphogenesis of the virions of vaccinia virus. Negative staining, combined with a variety of methods of degrading the virion, has been useful in analysing the substructure of vaccinia virions (Easterbrook, 1966; Medzon & Bauer, 1970) and in demonstrating the distinctive surface structure of the outer membrane. The negative staining method, first used for poxviruses by Nagington & Horne (1 962), was the cornerstone of the laboratory diagnosis of smallpox as it was developed during the Intensified Smallpox Eradication Programme.
The Nucleic Acid of Poxviruses
Following the development of methods of purification of vaccinia virus by differential centrifugation, workers at the Rockefeller Institute of Medical Research in New York showed that the virions contained 5.6% DNA (Hoagland et al., 1940) but no RNA (Smadel & Hoagland, 1942). The DNA was shown to be double-stranded, with a guanine + cytosine content of 36-37% Joklik, 1962), and subsequent studies showed that it occurred as a single linear molecule with a relative molecular mass of about 123 million comprising 186 000 base pairs (186 kbp).
Classification of Poxviruses
Traditional classifications of diseases were based on symptoms, and certain diseases of man, cow, horse, sheep and pig were grouped together as “poxes” because they were characterized by pocks on the skin. Several of these diseases were caused by poxviruses, but the deficiencies of a classification of causative agents based on signs and symptoms were highlighted by the inclusion of chickenpox (caused by a herpesvirus) and “the great POX” (syphilis—caused by a spirochaete) in the same category as smallpox.
By examining sections of poxvirus-infected tissues, pathologists came to recognize cytoplasmic inclusion bodies as characteristic of poxvirus infection (Guarnieri, 1892), although for many years they were regarded as protozoa. Gradually, however, the significance of the minute particles seen in stained smears was appreciated, and by the 1920s Aragiio (1927) grouped together, as belonging to one family, the viruses of “myxoma, smallpox, molluscum contagiosum, epithelioma of fowls, etc.”. Subsequently, Goodpasture (1933) formally proposed that vaccinia variola, fowlpox, horsepox, sheep-pox, goatpox, swinepox and molluscum contagiosum viruses should be grouped together as the genus Borreliota. Some years later, Buddingh (1953), using particle morphology and the character of the inclusion bodies as well as symptomatology and host range as the criteria, suggested a classification which, as far as it goes, accords with current ideas, except that all viruses with mammalian hosts were included in the same subgroup.
Writing on behalf of the Poxvirus Subcommittee set up by the Sixth International Congress for Microbiology, Fenner & Burnet (1957) produced a short description of the poxvirus group that has remained the basis of subsequent classifications in respect of the criteria used and the subdivisions adopted, although the names they proposed for species were not accepted, and the status of categories (genus, species, etc.) has been changed. With a view to bringing order and international agreement into viral classification and nomenclature, an International Committee on Nomenclature of Viruses was established in 1966, at the Ninth International Congress for Microbiology in Moscow. This Committee, whose name was subsequently changed to the International Committee on Taxonomy of Viruses, is now accepted as the international adjudicator on viral taxonomy and nomenclature (Matthews,1983); the currently accepted classification of the poxviruses of vertebrates is set out in Table 2.1.
Chordopoxvirinae: the Poxviruses of Vertebrates
The basic features of members of the subfamily Chordopoxvirinae are the large size and characteristic ovoid or brick-like shape of the virion and the possession of a genome consisting of a single linear molecule of double-stranded DNA with a relative molecular mass that ranges, for different genera, between 85 million for Parapoxvirus and 185 million for Avipoxvirus. The virions of all members incorporate several enzymes, including a DNA-dependent RNA polymerase. These enable poxviruses to replicate in the cytoplasm of infected cells.
The Genus Orthopoxvirus
The subfamily Chordopoxvirinae includes many viruses that are related to each other only in the general properties just listed. The genus with which this chapter is concerned, Orthopoxvirus, is much more homogeneous, as befits its lower taxonomic status. Table 2.2 lists the names, host ranges and geographical distribution of what, on the basis of their biological properties and genome structure, are 9 distinct species of Orthopoxvirus. All these species show extensive serological crossreactivity, by both in vitro tests (gel diffusion, complement fixation, haemagglutination inhibition, etc.) and by neutralization tests and cross-protection in laboratory animals; indeed the last two tests form the basis for the tentative allocation of a poxvirus isolate to the genus Orthopoxvirus.
Traditionally (e.g., Baxby, 1975, 1977b), species of Orthopoxvirus have been named primarily on the basis of the host animal from which they were derived, and identified on the basis of a range of biological characteristics in laboratory animals. The most important indicators were the host range, the morphology of the pock and the ceiling temperature at which it was produced on the chorioallantoic membrane of the developing chick embryo. The situation was changed by the discovery by Muller et al. (1978) and Esposito et al. (1978) that the DNAs of representative strains of each of several different species of Orthopoxvirus showed distinctive patterns after digestion with restriction endonucleases. With a larger number of strains of several different species, Mackett & Archard (1979) showed that all species of Orthopoxvirus shared a large conserved central part of their genomes. Analysis of the DNA structure now provides an alternative and more fundamental primary criterion for the classification of orthopoxviruses (see Fig. 2.6).
Recognized Species of Orthopoxvirus
Historical features relating to the discovery and recognition of the accepted species of Orthopoxvirus are summarized below.
Variola virus
This virus, which caused human smallpox, has a restricted host range in laboratory animals. Early reports of its transfer to animals are difficult to interpret, but monkeys were used quite early (Zuelzer, 1874) and extensively (e.g., Brinckerhoff & Tyzzer, 1906). Variola virus was subsequently grown in the rabbit cornea and a test developed to differentiate it from chickenpox virus (Paul, 1915). Later it was grown in chick embryos (Torres & Teixeira, 1935), and North et al. (1944) and Downie & Dumbell (1947b) showed that the pocks produced by variola virus on the chorioallantoic membrane were sufficiently distinctive to allow its differentiation from vaccinia and cowpox viruses. A detailed account of the virology of variola virus is presented later in this chapter.
Vaccinia virus
Though a different species of Orthopoxvirus from Jenner’s “variolae vaccinae”, vaccinia virus is the agent that has been most widely used for vaccination. Baxby (1977c, 1981) has summarized speculations about its origins (see Chapter 7). Many strains are supposed to have been derived from variola virus (Wokatsch, 1972; see Chapter 11). However, when experiments were carried out under conditions which precluded the possibility of cross-infection with vaccinia virus, “transformation” of variola virus into vaccinia virus could not be demonstrated (Herrlich et al., 1963).
There are many strains of vaccinia virus with different biological properties, although all have many features in common, such as their wide host range, rapid growth on the chorioallantoic membrane and distinctive genome maps. Since vaccinia virus has a broad host range and has been very widely used for many decades, accidental infections of domestic animals were not uncommon when human vaccination was practised on a large scale (see Table 2.7). Sometimes serial transmission occurs naturally in such animals (cows, buffaloes, rabbits).
In the history of smallpox eradication, vaccinia virus is second only to variola virus in its importance. It is also the “model” orthopoxvirus, with which the vast majority of laboratory investigations of viruses of this genus have been performed. Aspects of its virology are further discussed later in this chapter and its use in the prevention of smallpox is described at length in Chapters 6, 7 and 11.
Cowpox virus
For many years before the time of Jenner, cowpox had been recognized as a disease of cows that was transmissible to man, producing ulcers on the cow’s teats and on the milker’s hands. The distinction between cowpox and vaccinia viruses was first made by Downie (Davies et al., 1938; Downie, 1939a,b). A number of strains of Orthopoxvirus recovered from diverse animals in zoos and circuses, as well as from rodents (see Chapter 29), have now been recognized as being very similar in both their biological properties and their genome maps to the strains of cowpox virus that have been recovered from cows and man; all of these strains belong to the cowpox virus species. Since cowpox virus was so important in the history of smallpox control (see Chapter 6) and causes occasional infections in man (see Chapter 29), its properties are discussed at greater length later in this chapter.
Monkeypox virus
This virus was first recovered from cynomolgus monkeys that had been captured in Malaysia in 1958 and shipped by air to Copenhagen, where they were housed together for several weeks before the disease was recognized (Magnus et al., 1959; see Chapter 29). Several other isolations of the virus were subsequently made from captive primates in Europe and North America between 1960 and 1968 (Arita & Henderson, 1968). In 1970 monkeypox virus was isolated from a case of a disease in a human being in Zaire diagnosed clinically as smallpox (Ladnyj et al., 1972; Marennikova et al., 1972a); human monkeypox has now been recognized as a rare zoonosis occurring in several countries in western and central Africa. Monkeypox virus infection in monkeys has been used as a model for the study of the pathogenesis of smallpox (see Chapter 3). The properties of monkeypox virus, the clinical and epidemiological features of human monkeypox, and its ecology in Africa are discussed in Chapter 29.
Ectromelza virus
Infectious ectromelia, later called mousepox, was described in the United Kingdom by Marchal (1930), and the virus was subsequently recovered from laboratory mice in many parts of the world (Fenner, 1982). Serological studies (Kaplan et al., 1980) suggest that voles may be a reservoir host of ectromelia virus in nature. Mousepox has been extensively used as a model system for studies relevant to the pathogenesis and immunology of smallpox (see Chapter 3). Ectromelia virus does not produce disease in man (Fenner, 1949a).
Camelpox virus
This virus shares several biological properties with variola virus and was originally described as being “extremely closely related” to variola virus (Baxby, 1972). However, it behaves differently in cultured cells (Baxby, 1974) and has a distinctive genome structure (Fig. 2.6). The camel appears to be the only natural host. It was first isolated in tissue culture by Ramyar & Hessami (1972) and its affinities with the genus Orthopoxvirus were recognized by Baxby (1972). Extensive studies in Somalia during the Intensified Smallpox Eradication Programme confirmed that it did not cause disease in man (Ježek et al., 1983).
Taterapox virus
This virus was recovered from pooled liver/spleen material obtained from small naked-soled gerbils (Tatera kempi) captured in Benin in 1964 (Kemp et al., 1974). It was studied by Gispen (1972) and Huq (1972), and characterized as a species of Orthopoxvirus by Lourie et al. (1975), who described it as “like variola minor virus” and speculated about its possible role in the long-term survival of variola virus. However, it has a distinctive genome map (see Fig. 2.6), which shows the usual features of orthopoxvirus DNA.
Nothing is known of its natural history, and little except what is shown in Table 2.3 is known of its biological properties. Taterapox virus may be one of several orthopoxviruses responsible for the high proportion of positive results obtained in orthopoxvirus haemagglutination-inhibition tests carried out on sera derived from a variety of wild animals captured in tropical rain forest regions in Africa (see Chapter 29).
Raccoonpox virus
The only indigenous orthopoxvirus yet recovered from the Americas, this virus was isolated from raccoons in the eastern USA (Alexander et al., 1972) and characterized as a distinct species of Orthopoxvirus by Thomas et al. (1 975). Its genome could not be mapped by methods used for other orthopoxviruses, since only about half the HindIII restriction endonuclease fragments cross-hybridized with those of other orthopoxviruses (Esposito & Knight, 1985), indicating a much more distant relationship than that found between other orthopoxviruses.
Uasin Gishu disease virus
This is an African orthopoxvirus recognized only by the fact that it causes papular lesions in horses in parts of Kenya (Kaminjolo et al., 1974a,b). It appears to be a virus enzootic in African wildlife, and if more widely distributed it could complicate ecological studies of monkeypox virus by blurring the serological picture.
CHARACTERISTICS SHARED BY ALL SPECIES OF ORTHOPOXVIRUS
Having shown the way in which early studies of the morphology of poxvirus particles led to a classification of the family and the designation of the genus Orthopoxvirus it is necessary now to outline current views on the structure and chemistry of these viruses. The vast majority of such studies were carried out with vaccinia virus, but they apply, with minor variations, to all orthopoxviruses.
Morphology of the Virion
Fig. 2.1, which is based on electron microscopic studies of vaccinia virus using thin sections, negative staining and freeze etching, represents the virion as consisting of four major elements: core, lateral bodies, outer membrane and, as an inconstant component, an envelope. The well-defined central core (Plate 2.2C and D) contains the viral DNA, and on each side of the core there is an oval mass called the lateral body. The core and lateral bodies are enclosed within a well-defined “outer membrane”, which has a characteristic ribbed surface structure (Plate 2.2A and Fig. 2.1), and is composed of a large number of surface tubules (Plate 2.3). The viral DNA within the core, which is associated with at least 4 different proteins, is maintained in a superhelical configuration, and appears to occur in globular structures interconnected by DNA-protein fibres, resembling the nucleosome structures of eukaryotic chromatin (Soloski & Holowczak, 1981). Virions released spontaneously from cells are often enclosed within a lipoprotein envelope (Plate 2.2B) which contains the vaccinia haemagglutinin and several other virus-specific polypeptides (Payne & Norrby, 1976; Payne, 1978). Virions released by cellular disruption are infectious but lack an envelope( Appleyard al., 1971); their outer surface is then composed of the outer membrane.
The envelope probably plays a role in the spread of virions within the animal body and thus in pathogenesis (see Chapter 3). More important in the context of smallpox control is the suggestion that the low protective power of inactivated vaccines (see Chapters 3 and 11) is due in part to the fact that they consist of inactivated non-enveloped virions (Boulter & Appleyard, 1973), whereas live virus vaccines produce envelope proteins in the process of replication.
Fig. 2.1. The structure of the vaccinia virion. Right-hand side, section of enveloped virion; left-hand side, surface structure of non-enveloped particle. The viral DNA and several proteins within the core are organized as a “nucleosome”. The core has a 9-nm thick membrane, with a regular subunit structure. Within the virion, the core assumes a dumb-bell shape because of the large lateral bodies. The core and lateral bodies are enclosed in a protein shell about 12 nm thick-the outer membrane, the surface of which consists of irregularly arranged tubules, which in turn consist of small globular subunits. Virions released naturally from the cell are enclosed within an envelope which contains host cell lipids and several viruse specified polypeptides, including the haemagglutinin; they are infectious. Most virions remain cell associated and are released by cellular disruption. These particles lack an envelope so that the outer membrane constitutes their surface; they also are infectious.
Antigenic Structure
The large and complex virions of orthopoxviruses contain a very large number of polypeptides, each of which probably contains several epitopes (antigenic sites). Much modern virological research is concerned with the structure and function of the viral polypeptides, their location in the virion and the processes by which they are produced during viral replication. Such research will undoubtedly illuminate our understanding of the biology of orthopoxviruses and the way in which they cause disease, but it is peripheral to the practical problems with which this book is concerned. However, three aspects of the composition of these polypeptides and their antigenic makeup are highly relevant: (1) some antigens show cross-reactivity across the whole subfamily Chordopoxvirinae; (2) many antigens, including those important in generating a protective immune response, show cross-reactivity within the genus Orthopoxvirus; and (3) some antigens are species- specific.
Antigens common to the subfarnib Chordopoxvirinae
IInvestigations carried out some years ago using crude chemical and serological methods showed that one or several antigens were shared by all members of the subfamily that could be studied. Takahashi et al. (1959) demonstrated that both myxoma-immune sera and vaccinia-immune sera reacted with members of the Orthopoxvirus, Leporipoxvirus, and Ampoxvirus genera when tested by complement-fixation and immunofluorescence tests. Woodroofe & Fenner (1962) were able to demonstrate group cross-reactivity by complement-fixation or immunofluorescence tests only when they extracted the so-called “NP antigen” (Smadel et al., 1942) from myxoma or vaccinia virus. Such preparations reacted with antisera to a wide range of poxviruses, belonging to 5 different genera.
Ikuta et al. (1979) reinvestigated the problem, using radioimmunoprecipitation, and demonstrated that among the 30 antigenic polypeptides found in one-dimensional gels prepared from cells infected with vaccinia, cowpox and Shope fibroma viruses (the last named belonging to the genus Leporipoxvirus) there were 4 which showed cross-reactivity between the orthopoxviruses and Shope fibroma virus. There were, as expected, additional cross-reactive polypeptides shared by vaccinia and cowpox viruses but not found in fibroma virus.
These subfamily serological cross-reactions are not without practical importance. If methods that detect many different antigen-antibody reactions are used in serological surveys of animal sera for evidence of orthopoxvirus infection (e.g., immunofluorescence, enzyme-linked immunosorbent assay (ELISA), or radioimmunoassay), positive reactions may be produced by agents other than orthopoxviruses, such as tanapox virus, i.e., a positive result may mean only that the donor of the serum has been infected with a member of the subfamily Chordopoxvirinae.
Plate 2.2. Electron micrographs of vaccinia virions. A: Non-enveloped virion, showing the surface tubular elements that make up the outer membrane. B: Enveloped virion, as released from the infected cell and found in extracellular medium. C: Thin section of non-enveloped virion showing the biconcave core (c) and the two lateral bodies (Ib). D: Viral core, released after treatment of virions with Nonidet 40 and mercaptoethanol. Bar = 100 nm. (A from Dales, 1963; B from Payne & Kristensson, 1979; C from Pogo & Dales, 1969; D from Easterbrook, 1966.)
Cross-reactions between orthopoxviruses
An unknown agent having been identified as a poxvirus, perhaps by electron microscopy of infected tissues (see, for example, the work of Kaminjolo et al. (1974a) with the virus of Uasin Gishu disease), the next step in its identification as an orthopoxvirus depends on various kinds of serological cross-reactions between it and a recognized member of the genus, such as vaccinia virus. Three kinds of reactions are employed: (1) cross-protection in laboratory animals or cross-neutralization of infectivity; (2) demonstration of an orthopoxvirus-specific haemagglutinin; and (3) analysis of soluble antigens in agar gels by precipitation in gel, immunoelectrophoresis or radioimmunoprecipitation reactions. Both cross-protection and cross-neutralization are strictly genus-specific, and orthopoxviruses are the only members of the family Poxviridae that produce a haemagglutinin.
Cross-protection. This is the classical way of demonstrating the relatedness of poxviruses as members of the same genus. It was first performed as a deliberate experiment by Jenner (1798), when he inoculated James Phipps with pus from a case of smallpox—2 months after having inoculated him with cowpox virus obtained from Sarah Nelmes. Cross-protection remains the most important test for membership of the genus Orthopoxvirus; it can now be supplemented by comparisons of DNA maps.
Cross-neutralization of infectivity. Cross-protection tests depend on a range of immune reactions, cell-mediated as well as humoral. A more limited but more flexible test, since it can be performed in eggs or cultured cells, is the neutralization of infectivity of the homologous and selected heterologous viruses by convalescent serum. This test has been widely used for demonstrating the relatedness of various orthopoxviruses (e.g., Downie & McCarthy, 1950 ; McNeill, 1968).
“Protective antigens”—i.e., those which elicit the production of neutralizing antibodies to orthopoxviruses—fall into two classes: the surface tubular elements of the outer membrane of the virion and some of the virus-specific antigens in the viral envelope. A protein with a relative molecular mass of 58 000 polymerizes to form the surface tubules that are a prominent feature of the outer membrane of vaccinia virions (Plate 2.2A). These surface tubular elements have been isolated from virions in a pure form (Plate 2.3); they elicit neutralizing antibody to nonenveloped but not to enveloped virions and block the neutralizing capacity of antibody to non-enveloped virions (Stern & Dales, 1976; Payne, 1980).
Other protective antigens are located in the viral envelope, which is found only in virions that are released naturally from cells. Analysis of the differences between the polypeptides of non-enveloped virions and enveloped virions by one-dimensional polyacrylamide gel electrophoresis (Payne, 1978) showed that the envelope contained 10 additional polypeptides (9 of which were glycosylated) with relative molecular masses of between 20000 and 210 000.
Antibody to the isolated envelopes neutralized the infectivity of enveloped forms of vaccinia virus, as demonstrated by the “anticomet” test of Appleyard et al. (1971) (see Chapter 3, Plate 3.10), whereas antibody to inactivated non-enveloped virions did not do so (Payne, 1980). It is not known which of the envelope polypeptides are involved in neutralization reactions.
Haemaggltltination-inhibition tests. Of all the poxviruses, only those of the genus Orthopoxvirus produce a haemagglutinin. This is active only on certain kinds of chicken cells (Nagler, 1942) and, with ectromelia virus, on mouse cells (Mills & Pratt, 1980). The agglutinability of chicken cells is genetically determined; White Leghorns produce agglutinable red blood cells whereas several other strains of chicken (e.g., Plymouth Rock) do not (Suzuki et al., 1955). It was the detection of haemagglutination that could be inhibited by vaccinia-immune serum that led Burnet & Boake (1946) to suggest that ectromelia virus was a member of the genus Orthopoxvirus. More recently, the production of the characteristic haemagglutination has been important in suggesting that raccoonpox virus (Thomas et al., 1975), taterapox virus (Lourie et al., 1975) and the virus of Uasin Gishu disease (Kaminjolo et al., 1974b) belong to this genus.
Early studies showed that vaccinia haemagglutinin was a lipoprotein, composed of a viral antigen and a lipid which was responsible for attachment to the red blood cell (Burnet, 1946; Stone, 1946; Chu, 1948). Active haemagglutinin can be reconstituted from these two components after they have been separated by ether/ethanol extraction (Smith et al., 1973). From the time of its discovery, the haemagglutinin was regarded as separable from the virus particle (Burnet & Stone, 1946) and this was the orthodox view for many years. However, the numerous investigations that demonstrated the dissociation of haemagglutinin and virion were carried out with preparations obtained by the disruption of infected cells. With the demonstration that vaccinia virions were sometimes released in an enveloped form, the problem was reinvestigated by Payne & Norrby (1976) and Payne (1979), who demonstrated that vaccinia haemagglutinin is the dominant glycoprotein in the envelopes of vaccinia virions and also occurs in the membranes of cells infected with vaccinia virus, where it can be demonstrated by haemadsorption tests. When cells are disrupted, the non-enveloped virions are readily separable from the haemagglutinin by centrifugation.
Plate 2.3. Purified surface tubules of the outer membrane of vaccinia virus. Bar = I00 nm. On the left is the upper part of an electropherogram of virion polypeptides run side by side with a preparation of the surface tubules that migrates as a single band of 58 K. (From Stern & Dales, 1976.)
Haemagglutinins of different species of Orthopoxvirus cross-react extensively. Using sera from immunized chickens, McCarthy & Helbert (1960) found no evidence of specificity for homologous antigens. On the other hand, Fenner (1949a) found that homologous titres were always higher than heterologous, when comparing vaccinia and ectromelia haemagglutinins. Infection with ectromelia virus of mice previously vaccinated with vaccinia virus resulted in a reversal of titres of inhibition of the respective haemagglutinins.
Analysis of soluble antigens. As already described, there are a few soluble antigens that show cross-reactivity throughout the subfamily Chordopoxvirinae. However, there are very many more that show cross-reactivity within each genus. The principal uses of methods of identifying soluble antigens (gel diffusion and radioimmunoprecipitation) are twofold: (1) in analysing the dynamics of viral replication and the detailed structure of the orthopoxvirus; and (2) in comparing different mutants, strains and species of Orthopoxvirus. In the present context, demonstration of extensive cross-reactivity between a known orthopoxvirus and a new poxvirus isolate would provide strong evidence that the latter belonged to this genus.
Composition and Structure of the Viral DNA
The genome of all members of the genus Orthopoxvirus is a single linear molecule of double-stranded DNA, with relative molecular masses varying for different species from 110 million to 140 million, comprising between 165 kbp and 210 kbp. Orthopoxvirus DNAs contain no unusual bases and the guanine + cytosine content is very low—about 36%. The relative molecular mass of the DNA of different strains of vaccinia virus varies between 11 8 million and 125 million.
Vaccinia virus DNA behaves in an anomalous way when it is denatured. Instead of separating, the two sister strands form a large single-stranded circular molecule, being attached at or near each end of the genome by covalent links (Geshelin & Berns, 1974). For the most part the DNA sequences in the vaccinia genome are unique, but the two terminal fragments cross-hybridize with each other (Wittek et al.,1977) and with the termini of other species of orthopoxvirus (Mackett & Archard, 1979). This inverted terminal repetition is about 10 kbp long in the the strains of vaccinia virus used by-WitGk, but its length varies considerably in other orthopoxviruses. For example, in a series of mutants of cowpox virus studied by Archard et al. (1984), the length of the terminal repetition varied from 4.5 kbp to 41 kbp, almost 20% of the entire genome. Within each terminal repeat of vaccinia virus there are 30 reiterations of a 70-bp sequence arranged in tandem and grouped into 2 discrete groups of 17 and 13 units (Wittek & Moss, 1980; Fig. 2.2). Garon et al. (1978) visualized the terminal repetition by electron microscopy, which showed that the opposite ends of each strand are complementary to each other. The continuity of the DNA chain around the singlestrand hairpin loop at the end of the molecule was shown in a variety of ways, culminating in the determination of the base sequence by Baroudy et al. (1982).
The analysis of vaccinia DNA and of the differences between DNAs derived from different species, strains and mutants of orthopoxviruses entered a new phase with Wittek’s determination of a physical map of vaccinia virus DNA by analysis of the fragments produced when it was treated with various restriction endonucleases (Wittek et al., 1977).
Restriction endonuclease analysis provides a most important tool for the study of orthopoxviruses. On the one hand it opened the way to the cloning of selected fragments of orthopoxvirus DNA in Escherichia coli, ultimately encompassing the whole of the viral DNA, with all its implications for the examination of the molecular biology of viral replication. On the other hand, the demonstration by Mackett & Archard (1979) that a large central part of the genome of allorthopoxviruses is very similar makes restriction endonuclease analysis a powerful method for taxonomic comparisons of different orthopoxviruses. In this book the composition of the DNA, as determined by restriction endonuclease analysis, has been accepted as the ultimate criterion for allocating viruses to species within the genus Orthopoxvirus, and as the technique of choice for examining the affinities of various strains and mutants that have been recovered from time to time.
Fig. 2.2. Schematic representation of the DNA of vaccinia virus (Lister strain). A: Linear double-stranded molecule with terminal hairpins and inverted repeats (not to scale). When denatured it forms a very large single-stranded circular molecule. B: Cleavage sites of restriction endonucleases Hindlll (vertical lines) and Smol (arrow). The asterisk indicates the fragment containing the thymidine kinase gene, which is used in experiments with vaccinia virus as a vector for hybrid vaccines. C: Each 10 kilobase pair (kbp) terminal portion includes 2 groups of tandem repeats of short sequences rich in adenine-thymidine.
Non-genetic Reactivation
Poxviruses exhibit a unique kind of reactivation of “killed” virus. It was first observed by Berry & Dedrick (1 936) with the leporipoxviruses myxoma virus and fibroma virus and was called viral “transformation”. However, it is now known to be a general property of the poxviruses of vertebrates. Poxviruses that have been inactivated by methods which do not damage their DNA can be reactivated; any active member of the subfamily Chordopoxvirinae appears to be able to reactivate any other member of that subfamily inactivated by, for example, heating (review: Fenner, 1962). Reactivation depends on single cells being co-infected with the two viruses concerned, and is essentially an example of complementation. Heating destroys the core-associated DNA-dependent RNA polymerase; the active virus provides this enzyme, or enzymes that release DNA from the cores of both the active and the reactivated viruses. Non-genetic reactivation is a useful tool for obtaining hybrids between orthopoxviruses.
Restriction Endonuclease Mapping of Orthopoxvirus DNAs
Restriction endonucleases are bacterial enzymes that cleave double-stranded DNA at sites which are determined by sequences of 4 or 6 nucleotides. To compare the DNAs of different orthopoxviruses, a few enzymes have been selected for which there are only a few cleavage sites along the whole length of the viral genome. After digestion, the mixture of DNA fragments is separated by electrophoresis in agarose gels, stained and photographed to show the bands of DNA arranged in accordance with their molecular weights. Cross hybridization with selected radioactively labelled fragments of other orthopoxvirus DNAs makes it possible to identify relationships between different orthopoxviruses and arrange the fragments in a linear order along the viral genome (see Fig. 2.6).
To simplify comparisons between the maps of different orthopoxvirus species, strains and mutants, a method of computer-aided analysis of the cleavage sites described by Gibbs & Fenner (1984) has been used. Briefly, the maps of different DNAs are aligned along selected highly conserved cleavage sites. All other cleavage sites for particular enzymes, on all the DNAs under study, are then compared and scored as present, absent, or “impossible” (the DNA molecule may be too small to accommodate the cleavage site in question). The figures thus obtained are analysed by the computer program MULCLAS (Lance & Williams, 1967) and the results expressed as a dendrogram indicating degrees of dissimilarity. The absolute values depend on the number of attributes (separate cleavage sites) in the group of DNAs under study, so that different dendrograms may give quite different figures for the “index of dissimilarity” between the same DNA molecules, if different restriction enzymes or groups of enzymes are used. With orthopoxvirus DNAs such analysis may place undue weight on the effects of internal deletions and transpositions, but it offers a rough method of comparing strains that is better than visual comparisons of the DNA maps (see Fig. 2.7).
More detailed analysis of the orthopoxvirus DNA is carried out by incorporating selected fragments into plasmids and then into Escherzchza coli. Large quantities of the selected fragments can then be produced and analysed by further digestion with restriction endonucleases for which there are numerous cleavage sites, or particular pieces of DNA can be sequenced.
CHARACTERIZATION OF ORTHOPOXVIRUSES BY BIOLOGICAL TESTS
Morphology is useful for classification only at the subfamily level, since only the genus Parapoxvirus can be unequivocally distinguished from the other genera of Chordopoxvirinae by the morphology of the virions, as seen in negatively stained preparations. Crossprotection and neutralization tests make it possible to allocate a poxvirus to the genus Orthopoxvirus. Allocation of an orthopoxvirus to a particular species depends on the use of several biological and chemical tests, respectively to categorize the effects of the virus in various animals and cell systems and to define the nature of its DNA and polypeptides.
In this book attention will be concentrated on the attributes of the 4 orthopoxviruses that were of most significance in relation to smallpox and its eradication: variola, vaccinia, cowpox and monkeypox viruses. More detailed descriptions of the biology of these viruses, and that of the other species of Orthopoxvirus, can be found in Fenner et al. (1987).
Lesions in Rabbit Skin
Historically, one of the earliest tests which clearly differentiated variola from vaccinia virus was the demonstration that only the latter virus produced lesions in rabbit skin, after either scarification or intradermal inoculation. Subsequent investigations have confirmed the value of this test.
Within the Orthopoxvirus genus, there is a correlation between the reaction in rabbit skin (Plate 2.6) and the character of the pocks produced on the chorioallantoic (CA) membrane (see below). Each of 3 species (cowpox, monkeypox and neurovaccinia, including rabbitpox virus) which produce haemorrhagic (ulcerated) pocks on the CA membrane cause large indurated skin lesions with a purple-coloured central area that usually ulcerates before healing. “Dermal” strains of vaccinia virus, which produce small white pocks on the CA membrane, and white pock mutants of cowpox, monkeypox and rabbitpox viruses elicit smaller, pink, nodular lesions. Variola, camelpox and ectromelia viruses produce at most a small papule with transient erythema, which is nontransmissible.
Plate 2.4. Allan Watt Downie (b. I90 I). Formerly Professor of Bacteriology in the University of Liverpool, Downie was a leading worker in the virology and immunology of poxviruses from the late 1930s until the 1970s and made major contributions to our knowledge of cowpox, variola and tanapox viruses. K.R. Dumbell (Plate 2.12) and H.S. Bedson (Plate 2.14) trained under him as graduate students.
Pocks on the Chorioallantoic
All orthopoxviruses produce pocks on the CA membrane, without the need for adaptation by passage. Goodpasture et al. (1 932) first cultivated vaccinia virus on the CA membrane and Keogh (1936) demonstrated that dermal and neurotropic strains of vaccinia virus produced readily distinguishable kinds of pocks, which were white and haemorrhagic (ulcerated) respectively. In contrast, variola virus produces small white pocks on the CA membrane, which can be readily distinguished from those of vaccinia virus (North et al., 1944). Cowpox virus was first cultivated on the CA membrane by Downie (1939a), who showed that it produced bright-red haemorrhagic pocks, clearly distinguishable from those of both vaccinia and variola viruses (Plate 2.5).
Monkeypox virus was not recognized until 1958, when Magnus et al. (1959) demonstrated pocks, which “resembled closely those described for variola virus”, on CA membranes inoculated with material from pustular lesions on infected monkeys. Later studies (Marennikova et al.,1971; Rondle & Sayeed, 1972) showed that the pocks of monkeypox virus are distinguishable from those of other orthopoxviruses; like those of variola virus, they are small, but instead of being dense, white and opaque, they are pink and have an ulcerated, slightly haemorrhagic surface.
The pocks produced by species that elicit opaque white pocks on the CA membrane are usually uniform in character; all pocks on a membrane are similar. On the other hand, species or strains of virus that produce ulcerated pocks (cowpox, monkeypox, and the neurovaccinia and rabbitpox strains of vaccinia virus) regularly produce white pock mutants (Downie & Haddock, 1952; Fenner, 1958; Gemmell & Fenner, 1960; Dumbell & Archard, 1980), which usually differ from the strains producing red pocks in several other biological characteristics, such as the type of lesion in the rabbit skin and, often, their lethality for mice and chick embryos. Vaccinia virus passaged for commercial vaccine production may contain virions producing both white and grey ulcerated pocks; the passage of vaccinia virus by intracerebral or intratesticular inoculation of rabbits or mice usually selects for mutants which produce ulcerated, haemorrhagic pocks on the CA membrane.
Ceiling Temperature
When carrying out experiments on the growth of several different viruses on the CA membrane, Burnet (1936) noticed that ectromelia virus produced pocks at 37°C but not at 39.5°C. This finding was developed by Bedson & Dumbell (1961), who introduced the concept of the “ceiling temperature” as the highest temperature at which pock formation on the CA membrane would occur. The ceiling temperature has proved to be a useful criterion for distinguishing between different species of Orthopoxvirus (Table 2.3). It has also proved useful in distinguishing between variola major and alastrim viruses (Nizamuddin & Dumbell, 1961; Dumbell & Huq, 1986). Cultured cells can also be used for measuring ceiling temperatures (Porterfield & Allison, 1960).
Different species of orthopoxviruses recovered from geographically separate places and at different times usually have the ceiling temperature characteristic of the species. However, in the laboratory ceiling temperature mutants, which are then usually called temperature-sensitive (ts) mutants, can be readily obtained by appropriate selection methods. Sambrook et al. (1966) and Dales et al. (1978) have recovered large numbers of different ts mutants of vaccinia virus. Conversely, Dumbell et al. (1967) obtained two thermo-efficient strains of variola major virus by serial passage at incrementally higher temperatures.
Lethality for Mice and Chick Embryos
The response to infection depends on the age of the animal and its genetic background, the route of inoculation, and the viral species or strain. Variola virus is much less lethal for mice and chick embryos than the other species of Orthopoxvirus that can infect man (Table 2.3).
Growth in Cultured Cells
Most orthopoxviruses can be grown in one or another kind of cultured cell and assayed by plaque counts in suitable susceptible cells. Species which have a wide host range among intact animals (e.g.,vaccinia, cowpox and monkeypox viruses) tend to grow to high titres and in a wide range of cells, and to produce lytic plaques. Species with a restricted host range, such as variola virus, replicate in a narrower range of cells and often produce hyperplastic foci (see Plate 2.13). However, on serial passage, adaptation occurs readily and may involve change to a more lytic plaque. Monolayers infected with viruses that produce hyperplastic foci usually yield much less virus than those infected with viruses that produce lytic plaques, since most cells in the monolayer remain uninfected. Differential growth capacity in particular cell lines (e.g., the rabbit cell line RK 13 and pig embryo kidney cells) may be useful in distinguishing between variola and monkeypox viruses when these viruses are first inoculated into such cells (see below); however, adaptation occurs readily.
Since the viral haemagglutinin is inserted into the cytoplasmic membrane of infected cells, haemadsorption can be used to detect orthopoxvirus infection in cultured cells. Different patterns of haemadsorption have proved useful in distinguishing between isolates of variola virus from different parts of the world (see below).
Plate 2.5. The appearance of pocks on the chorioallantoic membrane produced by various species of Orthopoxvirus that infect man. Monkeypox virus pocks photographed after incubation for 3 days at 35°C; all others after 3 days at 36°C A: Variola major virus. B: Vaccinia virus (Lister strain). C: Monkeypox virus (Copenhagen strain). D: Cowpox virus (Brighton strain).
Plate 2.6. Lesions produced in the rabbit skin 5 days after the intradermal inoculation of doses of lo5 pock-forming units of various species of Orthopoxvirus. Ectromelia (ECT), taterapox (TAT) and camelpox (CAM) viruses produce no lesions and variola (VAR) virus elicits only a slight erythema. Monkeypox (MPX) and cowpox (CPX) viruses produce large indurated lesions with a purple centre that often ulcerates. The response to vaccinia virus (VAC) varies with the strain; dermal” strains usually produce a distinct red indurated nodule and neurovaccinia a lesion like that produced by cowpox virus.
Plate 2.7. Cytoplasmic inclusion bodies in cells infected with orthopoxviruses. A: B-type inclusion bodies (Guamieri bodies) in hyperplastic ectodermal cells of the chorioallantoic membrane, in a pock produced by variola virus. Note that the surface of the pock is intact and there are no erythrocytes in the ectoderm, although they are present within a vessel in the mesoderm. (Eosin and methyl blue stain.) B: B-type (pale-red, irregular) and A-type (large eosinophilic, with halo) inclusion bodies in ectodermal cells of the chorioallantoic membrane, in a pock produced by cowpox virus. There are also a number of nucleated erythrocytes in the ectoderm and free in the mesoderm, and the surface of the pock is ulcerated. C: Section of the skin of a patient with haemorrhagic-type smallpox, showing Guamieri bodies, and free erythrocytes below an early vesicle. (Haematoxylin and eosin.)
Appearance of Orthopoxvirus Pocks on the Chorioallantoic Membrane
The most useful laboratory test for distinguishing between species of Orthopoxvirus is the appearance of pocks on the CA membrane. Unlike plaques in cultured cells, which result from the direct interaction between cells and virus, a third component enters into the appearance of pocks—namely, leukocytes and erythrocytes delivered to the site via the bloodstream. Basically, a pock is a greyish-white focus, varying in diameter from 0.4 mm to 4 mm, according to virus species. It is produced by a combination of hyperplasia of the ectodermal layer of the CA membrane and the infiltration of cells into the mesodermal layer. Sometimes, as with variola virus, the surface of the pock is glossy white, owing to pronounced hyperplasia of the ectoderm; sometimes, as with monkeypox virus, the superficial layer ulcerates and there is a superficial haemorrhage into the crater. The pocks of cowpox virus are bright red, because very little leukocytic infiltration occurs and there are capillary haemorrhages into the pock.
Expression of the “characteristic” pock phenotype is influenced by the concentration of pocks and the temperature of incubation. Expression of the “red” pock phenotype is enhanced when the pocks are semiconfluent or confluent. Also, at higher temperatures pocks tend to be greyish-white and non-ulcerated, whereas at lower temperatures some species (but not variola virus) produce pocks with an ulcerated, haemorrhagic centre. For example, at 37°C camelpox virus produces small pocks very similar to those of variola virus (Mayr et al., 1972), but at 35°C it produces pocks with a haemorrhagic centre (Marennikova et al., 1973). Likewise, at 37°C monkeypox virus produces white pocks very 1ike.those of variola virus (Magnus et al., 1959), whereas at 35°C the pocks are ulcerated and haemorrhagic (Marennikova et al., 1971).
Inclusion Bodies
Two kinds of inclusion bodies occur in the cytoplasm of cells infected with orthopoxviruses, which Japanese investigators (Kato et al., 1959) have distinguished as A-type and B-type (Plate 2.7). B-type inclusions are the sites of viral replication and are produced by all orthopoxviruses. A-type inclusions are strongly eosinophilic and are found only in cells infected with cowpox, ectromelia and raccoonpox viruses.
Comparison of Biological Characteristics of Different Species
Although a good deal of variation in biological behaviour occurs between different strains of the orthopoxviruses that have been the most carefully studied, certain characteristics appear to be regularly associated with each species (Table 2.3). Most of the characteristics listed are usually or invariably found with recently isolated strains of all species; some appear to be very stable, whereas others can be altered by the deliberate selection of mutants or by serial passage at high concentration.
Viral replication is a central focus of virology, yet it is largely peripheral to the understanding of smallpox and vaccination, with which this book is concerned. We shall therefore restrict the description of the replication of poxviruses to a simplified diagram (Fig. 2.3), and describe briefly aspects that are relevant to the pathogenesis and immunology of smallpox and vaccinia-namely, the initiation of infection, assembly and release of progeny virions and changes in infected cells. The reader interested in a more detailed account of poxvirus replication should consult Moss (1985) or Fenner et al. (1987).
Fig. 2.6. The replication cycle of vaccinia virus. Both enveloped and non-enveloped particles are infectious but differ in their attachment to cells and mode of entry (not shown). The sequence of events is (I) attachment and entry, (2) uncoating I, whereby the outer membrane is removed by cellular enzymes, leaving the core, (3) immediate early transcription from DNA within the core by the viral transcriptase. leading to the production of early enzymes which include the enzyme that produces (4) uncoating II and release of the viral DNA into the cytoplasm. Early transcription continues and simultaneously (5) DNA replication occurs, after which (6) late transcription occurs from the newly synthesized DNA, followed by translation, and cleavage, glycosylation and phosphorylation of some of the late proteins. Morphogenesis (7) is illustrated in more detail in Fig. 2.4. (From Moss, 1985.)
Adsorption, Penetration and Uncoating
The first stage of viral infection consists of adsorption to and penetration of host cells. Enveloped and “naked” orthopoxvirus particles, although both infectious, behave differently. The outer membrane of the nonenveloped particle fuses with the plasma membrane at the surface of the cell, or within a vacuole formed by invagination of the plasma membrane, thus releasing the viral core into the cytoplasm. Enveloped virions are adsorbed more rapidly and efficiently, which explains why they play an important role in the spread of infection, both in cultured cells and in intact animals (see Chapter 3).
Assembly and Maturation
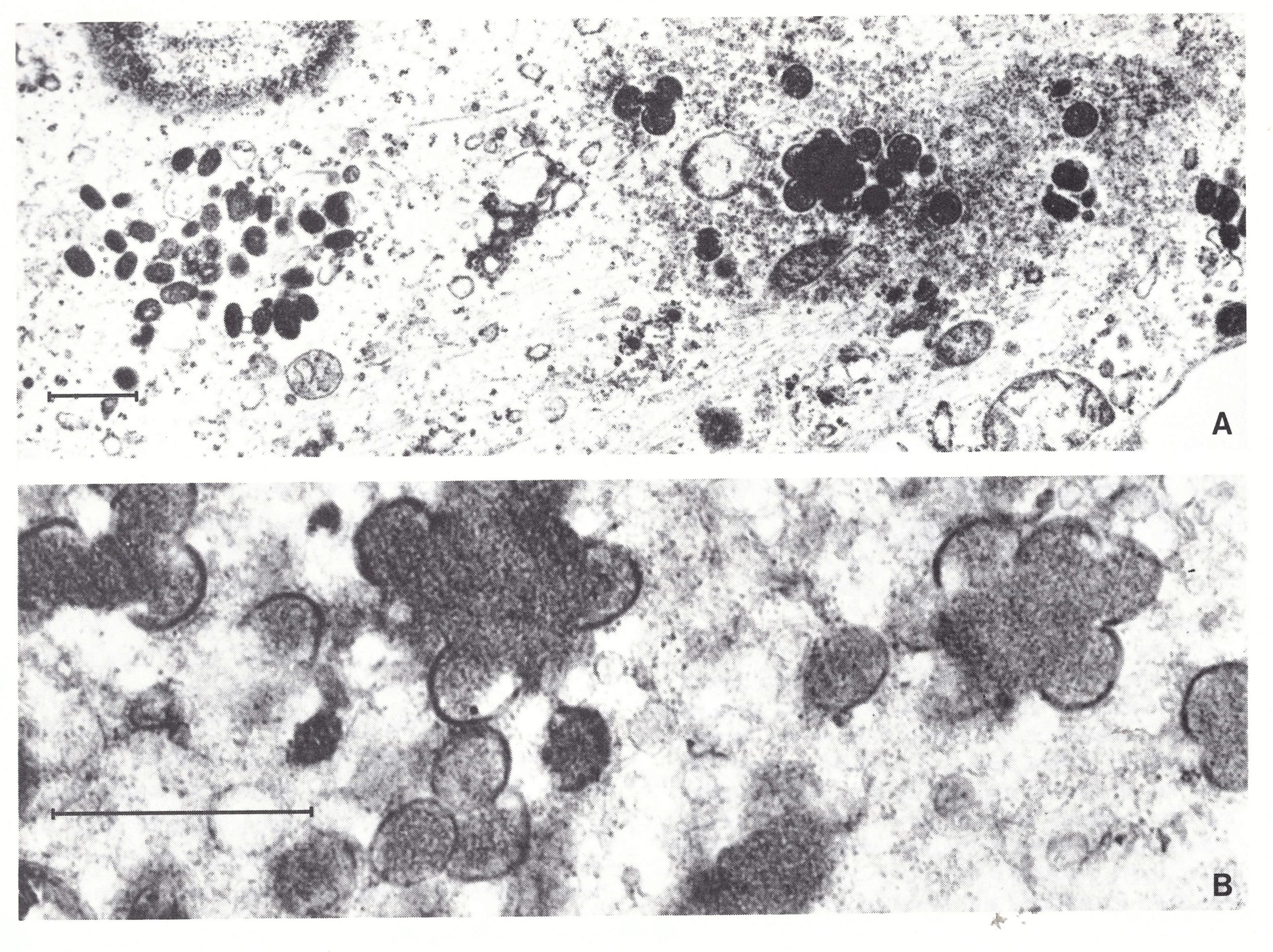
Electron microscopic analysis of thin sections of infected cells suggest a sequence of developmental events, shown diagrammatically in Fig. 2.4. The initial stages of virion formation occur in circumscribed granular electron-dense areas of the cytoplasm. The first morphologically distinct structures are crescents (or cupules in three dimensions) consisting of a bilayer membrane with a brush-like border of spicules on the convex surface and granular material adjacent to the concave surface (Plate 2.8). The spicules are thought to give the membrane its rigid convex shape, which determines the size of the immature viral particles. Ultimately the spicules appear to be replaced by the surface tubular elements of the outer membrane. The immature viral membranes appear circular (or spherical in three dimensions) with a dense nucleoprotein mass embedded in a granular matrix. The nucleoprotein appears to enter the immature envelopes just before they are completely sealed. It is unclear whether the majority of the proteins destined to form the mature particle, which includes proteins of the core membrane and the lateral bodies and many viral enzymes, are enclosed within the membrane of the immature particle or injected simultaneously or sequentially after its development. The additional morphological changes by which the immature particle is reorganized to become a mature virion require continuing protein synthesis. Although DNA replication does not involve the activity of the cell nucleus, assembly is very inefficient in cells lacking functional nuclei.
Fig. 2.4. Diagram of a cell representing the morphogenesis of vaccinia virions. The viroplasm. or viral “factory”, visualized in stained cells as the B-type inclusion body, is first seen at 2.5 hours, cupules first appear at 4 hours, and some are completed as immature particles at 6-8 hours. From 8 hours onwards mature particles appear, maturation occuring within the membrane of the immature particles, which loses its spicules and acquires surface tubules. Processes involving envelopment and release are not shown. (From Moss. 1985.)
Release
In the majority of the vaccinia-virus/cell systems that have been studied, most of the mature progeny virions remain cell-associated. Cell-associated virions are released when the cell undergoes necrosis, and they may infect contiguous cells, within a solid organ or in a cell monolayer, without ever being exposed to an extracellular environment. This occurs by the recruitment of contiguous cells into polykaryocytes (Dales & Siminovich, 1961), as well as by the necrosis of the infected cell, and is well demonstrated by the development of plaques in the presence of neutralizing antibody in the overlay medium (see Chapter 3, Plate 3.10).
Release of virions from the plasma membrane of the intact cultured cell also occurs. Tsutsui (1983) observed a simple budding process in FL cells, but more commonly mature “naked” virions acquire a double membrane envelope in the vicinity of the Golgi apparatus (Ichihashi et al.,1971; Payne & Kristensson, 1979; Plate 2.9A) and migrate to the cell surface, apparently under the influence of cytoplasmic microfilaments (Hiller et al., 1979). At the cell surface the outer of these two membranes fuses with the plasma membrane, releasing enveloped virions (Plate 2.9C and D). This process also occurs in mice infected with vaccinia virus (Payne & Kristensson, 1985).
The efficiency of egress by envelopment is affected both by the type of host cell and by the strain of virus used; RK 13 cells give a high yield of enveloped virions, especially with certain strains of vaccinia virus (Payne, 1980). Routine electron microscopy of material from smallpox pustules and scabs rarely revealed enveloped virions (J. H. Nakano, personal communication, 1982). In cells infected with cowpox virus, most mature virions are usually associated with A-type inclusion bodies (see Plate 2.10).
Cellular Changes
Within one or two hours of infection, so called “toxic” changes may occur in the infected cells, which in monolayer cultures become rounded and retract from each other (Fig. 2.5). New antigens occur on the cytoplasmic membrane very early (Ueda et al., 1972), and by the 4th hour there is cytological evidence of viral replication; basophilic areas appear in the cytoplasm—the viral “factories” of Cairns (1960). Eventually gross changes occur in the cells; depending on the particular virus-host cell combination there may be an aggregation of cells into hyperplastic foci, adjacent cells may fuse to form large polykaryocytes, or cell necrosis and rupture may occur, with release of the cell-associated virions.
Fig. 2.5. Cellular changes seen at various times (logarithmic scale) after infection of a monolayer of cultured cells.
Inclusion bodies
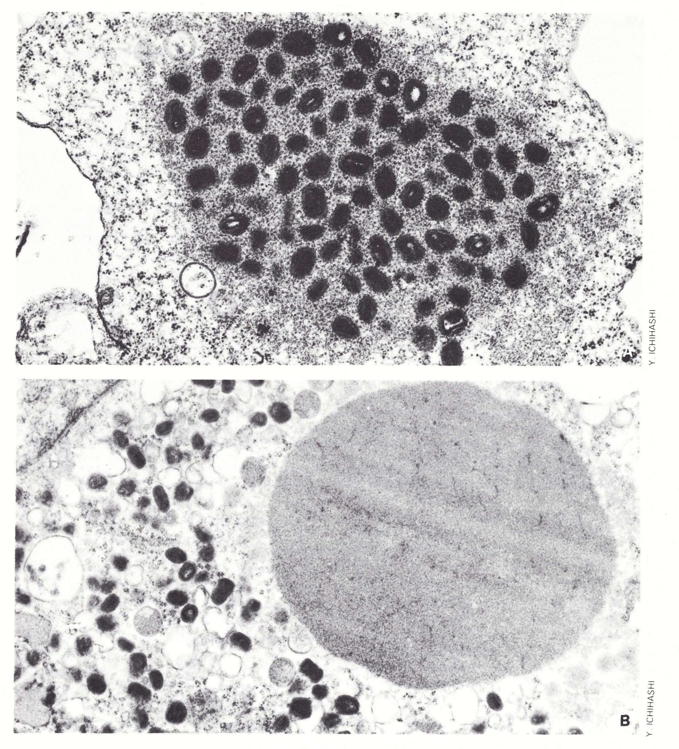
The appearances of the inclusion bodies found in orthopoxvirus-infected cells is shown in Plate 2.7. B-type inclusion bodies are irregular in shape, stain rather weakly with most histological stains and are found in all poxvirus-infected cells. They were first described in cells infected with variola and vaccinia viruses by Guarnieri (1892) and are often eponymously known as “Guarnieri bodies”. It is now clear that these B-type inclusions are the cellular sites of poxvirus replication. A-type inclusion bodies, on the other hand, are usually spherical, stain brilliantly with eosin, and are characteristic of cells infected with ectromelia, cowpox and raccoonpox viruses but are not found in infection with the other orthopoxviruses. Depending on the genetic nature of the virus, A-type inclusions may contain many mature virions or be devoid of them (Plate 2.10; Ichihashi & Matsumoto, 1968). They usually appear late in infection and are not associated with viral replication.
Changes in the cell surface
Some of the earliest changes, and the most significant in relation to the immune response, are the virus-induced alterations in the plasma membranes of infected cells. Some virus-coded antigens are expressed on the surface of the cell within 2 hours of infection (Ueda et al.,1972 ; Amano et al.,1979); other polypeptides which develop late in infection, including the haemagglutinin and several other envelope glycoproteins, are also incorporated into the plasma membranes of infected cells (Payne, 1979). The development of membrane-associated haemagglutinin can be followed by haemadsorption tests, which have been used in the analysis of differences between variola major and alastrim viruses (Dumbell & Wells, 1982; Dumbell & Huq, 1986; see Table 2.4). Some of these viral antigens promote cell fusion and thus cell-to-cell spread of virions.
Plate 2.8. Viral morphogenesis A: Infected cell showing viral “factory” area with immature particles on right. mature naked intracellular virions on left Bar = I000 nm B: “Factory” area showing the “caps” (cupules) of developing immature viral particles Bar = 100 nm. (A from Payne & Kristensson, 1979; B from Dales & Siminovich, 1961).
CHARACTERIZATION OF ORTHOPOXVIRUSES BY CHEMICAL METHODS
Species, strains, and mutants of orthopoxviruses can be characterized by analyses of their DNAs, using restriction endonuclease digestion, or by an examination of gene products (polypeptides) applying serological tests or separation in polyacrylamide gels.
Comparison of Viral DNAs
Dflerences in DNAs of dflerent species
The DNAs of orthopoxviruses range in size from 165 kbp for variola virus to 210 kbp for cowpox virus. The larger differences, i.e., between species, are reproducible but there is some strain variation within each species. As will be described later, deletion mutants occur quite commonly and often involve the loss of substantial fragments of DNA from one or the other end of the genome.
As illustrated in Fig. 2.2, the opposing terminal fragments of the DNAs of most orthopoxviruses contain long terminal repeats, hence they cross-hybridize. Variola virus is an exception, in that it lacks an obvious inverted terminal repeat, so that opposite termini do not cross-hybridize (Mackett & Archard, 1979; Dumbell & Archard, 1980). One end of variola DNA was found to hybridize with termini of the DNAs of other species of orthopoxviruses; the other end hybridized with a subterminal fragment of monkeypox DNA. The absence of a terminal repeat is not absolute ; Esposito & Knight (1 985) have shown that a very small fragment from the vaccinia DNA terminus that hybridizes well with one end of variola DNA hybridizes weakly with the other end, suggesting that there is a very small terminal repetition, less than 0.5 kbp, in variola DNA.
Major comparative studies of the DNAs of different species of orthopoxviruses have been carried out by Mackett (1981) in the United Kingdom and Esposito in the USA (Esposito & Knight, 1985). In this section an attempt is made, using restriction endonuclease maps, to provide the chemical basis for the species designations that are shown in Tables 2.2 and 2.3.
Plate 2.9. Release of enveloped virions by cells of mouse respiratory tract after infection with vaccinia virus. A: Acquisition of double membranes in vicinity of Golgi apparatus. B: Double-enveloped particles in cytoplasm of cell. C and D: Virions with a single envelope after release from cells. bars = 500 nm. (From Payne & Kristensson. 1985.)
Fig. 2.6 sets out the cleavage sites of the restriction endonuclease HindIII in the DNA molecules of strains of each of the 8 species of Orthopoxvirus for which such maps are available. Uasin Gishu disease virus DNA has not yet been analysed by restriction endonuclease digestion. Several Hind111 fragments of raccoonpox virus DNA (the only species of Orthopoxvirus yet found to be endemic in the Americas) cross-hybridize with those of other Orthopoxvirus species, but not at all with HindIII fragments of DNAs of mammalian poxviruses of other genera (Leporipoxvzrus, Parapoxvirus) found in North America. However, the “map” of raccoonpox virus does not lend itself to comparisons by the computer program used for producing Fig. 2.7. The large central conserved area of all the DNAs that have been mapped is readily apparent in the HindIII maps. The close resemblance between the representative strains of particular species (shown in greater detail in Fig. 2.9 and 2.10, and Chapter 29, Fig. 29.1 and 29.4) and the differences between species, particularly towards the ends of the molecule, are apparent, but it is difficult to appreciate these quantitatively by visual inspection of restriction maps. The similarities and differences are brought out better by the dendrogram (Fig. 2.7). On the basis of this kind of analysis it is possible to distinguish clearly between all species of Orthopoxvirus that have been mapped. Other analyses, involving several strains of each of several species in a single dendrogram (Fenner et al., WHO/SE/ 80.154), showed that all strains of each species clustered together and species remained clearly separable.
Changes in DNA associated with mutation and recombination
The foregoing description of the structure and composition of orthopoxvirus DNA may have given the impression that the DNAs of various species are fixed. To some extent this is true; however, minor changes due to mutation occur very frequently and deletion mutations, which are known to occur commonly among the orthopoxviruses with a wide host range (vaccinia, cowpox and monkeypox viruses), can be associated with losses of substantial amounts of viral DNA. Furthermore, different strains and species of Orthopoxvirus recombine readily when single cells are subjected to mixed infection, with associated changes in the DNA.
Diversity in DNA molecules may be readily generated within a species, presumably by “au torecombination” during replication. For example, the terminal fragments of vaccinia DNA may become heterogeneous in length (Wittek et al., 1978), as does the internal junction fragment of white pock mutants of cowpox virus (Archard et al., 1984). These heterogeneities can be eliminated, at least temporarily, by cloning the virus. Indeed, cloning, by the growth of stocks from single pocks or plaques, is an obligatory procedure if stocks of relative genetic homogeneity are required. For example, both Fenner (1 958) and Ghendon & Chernos (1964) found that stock preparations of several different strains of smallpox vaccine contained virus that produced mixed pocks (ulcerated and nonulcerated), which could be separated by cloning.
The most important kind of mutation, from the point of view of the global smallpox eradication campaign, were the white pock mutants of monkeypox virus (see Chapter 30). All orthopoxviruses that produce ulcerated (haemorrhagic) pocks on the CA membrane (cowpox, monkeypox and neurovaccinia strains of vaccinia virus, including rabbitpox virus) produce non-ulcerated (white) pocks with a frequency (from cloned preparations) that varies between 0.1 yo and 0.01 yo. In all cases in which several white pocks have been examined, most mutants obtained from a single cloned preparation have been different (Gemmell & Fenner, 1960; Dumbell & Archard, 1980), and the majority of such mutants involve large deletions from one or the other end of the genome, which are often associated with transpositions (Archard et al., 1984; Moyer & Rothe, 1980; Dumbell & Archard, 1980). In spite of these major changes in the amount of DNA, the rest of the genome map is recognizably that of the parental virus (see Chapter 30, Fig. 30.2).
Plate 2.10. A-type inclusion bodies produced by cowpox virus. Depending on the on the genetic characteristic of the strain, the inclusion body may contain large numbers of virions (A), or none at all (B).
Comparison of Viral Polypeptides
Serological tests
The earliest methods of comparing the polypeptides of different orthopoxviruses were based on serological tests. All orthopoxviruses show substantial cross-reactivity, although differences between species and strains can be demonstrated by absorption tests (Baxby, 1982a). Gel-diffusion tests which had beeen shown to distinguish over 20 different antigens in cellls infect with rabitpox virus (Appleyard and Westwood, 1964a), provided an obvious method for attempting the serological differentiation of different species of Orthopoxvirus. Using absorbed sera, Gispen & Brand-Saathof (1974) and subsequently Esposito et al. 1977a demonstrated species-specific antigenic patterns for variola, vaccinia and monkeypox viruses. Maltseva & Marennikova (1976) used absorption in the test well of gel-diffusion plates to distinguish between variola, monkeypox, vaccinia and cowpox viruses and showed that isolates from a number of different animals in outbreaks in zoos (okapis, elephants, and various carnivores) reacted like cowpox virus.
Immunofluorescence (Gispen et al.,1974), radioimmunoassay (Hutchinson et al.,1977) and ELISA (Marennikova et al.,1981) have also been used for differentiating variola-monkeypox-and vaccinia-specific antisera, after absorption of the tested sera with homologous and heterologous antigens. All methods were effective in allowing specific diagnoses of monkeypox infection to be made with certain monkey sera. However, while absorption tests are usually successful in demonstrating specific antibodies in hightitre sera, they fail with sera of low titre, such as are often found in sero-epidemiological surveys. Further, sensitive tests such as radioimmunoassay-absorption require antisera to the gamma-globulins of the species under test; such antisera are available for monkeys but not for most other species of wild animal. Thus these tests are unsuitable for routine use with sera from a range of different animals, such as are usually collected during ecological surveys.
Comparisons of polypeptides in one-dimensional pobacrylamide gels
Virion polypeptides (Esposito et al.,1977b; Arita & Tagaya, 1980), core polypeptides (Turner & Baxby, 1979) and late intracellular polypeptides (Harper et al.,1979) from several species and isolates of orthopoxviruses have been analysed in one-dimensional polyacrylamide gels. Several differences between species were noted, as were similarities between viruses of uncertain affinities (“Lenny”, MK-10-73, buffalopox; see later) and vaccinia virus. However, bands in such gels are identified only by their size and may include monomers and multiplers. This disadvantage is lessened when additional information is provided by two-dimensional gels or immunoprecipitation (Ikuta et al.,1979). DNA analysis is at present a simpler and more reliable basis for the identification of orthopoxviruses, but immunoprecipitation may be important in the process of developing species-specific monoclonal antibodies.
Fig. 2.6. Physical map locations of Hindlll restriction sites in the DNAs of 8 of the recognized species of Orthopoxvirus. Origin of DNAs: Monkeypox (Zaire)—Congo 1970. an isolate from a human case in Zaire; Monkeypox (W. Africa)-Copenhagen, an isolate from monkey, probably originating in West Africa; Taterapox—Benin isolate; Ectromelia-Hampstead strain; Raccoonpox—isolate from Maryland; Cowpox-Brighton strain; Camelpox—Somalia I 248; Variola major-Harvey strain; Alastrim—Butler strain; Vaccinia-Lister and Venezuela strains. (Data from Esposito & Knight, 1985.)
Fig. 2.7. Dendrogram illustrating the similarities and differences between the DNAs for which restriction sites are shown in Fig. 2.6 (except for raccoonpox DNA). Presence, absence or impossibility of sites (because the DNA molecules were too small) were analysed as described by Gibbs & Fenner (1984) using the squared Euclidean metric (number of attributes = 45). The “index of dissimilarity” has no absolute value, but the dendrogram shows that pairs of viruses of the same species (variola, monkeypox and vaccinia) resemble each other more than any other species. Such comparisons are developed with larger numbers of strains of various orthopoxviruses in Fig. 2.9 (variola virus), Fig. 2.I0 (vaccinia virus), and in Chapter 29, Fig. 29.1 (monkeypox virus) and Fig. 29.4 (cowpox virus).
SUMMARY : DISTINCTIONS BETWEEN ORTHOPOXVIRUSES
Poxviruses have larger and more complex virions than most other animal viruses. As a consequence, neutralization tests, which with most viral families are the best method of distinguishing between viral species, are useful only at the generic level, and cross-neutralization (or cross-protection) provides the most reliable method of allocating an unknown poxvirus to the genus Orthopoxvirus.
However, although there is extensive crossneutralization between all members of the genus, several distinct species exist which differ from one another in a number of biological characteristics, in the size and structure of the genome and in polypeptide composition. Several species are represented by very few independent isolates (ectromelia, camelpox, taterapox, raccoonpox and Uasin Gishu disease viruses), but the properties of the few (or single) isolates of each of these justifies its differentiation as a distinct species. The other 4 species are each represented by many strains, recovered at different times and places.
Variola virus has only been recovered from human subjects and although strains occur which have very different levels of virulence for man, all share many other biological properties and all have very similar genomes.
The other 3 species have wide host ranges. Vaccinia virus has been recovered from a variety of domestic animals and some strains can maintain themselves in nature in rabbits, cows and buffaloes, at least for limited periods of time. However, it seems likely that such infections have originated from human sources. All strains of vaccinia virus share many biological properties and have very similar genomes. Cowpox virus has been recovered from a variety of naturally infected animals, in Europe and the western USSR, but is probably a natural disease of rodents (see Chapter 29). All strains share as characteristic biological properties the production of bright-red haemorrhagic pocks on the CA membrane and the production of A-type as well as B-type cytoplasmic inclusion bodies. Most have larger genomes than those of other orthopoxviruses. Monkeypox virus appears to occur in nature only in western and central Africa, and has been recognized only when infections have occurred in laboratory primates and in man, and once in a wild squirrel. The biological properties of different isolates are very similar, but strains originating from western Africa have rather different genome maps from those recovered in Zaire (see Chapter 29, Fig. 29.1).
VARIOLA VIRUS
Plate 2.11. Left: James Hiroto Nakano (b. 1922). The leading American expert on the diagnosis of poxvirus infections. Head of the WHO Collaborating Centre in the Centers for Disease Control, Atlanta, GA. USA, since I97 I. Active in much WHO-sponsored research on orthopoxvirus infections and a member of several WHO expert groups on poxvirus infections. Right: Joseph John Esposito (b. 1942). A molecular biologist working at the Centers for Disease Control, Atlanta, GA. USA, who has been responsible for much of the mapping of the DNAs of variola, monkeypox and “whitepox” viruses described in the present chapter and in Chapters 29 and 30.
The biological properties of variola virus are enumerated in Table 2.3 and its DNA is compared with that of other species of Orthopoxvirus in Fig. 2.6. It is a specifically human virus, with a narrow host range in laboratory animals, and can be readily distinguished from other orthopoxviruses that can infect man by the distinctive small white pocks produced on the CA membrane (see Plate 2.5).
Isolation from Natural Sources
Apart from a few bizarre occurrences, such as the infection of a performing monkey described by Mack & Noble (1970), variola virus has been found in nature only as a specifically human pathogen, and thousands of isolations have been made from infected humans. Reported recoveries of variola virus from animal sources (the so-called “white-POX” viruses), described in Chapter 30, are not regarded as providing an exception to this statement.
Variola Major and Variola Minor
Observations on outbreaks of smallpox in the USA and South Africa at the end of the 19th century and in the USA and the United Kingdom during the early 20th century led to the recognition that, regardless of the vaccination status of the community involved, some epidemics were associated with a high mortality and others with a low mortality (see Chapter 1). Painstaking epidemiological studies by Chapin & Smith (1 932) showed that the novel mild variety of smallpox recognized in the USA early in the 20th century “bred true” and never reverted to the severe variety, either in the USA or when it was transported to other parts of the world. This variety of smallpox was called variola minor and the classical form variola major.
Subsequent studies in different geographical areas showed that strains of variola virus which occurred in various parts of the world differed in their virulence for man, producing case-fatality rates in unvaccinated individuals that ranged from less than 1 yo to about 40% (see Chapter 4). However, for practical purposes only two clinico-epidemiological varieties of smallpox were recognized : variola major (case-fatality rates, 5-40y0) and variola minor (case-fatality rates, 0.1-2yo). Recent laboratory studies of strains of variola minor virus recovered from Africa and the USA (or from countries with variola minor originally derived from the USA) revealed that these two groups of variola minor viruses differ in several characteristics (Dumbell & Huq, 1986) ; it is convenient to distinguish them by calling the USA-derived strains alastrim virus and the other strains African variola minor virus.
Laboratory Investigations with Variola Virus
Because of its danger, variola virus was studied much less than vaccinia virus in the laboratory, especially in recent years, after smallpox had been eliminated from most of the countries in which sophisticated laboratory investigations could be carried out. Laboratory investigations were focused on three aspects : (1) the devising of a diagnostic procedure for the recognition of variola virus; (2) finding correlates in laboratory animals of virulence for man; and (3) during recent years, a comparison of the DNAs of strains of variola virus obtained from different parts of the world and the comparison of the DNAs of variola virus and other orthopoxviruses.
Plate 2.12. Keith Rodney Dumbell (b. 1922). A leading British virologist who has been involved in studies of variola virus and other orthopoxviruses since 1946. He was head of the WHO Collaborating Centre for Poxvirus Research at St Mary’s Hospital Medical School, London, England, from I969 to I98I , and was a member of the Global Commission and several WHO expert groups on poxvirus infections.
Pathogenicity for Laboratory Animals
Variola virus was one of the first viruses to be inoculated in laboratory animals, when tests were carried out in monkeys and in cows (in attempts to develop strains of “vaccine”). Subsequent investigations showed that it had a much narrower host range than the other orthopoxviruses that infect man (cowpox, monkeypox and vaccinia viruses), and usually produced smaller or less severe lesions than these viruses in the laboratory animals that were suceptible.
All strains of variola virus produce small white pocks on the CA membrane of developing chick embryos (Plate 2.5); this is the most useful laboratory test for differentiating variola virus from other poxviruses in material derived from human subjects. The pocks reach a diameter of 0.3-0.6 mm after 3 days’ incubation. They are uniform in size, raised above the surface and have clearly demarcated margins. Unlike camelpox virus, the pocks of which develop a small hemorrhagic center when the eggs are incubated at 35°C, the pocks produced by variola virus retain their characteristic opaque white appearance at all temperatures. Experienced laboratory workers can accurately differentiate variola virus from all other poxviruses by this test alone.
Another simple and useful test for differentiating variola virus from monkeypox, vaccinia and cowpox viruses is intradermal inoculation in rabbits, since of these four agents only variola virus fails to produce a large and obvious lesion (Plate 2.6). Dumbell & Bedson (1966) showed that variola virus could be adapted to grow serially in rabbit skin if first passed several times in rabbit kidney cell cultures. It then produced a small nodular lesion at the site of intradermal inoculation, but newly isolated and un adapted strains did not produce transmissible lesions in rabbits, although large doses produced erythema and a small transient papule at the inoculation site.
Some non-human primates are highly susceptible to infection with variola virus and suffer from a disease with a generalized rash, which may be severe and sometimes lethal in chimpanzees and orang-utans. The symptomatology and pathogenesis of primate smallpox are discussed in Chapter 3.
Tests in cows
During the 19th century the cow was often inoculated with variola virus, in efforts to obtain new strains of “variolae vaccinae” for human vaccination. The old literature contains many claims of success for this procedure, largely from German authors-and claims to the contrary, largely from French authors. Some older accounts, although lacking the precision possible with modern virological methods, provide interesting clues about the claimed “transformation” of variola virus into vaccinia virus by passage in cows. Fleming (1880), in a wide-ranging review, considered that after intradermal inoculation variola virus sometimes produced a small lesion in the skin of the cow, from which passage of material to humans caused inoculation smallpox. He supported French authorities such as Chaveau in saying that variola virus could not be carried in series in cows, Fleming (1880), in a wide-ranging review, considered that after intradermal inoculation variola virus sometimes produced a small lesion in the skin of the cow, from which passage of material to humans caused inoculation smallpox. He supported French authorities such as Chaveau in saying that variola virus could not be carried in series in cows, although in individual cases early passage inoculations might render them resistant to challenge with cowpox or vaccinia virus.
The most recent experiments in cows are those reported by Herrlich et al. (1963), who inoculated 10 calves with very large doses of variola major virus. Only one reacted with small papules, from which variola virus was recovered but the virus could not be further passaged in cows. Only the animal that reacted was found to be immune when subsequently challenged with vaccinia virus.
Growth in Cultured Cells
In contrast to its limited host range in laboratory animals, variola virus will grow and produce a cytopathic effect in cultured cells derived from many species (Hahon, 1958; Pirsch et al.,1963). However, it grows best in cells from humans and other primates in which it produces characteristic “hyperplastic” foci. In fact, this appearance (Plate 2.13) is not due to proliferation of the infected cells, but to their aggregation. Because of the low cytopathogenicity of variola virus, infected cells remain in the monolayer and are pushed together by the growing non-infected cells around them (Ono & Kato, 1968). Kitamura (1968) described an assay of variola virus based on counting the hyperplastic foci that develop in HeLa and FL cells (Plate 2.13); in primate cells (Vero and JINET) these foci progress to form small plaques (Tsuchiya & Tagaya, 1970).
Variola virus will replicate and produce a cytopathic effect in continuous-line pig embryo kidney cells (Marennikova et al., 1971), a test which has been used to differentiate it from monkeypox virus. However, Veda & Dumbell (unpublished observations, 1974) found that different strains of monkeypox virus varied in their capacity to grow and produce a cytopathic effect in pig embryo kidney cells; some hardly grew at all, others grew moderately well, but none grew as well as variola or vaccinia viruses.
Plate 2.13. Hyperplastic foci produced in HeLa cell monolayers by variola virus (A) and lytic plaques produced by vaccinia virus (B). (Similar large plaques are also produced by monkeypox and cowpox viruses.) Monolayers are in the bottom of Microtiter plates, the wells being 6 mm in diameter. Incubation for 48 hours before staining. (From Kitamura & Tanaka, 1973.
Haemadsorption
Some of the haemagglutinin that is produced during orthopoxvirus infections appears in the cytoplasmic membrane of theinfected cells. When susceptible erythrocytes are added to an infected culture they attach to infected cells, a phenomenon known as haemadsorption. Dumbell & Huq (1986) investigated haemadsorption in human embryo fibroblast cultures which were incubated at 40°C for 48 hours after inoculation with different strains of variola virus. Haemadsorption was classified as confluent, focal or absent (Table 2.4).
Isolates giving confluent haemadsorption were in the majority among the Asian variola major strains and accounted for over half of the Kenyan isolates. Focal haemadsorption was characteristic of most of the other African isolates, but only a few isolates of either Asian variola major or alastrim viruses reacted in this way. Failure to elicit haemadsorption under the conditions of this test was characteristic of the alastrim virus isolates, and, apart from these, was found only in a single isolate from Ethiopia, which was also like alastrim virus in its failure to produce pocks at 38.3°C (see Fig. 2.8).
Dumbell & Wells (1982) showed that at 38°C alastrim virus was inhibited in activities that included the insertion of haemagglutinin into the cell membrane (and hence haemadsorption) and release of virus from the cells, although intracellular maturation proceeded normally; strains of variola major virus and most African strains of variola minor virus showed no such inhibition at 38°C.
Thymidine kinase activity
Thymidine kinase is an enzyme which occurs in all cells, since it is essential for DNA metabolism. However, all orthopoxviruses produce a virus-coded thymidine kinase in infected cells (Moss, 1978 ; Bedson, 1982).
Esposito & Knight (1984) have sequenced the thymidine kinase genes of vaccinia, variola and monkeypox viruses; each differs from the other by some dozen nucleotides (out of 534) and some 5 amino acids (out of 178). Bedson (1982) showed that thymidine kinase produced by each of 11 strains of variola virus (irrespective of geographical origin) was more sensitive to feedback inhibition by thymidine triphosphate than that of any other species of Orthopoxvirus (see Table 2.3).
Plate 2.14. Henry Samuel Bedson (1 9294 978). A leading British virologist, who worked on various aspects of variola and “whitepox” viruses. He was Professor of Microbiology at the University of Birmingham and a member of the WHO Consultative Group for Poxvirus Research.
Laboratory Tests for Virulence
It would clearly have been useful to devise laboratory tests which might have indicated the virulence for man of different strains of variola virus. Most studies addressed themselves to the problem of differentiating strains that caused variola minor from those that caused variola major. Several tests, outlined below, satisfactorily differentiated strains of alastrim virus derived from the Americas from strains that caused variola major. However, none of these tests distinguished strains of variola minor virus originating in Africa from variola major virus (Dumbell & Huq, 1986).
Pathogenicig for chick embryos
The first demonstration of a difference between strains of variola major and alastrim viruses in laboratory animals was the finding by Dinger (1956) that variola major virus grew better than alastrim virus in chick embryos. Helbert (1957) then showed that the amounts of variola major and alastrim viruses recovered from the CA membrane in embryos incubated at 35-36°C were almost the same, but that there was a much higher concentration of virus in the livers of embryos inoculated with variola major virus, and a higher mortality. Dumbell et al. (1961) showed that the mortality was temperature-dependent ; both varieties killed embryos at 35°C but only variola major did so at 37°C.
Dumbell & Huq (1986) further elaborated Helbert’s test of pathogenicity for chick embryos and showed that different strains of variola virus showed a wide spectrum of response which was not strictly correlated with either virulence or geographical origin. Most strains of Asian variola major virus were of high or moderate pathogenicity. The 8 strains of alastrim virus that were tested were of low or moderate pathogenicity, but strains of variola minor virus from Botswana and Ethiopia showed much the same spectrum of pathogenicity (moderately high to low) as did strains of variola major virus from Kenya. Sarkar & Mitra (1967) reported that different strains of Asian variola major virus differed in their pathogenicity for the chick embryo in eggs incubated at 36°C.
Ceiling temperature
Nizamuddin & Dumbell (1961) developed a simple test which reflected the greater temperature sensitivity of growth of ahstrim virus compared with variola major virus. A comparison of the numbers of pocks produced on the CA membrane at 35°C and 38.3°C allowed an unequivocal distinction to be made between the viruses of variola major and alastrim: variola major virus produced pocks at 38.3°C but alastrim virus did not. The difference in the temperature sensitivity of viral growth (ceiling temperature) of these two varieties of variola virus could be determined equally well in some lines of cultured cells (Kitamura & Tanaka, 1973).
Subsequent studies confirmed the value of the ceiling temperature as a criterion for distinguishing alastrim virus (Downie et al.,1963), but strains of variola minor virus of equal or lower virulence from Africa (Botswana, Ethiopia) could not be differentiated from variola major virus by this test (Dumbell & Huq, 1986; Fig. 2.8). One isolate of variola minor virus from Ethiopiastood apart from all others tested in that it resembled alastrim virus in having a low ceiling temperature and failing to produce haemadsorption (Table 2.4). In an earlier study of 61 isolates of variola virus from different geographical locations, including 6 strains from Ethiopia, Shelukhina et al. (1979a) found one Ethiopian strain which resembled alastrim virus in its ceiling temperature and its virulence for mice and chick embryos. The other 5 strains from Ethiopia could not be distinguished from variola major virus by laboratory tests, although they were collected at a time when only variola minor was occurring in Ethiopia.
Initial studies (Bedson et al.,1963; Dumbell & Huq, 1975) suggested that some East African strains that showed lower virulence than Asian variola major were intermediate between variola major and alastrim viruses in their ceiling temperatures. However, attempts to define an “intermediate” strain of variola virus were not successful (Fig. 2.8). Kitamura et al. (1977b), using the temperature sensitivity of the capacity to produce foci in HeLa cells, found that 4 out of 55 strains of variola major virus recovered in India in 1975 were of the “intermediate” level of temperature sensitivity described for some East African strains.
Fig. 2.8. Differences in log titre when incubating each of 196 variola virus isolates from different geographical regions on the chorioallantoic membrane at 35°C and 38.3°C. The larger the difference in titre, the greater the sensitivity to a raised temperature (i.e., the lower the ceiling temperature). Each dot is the result of assays of a single isolate: the vertical line shows the median observation for each group of isolates. Alastrim virus = strains of variola minor virus from South America and Europe, originally derived from the Americas. (From Dumbell & Huq. 1986.)
Differences in the Virulence of Strains of Variola Major Virus
Another problem, which was studied especially by Sarkar & Mitra (1967, 1968), was whether very severe cases of variola major (haemorrhagic-type and flat-type smallpox, which were almost invariably fatal—see Chapter 1) were caused by more virulent strains of variola major virus than those that caused discrete ordinary-type smallpox. They claimed that strains of variola virus recovered from cases of haemorrhagic-type smallpox were highly virulent for both chick embryos and suckling mice much more frequently than strains derived from discrete ordinary-type smallpox, and suggested that the virulence of the virus was one component in determining the severity of cases of variola major. However, epidemiological evidence indicates that it was not the most important factor in determining whether a person would suffer from the rare haemorrhagic-type smallpox ; physiological factors in the host were probably more important.
On general biological grounds, and by analogy with myxomatosis, a disease in which the assessment of virulence for the natural host was possible by direct testing (see box), it would be expected that a number of strains of variola virus which differed slightly or perhaps substantially in their virulence for man might be circulating at any time in countries in which smallpox was endemic. Because of complexities such as the degree of accuracy of information on cases and/or deaths, the interval since vaccination (if applicable) and age-related differences in case-fatality rates, it was rarely possible to utilize data from smallpox outbreaks other than to determine whether the cause was very mild smallpox (variola minor) or variola major. The significance of apparent differences in case-fatality rates in different outbreaks of variola major were virtually impossible to assess, although most outbreaks in Africa in the 1960s and 1970s had lower case-fatality rates (see Chapters 17- 20) than those of variola major in mainland Asia. Unfortunately, except for ceiling temperature tests with alastrim virus, there was no laboratory test of which the results were invariably correlated with virulence for man.
Comparison of the DNAs of Strains of Variola Virus
Restriction endonuclease digests of 6 strains of variola virus, derived from outbreaks of variola major and variola minor in Africa, Asia, and Europe, were analysed at the Centers for Disease Control, Atlanta, USA (Esposito et al., 1978; Esposito & Knight, 1985). Physical map locations of the sites of cleavage by the enzyme Hind111 are compared in Fig. 2.9. Minor differences existed between most strains, but there were no special relationships that correlated with either the virulence of these strains for man or their geographical distribution. All the variola DNAs were clearly very different from those of vaccinia and monkeypox viruses. By comparing gels of DNA fragments from several isolates of variola virus, K. R. Dumbell (personal communication, 1984) showed that DNAs from 4 alastrim strains were similar but differed from the DNA of the classical variola major strain, Harvey, whereas the DNAs of all the variola minor isolates from Africa (Botswana, Ethiopia and Somalia) resembled that of Harvey, rather than those of alastrim virus.
Digestion with SalI showed that the two Netherlands “whitepox” virus isolates (see Chapter 30) were identical with a strain of variola virus from Vellore, India, that had been handled in the laboratory at the time of their recovery—a pattern that was unique among 21 strains of variola virus examined (Dumbell & Kapsenberg, 1982).
Most of the data on DNA mapping illustrated in this chapter involve the use of the restriction endonuclease HindIII. Comparison of single strains of variola, vaccinia and monkeypox viruses using 5 other restriction endonucleases (BalI, SmaI, KpnI, SalI and XhoI) confirmed the conclusions about their relationships derived from analyses with HindIII (Esposito & Knight, 1985).
Variation in the Virulence of Poxviruses
It is notoriously difficult to develop laboratory tests to determine the virulence of viruses. The best that can be done is to test the lethality of virus strains in laboratory animals of the same species as those in which the disease is spreading naturally. For variola virus, virulence tests in man were clearly impossible, and they were not practicable in primates. Sarkar tested many strains of variola major virus from Calcutta in chick embryos and baby mice and produced some evidence of differences in virulence for these hosts that appeared to be correlated with virulence for man, but other virologists were unable to reproduce these results, although few attempted to do so. Further, the fact that the highly lethal haemorrhagic-type smallpox usually produced discrete ordinary-type smallpox in case contacts led most epidemiologists to question the relevance of these results. Certain laboratory tests were successfully used for distinguishing one strain of variola virus of low virulence (alastrim virus) from variola major virus, but failed to distinguish between the equally mild African variola minor virus and variola major virus (Dumbell & Huq, 1986).
The variations in virulence that might be expected in a poxvirus that has been spreading naturally for some years can be assessed in animal models. Myxomatosis in the rabbit, Oyctolagus cuniculus, provides a good example, in which the lethality and survival times in groups of rabbits were used as the test for virulence of the virus (Fenner & Ratcliffe, 1965; Fenner, 1983). Two different strains of myxoma virus (a member of the genus Leporzpoxvirus) were used to initiate the disease among wild rabbits in Australia and Europe, and it became enzootic in both continents. Initially both introductions caused very high mortalities (over 99% case-fatality rates), but within a few years tests of the virus in genetically unselected laboratory rabbits showed that a wide range of strains of different virulence had evolved, although no strain has yet been recovered from naturally infected rabbits that is as attenuated as some strains derived by laboratory manipulation. This example shows that with a virus that was initially extremely virulent, several different strains which differed substantially in virulence arose within a few years and persisted in nature. This development occurred within a decade; it seems highly likely that a similar range of strains of variola virus of different virulence for man occurred in countries in which smallpox had been endemic for centuries.
Fig. 2.9. Dendrogram illustrating the similarities and differences between Hindlll cleavage sites on 6 variola DNAs, compared with 4 monkeypox and 2 vaccinia DNAs (see legend of Fig. 2.7). Number of attributes = 36. Origin of DNAs as indicated; V. maj. = variola major; V. min. = variola minor; Mpox = monkeypox. Full details of the origins of the viral strains are given in Esposito 81 Knight ( I 985), from which the data on restriction sites were derived.
Differences between the DNAs of Variola and Monkeypox Viruses
Because variola virus and monkeypox virus both cause a severe generalized poxvirus infection of man, special attention has been devoted to comparing their DNAs. Dumbell and his colleagues have used two techniques: fine structure mapping of equivalent HindIII fragments and analysis of heteroduplex formation, as revealed by electron microscopy.
Using the first method, Dumbell & Dollery (personal communication, 1984) have examined 7 corresponding cloned HindIII fragments of variola and monkeypox viruses, all derived from the central conserved position of the genome, with 20 restriction endonucleases. Their results are summarized in Table 2.5. There were between 2 and 6 (average 3.4) cleavage sites per kilobase pair (kbp), and the percentage of sites not shared varied, for different fragments, between 20% and 50% (average 30%).
Using similar cloned fragments of these two viruses, Kinchington et al. (1984) compared the threshold denaturation by formamide of homoduplexes and heteroduplexes. This method is sensitive and revealed a region of significant heterogeneity occurring in 4-6 kbp out of 43-45 kbp of the conserved region. The method has considerable potential and important conclusions can be expected to emerge from its further exploitation.
Genetic Studies
Because in recent years variola virus could be handled only in microbiologically highly secure laboratories, very few genetic studies have been carried out with it. However, as would be expected from the generality of recombination throughout the Orthopoxvirus genus (Woodroofe & Fenner, 19601, mixed infection of cells with variola virus and another orthopoxvirus was found to yield some hybrid progeny. Such progeny were obtained from mixed infections with rabbitpox and alastrim viruses (Bedson & Dumbell, 1964a) and cowpox and variola major viruses (Dumbell & Bedson, 1964; Bedson & Dumbell, 1964b). It was hoped that study of the latter might provide information on the origin of vaccinia virus.
By using the phenomenon of non-genetic reactivation (see above) and incubating inoculated eggs above the ceiling temperature of the active virus (variola minor or variola major viruses) many hybrid clones were obtained. These clones appeared to be stable in their biological characteristics; they showed a wide variety of combinations of properties, some being like those of one or other of the parental species, others being intermediate (Table 2.6).
Each of the 7 markers examined by Bedson & Dumbell (1964b), as well as sensitivity of the viral thymidine kinase to inhibition by thymidine triphosphate, studied later by Bedson (1982), and the presence of the “d” antigen (Rondle & Dumbell, 1982), was capable of segregating independently. The authors suggested that if enough hybrids were tested it would be possible to obtain one that resembled vaccinia virus in all these biological properties. However, it is unlikely that the restriction map of the DNA of such a virus would resemble that of vaccinia virus.
Species Diagnosis
The most useful biological characteristics for species diagnosis of variola virus are the production of small dense white pocks (0.3-0.6 mm in diameter) on the CA membrane, with a low ceiling temperature (37.5°C for alastrim virus and 38.5°C for all other strains), the low virulence for mice and chick embryos, the failure to grow in rabbit skin and the capacity to produce a cytopathic effect in pig embryo kidney cells and hyperplastic foci in HeLa cells. When these characteristics were found in material obtained from a case of suspected smallpox they constituted positive confirmation of the diagnosis; indeed, the recovery of typical variola virus pocks on the CA membrane was usually accepted as diagnostic.
It is worth noting, however, that combinations of properties rather like this are found with both camelpox virus and taterapox virus (Table 2.3). The source of the material usually removes any uncertainty; neither camelpox virus nor taterapox virus has ever been found to produce disease in man and variola virus has never been recovered from animals under conditions in which no suspicions arose of laboratory contamination (see Chapter 30). The 3 viruses can also be differentiated by laboratory tests :
- Only variola virus produces dense white pocks at all temperatures of incubation at which pocks develop.
- Variola virus produces hyperplastic foci and camelpox virus produces giant cells in several human and primate cell lines (Baxby, 1974).
- Taterapox virus is serially transmissible in rabbit skin (Gispen, 1972); variola virus is not.
- Taterapox virus is cytocidal for RK 13 cells, in which variola virus produces hyperplastic foci (Huq, 1972).
- Only variola virus produces a generalized disease in primates. A definitive diagnosis of variola virus can be made by restriction endonuclease digestion of the viral DNA (see Fig. 2.6 and 2.9).
VACCINIA VIRUS
The vast bulk of experimental work on Orthopoxvirus as a genus and Poxviridae as a family has been carried out on one species—vaccinia virus (see Holowczak, 1982; Fenner et al.,1987). It has also been used as a live virus vaccine more extensively, and for a much longer period, than any other immunizing agent.
Isolation from Natural Sources
The problem of the origin or origins of vaccinia virus is considered in Chapter 7. Here it is relevant to mention that the virus has been isolated from skin lesions of several species of domestic animals (Table 2.7). During periods when vaccination of humans against smallpox was being vigorously pursued there were clearly numerous opportunities for infection to be transferred from recently vaccinated persons to various domestic animals, with subsequent spread in herds either by milkers acting as vectors or by some other route.
Some cases of “cowpox” in cattle (Dekking, 1964; Dahaby et al.,1966; Maltseva et al.,1966; Topciu et al.,1976) and of “camelpox” in camels (Krupenko, 1972) have been caused by vaccinia virus. It is likely that all cases of buffalopox (La1 & Singh, 1977), in both Egypt and India, were caused by vaccinia virus. Although one strain of “buffalopox” virus had a ceiling temperature of 38.5°C (Baxby & Hill, 1971), it had the DNA map of vaccinia virus (K.R. Dumbell, personal communication, 1983). As recently as 1986, buffalopox has been reported from several areas in central India. Four isolates recovered from infected buffaloes were shown by Hind111 electropherograms to be strains of vaccinia virus (K. R. Dumbell, personal communication, 1986).
Rabbitpox virus warrants particular mention, since it has been extensively used in studies of pathogenesis and orthopoxvirus genetics, including the construction of the first DNA map of vaccinia virus. The name was first given to a strain of vaccinia virus that caused severe epidemics in laboratory rabbit colonies in New York in 1933-1934 (Greene, 1933; Rosahn & Hu, 1935). Subsequently, a similar virus of high virulence for rabbits was recovered from a colony of rabbits in Utrecht, Netherlands, under conditions which were said to preclude the infection of the animals with vaccinia virus (Jansen, 1946). Both would be classified as “neuro-vaccinia”, in that they are highly virulent by intracerebral injection in rabbits and produce ulcerated haemorrhagic pocks on the CA membrane.
Two viruses recovered in unusual circumstances in central and western Africa, termed “MK-10-73” and “Lenny” respectively, were proved by DNA mapping to be strains of vaccinia virus with a lower ceiling temperature (39.5°C and 38.5°C respectively) than standard strains (41°C) (K.R. Dumbell, personal communication, 1984). MK-10-73, said to have been isolated from the kidney of a wild monkey captured in Zaire, was processed in Moscow (Shelukhina et al.,1975). “Lenny” was recovered from a severely malnourished Nigerian woman who died after an illness with fever and a generalized rash that was very like eczema vaccinatum (Bourke & Dumbell, 1972). The origin of these strains is obscure. Temperature-sensitive (ts) mutants of vaccinia virus are readily obtainable in the laboratory (Chernos et al.,1978; Dales et al.,1978; Sambrook et al.,1966). Contamination at some stage cannot be excluded with MK10-73. “Lenny” resembles the Wyeth strain of vaccinia virus, then being used for vaccination in Nigeria, in all biological properties except the ceiling temperature (K. R. Dumbell, personal communication, 1984); presumably it was a naturally occurring ts mutant, perhaps selected by the unusual conditions under which it grew (it was obtained 16 days after the rash appeared).
The Variability of Strains and their Pathogenicity
In sharp contrast to variola virus, which has a narrow host range, vaccinia virus has a very wide host range and grows rapidly and to high titre in many species of animals and in most kinds of cultured cells. In chick embryos, it produces large pocks on the CA membrane within 48 hours, whereas other orthopoxviruses produce smaller pocks and take 3 days to reach the optimum size for pock counts.
Neurovaccinia and dermal vaccinia
Two terms occur in older works on vaccinia virus that need some explanation: “dermal vaccinia” and “neurovaccinia. Early workers usually maintained vaccinia virus by passage through calves, sheep or rabbits, the animals usually being inoculated by scarification (see van Rooyen & Rhodes, 1948). When the skin lesions reached a sufficient size the infected skin area was scraped, the material thus obtained being called “dermal vaccinia” or “dermovaccine”. Strains of vaccinia virus that were maintained by intracerebral inoculation of rabbits, sometimes with occasional testicular passage (Levaditi et al., 1922,1938), were called “neurovaccinia”.
Differences between strains of vaccinia virus
Two systematic studies have been made of the biological characteristics of various laboratory strains of vaccinia virus (Fenner, 1958 ; Ghendon & Chernos, 1964). A variety of differences were found, involving the production of haemagglutinin, heat resistance of the virion, pathogenicity in rabbits and mice (Fenner, 1958; Table 2.8), and plaque morphology and virulence for monkeys (Ghendon & Chernos, 1964). The traditional division of strains into “dermovaccine” and “ne~rovaccine~’ broadly differentiated viruses of lower and higher virulence for the laboratory animals used ; in particular, the occurrence of haemorrhagic pocks on the CA membrane was correlated with the production of large indurated skin lesions with a purple centre following the intradermal inoculation of rabbits. White pock mutants of the “neurovaccine” strains produced small pink nodules in the rabbit skin.
Some strains or mutants of vaccinia virus fail to produce haemagglutinin. Rabbitpox virus (Utrecht strain) is one example (Fenner, 1958). Another HA- mutant (IHD-W) produces a non-glycosylated form of the 89 000 molecular weight polypeptide, the glycosylated form of which Payne (1979) identified as the haemagglutinin. As with rabbitpox virus, infection with the mutant did not evoke the production of haemagglutinin-inhibiting antibodies, suggesting that glycosylation must produce an important conformational change in the secondary structure of the polypeptide.
Differences in DNAs of different strains of vaccinia virus
In spite of this variability in biological characteristics, all strains of vaccinia virus that have been examined have remarkably similar DNAs, as judged by restriction endonuclease analysis. Fig. 2.10 illustrates the similarity between the DNAs of 5 strains of vaccinia virus and their difference from variola and monkeypox DNAs, using three restriction endonucleases. The vaccinia strains compared included a classical “neurovaccinia” strain (rabbitpox Utrecht) and two classical dermal strains (LS and HI).
Fig. 2.10. Dendrogram illustrating the similarities and differences between Hindlll, Smal. and Xhol cleavage sites on DNAs from 5 vaccinia strains originating in different countries, compared with 2 monkeypox and 2 variola DNAs (see legend of Fig. 2.7). Number of attributes = 66. Full details of the origins of the viral strains are given in Esposito & Knight ( I 985), from which the data on restriction sites were derived.
Variation within a Strain
Several investigators have shown that un-cloned stocks of most orthopoxviruses are in fact mixtures of genetically dissimilar virions. For example, since orthopoxviruses which produce haemorrhagic pocks yield, on cloning, a substantial proportion of white nonulcerated pocks (varying between 0.01% and 1%, according to species; Gemmell & Fenner, 1960; Dumbell & Archard, 1980), stock preparations of those viruses must contain several different white pock mutants.
Using other methods of assay, stocks of vaccinia virus which appear to be homogeneous with respect to the type of pock produced can sometimes be shown to be mixed, either in the plaques produced on selected kinds of cells (Ghendon & Chernos, 1964) or by heterogeneity in the patterns produced on analysis with restriction enzymes (Wittek et al.,1978).
Genetic Studies
Genetic recombination occurs when single cells are co-infected with two strains of virus with several different marker properties. Early experiments on recombination (Fenner, 1959) utilized a “dermal” and a neurovaccinia strain (rabbitpox). Subsequently, the observation that all vaccinia strains producing ulcerated haemorrhagic pocks on the CA membrane yielded white pock mutants (Fenner, 1958) led to the demonstration of recombination between some of these mutants but not others (Gemmell & Fenner, 1960). Certain white pock mutants were shown to be host-cell-restricted conditional lethal mutants (Fenner & Sambrook, 1966). Unlike the wildtype virus and some of the white pockmutants, they failed to replicate in pig kidney cells. Subsequent studies (Lake & Cooper, 1980) showed that the pig-kidney-cellrestricted mutants had deletions at the lefthand terminus and the white pock mutants that grew in pig kidney cells had deletions at the right-hand terminus of the rabbitpox virus genome. Although segments of DNA were lost in the terminal deletions, the changes were not always simple deletions; terminal sequence duplication and transposition were also involved (Moyer et al., 1980).
Suites of temperature-sensitive conditional lethal mutants of rabbitpox and vaccinia viruses have also been assembled (Sambrook et al., 1966; Padgett & Tomkins, 1968; Chernos et al.,1978) and have been employed in experiments on the biogenesis of vaccinia virus (Dales et al.,1978).
A new era in poxvirus genetics began when fragments of vaccinia virus DNA obtained after digestion with restriction endonucleases were cloned in Escherichia coli (Wittek et al.,1980). The whole genomes of several strains of cowpox, vaccinia and variola viruses have now been cloned, and detailed analysis of the structure and function of poxvirus DNA has begun. In other experiments based on cloned viral DNA, fragments of foreign DNA have been incorporated into the vaccinia virus genome and expressed during infection (Smith et al.,1983). This opens up the possibility that after suitable genetic manipulation vaccinia virus may be used for the vaccination of humans or domestic animals against diseases caused by a variety of infectious agents other than orthopoxviruses (Quinnan, 1985).
Species Diagnosis
As illustrated in Fig. 2.7 and in more detail by Mackett & Archard (1979), the genome of vaccinia virus is distinctive, and comparison of DNA maps provides conclusive evidence whether any isolate under examination belongs to this species. Biological characteristics that are particularly useful for diagnostic purposes are the rapid growth of large pocks on the CA membrane, which may vary from haemorrhagic to dense white in appearance, the high ceiling temperature of growth on the CA membrane (41°C or higher) and the broad host range.
COWPOX VIRUS
Cowpox virus is of interest in the context of smallpox eradication because of its historic involvement in the discovery of vaccination (see Chapter 6) and because it is transmissible to man (see Chapter 29). Research over the last decade has shown that there is a large number of somewhat similar viruses which can cause infections in a variety of animals, rodents probably being the reservoir hosts (see Chapter 29). In this book all these viruses are included within the cowpox virus species.
Cowpox and Horsepox in Europe
The occurrence of a sporadic pox disease of cows transmissible to man had been known for centuries and was brought to public attention by the observations of Jenner. The distinctive character of the usual cause of cowpox—the Orthopoxvirus species now categorized as “cowpox virus”—was first recognized by Downie (1939a,b). Other causes of what is called “cowpox” are vaccinia virus, usually derived from a human source, and a species of Parapoxvirus that causes milker’s nodules in man. The last-named virus was one of the causes of Jenner’s “spurious cowpox”. It is only the first of these 3 viruses with which we are concerned here.
“Horsepox” is a tantalizing disease for a modern virologist who is interested in the history of Jenner’s vaccine. Jenner confused the situation by suggesting that cowpox in cows usually originated from “grease” of horses—a lesion of the fetlocks (Plate 2.15A) that may be caused by several different agents, most commonly the bacterium Dermatophilus congolensis (Gillespie & Timoney, 1981). During the 19th century, a poxvirus (“horsepox virus”) was an occasional cause of this syndrome. Loy (1801) demonstrated that material from such a lesion produced cowpox when inoculated in cows’ teats, and he protected a child from challenge variolation by “equination”. Usually, according to Crookshank (1889), horsepox was associated with pustular lesions on the perineum or the head of the horse (Plate 2.15B), as well as sometimes on the fetlocks (grease). Both Chaveau (cited by Crookshank, 1889) and Fleming (1 880) believed that horsepox was due to the accidental infection of horses with cowpox virus. Evidence now available suggests that both cowpox and in the past at least some cases of horsepox were due to the incidental infection of these animals by cowpox virus, which probably circulates in rodents; or, as Jenner suggested, it may have been transferred accidentally from horses to cows, or vice versa, by man. More recently horsepox, like “cowpox”, has been produced by the infection of horses with vaccinia virus originating from vaccinated human subjects (Kii & Ando, 1937). Finally, Baxby (1981) has suggested that horsepox, which he postulates was a disease distinct from the infection of horses with cowpox virus, and which became extinct at about the end of the 19th century, was in fact caused by vaccinia virus.
Plate 2.15. A: Grease, a lesion of the fetlocks caused by a variety of agents. B: Horsepox. Illustration of a case investigated by Professor Peuch of Toulouse. which occurred during an outbreak of horsepox in Toulouse in 1880. (B from Crookshank, 1889.)
Genetic Studies
White pock mutants, which have been important for genetic studies of orthopoxviruses and in speculations about the evolution of both vaccinia and variola viruses, were first recognized in experiments with cowpox virus inoculated on the CA membrane (Downie & Haddock, 1952; Tongeren, 1952). Early attempts to exploit this system for genetic studies of cowpox virus were frustrated by the failure to obtain recombination between many combinations of separately isolated mutants derived from the Brighton strain of cowpox virus (Dumbell, unpublished results, 1960; Greenland & Fenner, unpublished results, 1960). This failure was explained by the discovery that all white pock mutants of the Brighton strain involved substantial deletions from the right-hand end of the genome (Archard & Mackett, 1979).
Amano et al. (1979) found that all white pock mutants of cowpox virus failed to produce an early cell-surface antigen that was produced in infected cells by all the parental strains (10 wild-type and 28 white pock mutants were investigated). Rondle & Dumbell (1962) showed that another antigen, “d”, which was present in extracts of cells infected with wild-type cowpox virus did not occur in its white pock mutants. Subsequently, Rondle & Dumbell (1982) demonstrated that “d” antigen occurred in several orthopoxviruses that produced necrotic haemorrhagic lesions after intradermal inoculation in rabbits (cowpox virus, neuro vaccinia strains including rabbitpox virus, and certain recombinants between cowpox and variola viruses), but not in those that did not produce such lesions (cowpox white mutants, variola and some recombinants between variola and cowpox viruses—see Table 2.6).
Species Diagnosis
The most reliable biological indicators of cowpox virus are the production of large haemorrhagic pocks on the CA membrane, with a ceiling temperature of 39°C, the production of a large haemorrhagic lesion after intradermal inoculation in rabbits, the wide host range, and the production of Atype as well as B-type inclusion bodies in infected cells. Although there is greater variability between the DNA maps of different strains of cowpox virus (using the broad definition adopted here) than is the case with other species of Orthopoxvirus (see Chapter 29; Fig. 29.4), all strains of cowpox virus cluster together in the dendrogram and can be readily differentiated from other orthopoxviruses.
LABORATORY CONFIRMATION OF SMALLPOX DIAGNOSIS
Laboratory methods played a crucial role in the global smallpox eradication campaign; indeed the achievement of eradication could not have been confidently certified without their use. The development of laboratory support for the Intensified Smallpox Eradication Programme is outlined in Chapter 10. The laboratory also provided support for the clinical diagnosis of smallpox. This was not of much importance in endemic countries when smallpox was a common disease, but was of great value in non-endemic countries confronted with suspected imported cases (Macrae, 1982) and in the endemic countries as eradication approached (Ježek et al., 1978f).
Preparation of a Guide for Laboratory Diagnosis
In October 1967 a WHO Scientific Group on Smallpox Eradication met in Geneva. Among other recommendations, it proposed that laboratories for diagnosis should be developed in each of the larger countries and regional laboratories should be designated to serve groups of smaller countries (WHO Scientific Group on Smallpox Eradication, 1968). In April 1968 a group of experts met in Philadelphia, USA, to commence the preparation of a manual, Guide to the Laboratory Diagnosis of Smallpox for Smallpox Eradication Programmes, which was intended to provide information on procedures that could be performed in the surveillance activities of smallpox eradication programmes in endemic areas.
The guide, which incorporated the comments of a number of other experts, was published in 1969 (World Health Organization, 1969a). It described methods of specimen collection, microscopic examination of smears (by the method of Gispen, 1952), precipitation in gel, isolation of virus on the CA membrane, the maintenance of records and the layout of a smallpox diagnostic laboratory (see Chapter 30, Fig. 30.3A). In retrospect, the value of the guide can be assessed by a review of the changes that occurred as the eradication programme proceeded.
Methods of Laboratory Diagnosis
Laboratory diagnostic methods used can be divided into three groups: those involving the recognition of virions or of viral antigens in material collected from the patient, and inoculation of the virus in laboratory animals (including the CA membrane) or cultured cells. Subclinical infection with variola virus or the retrospective diagnosis of human monkeypox could be recognized only by serological tests (see Chapters 1, 3 and 29). Detailed descriptions of techniques are given by Downie & Kempe (1969) and Nakano (1979, 1982).
Methods involving the recognition of virions
Staining for light microscopy. In smallpox, virions occurred in vast numbers in the vesicle fluid and in pustules and scabs, and pathologists developed a variety of staining methods which made it possible to see the virions in stained smears. Paschen’s method (Paschen, 1906), using basic fuchsin, which stained the virions deep red, was probably the most widely used (see Plate 2.1); it was subsequently replaced by silver impregnation techniques (Morosow, 1926; Gispen, 1952). Gispen’s method was advocated in the aforementioned WHO Guide to the Laboratory Diagnosis of Smallpox for Smallpox Eradication Programmes (World Health Organization, 1969a) as the method of choice for the presumptive diagnosis of smallpox. In skilled hands it was a useful test but was open to misinterpretation by those not familiar with the technique—especially after the lesions became pustular—and it was not widely used.
Electron microscopy. Nagler & Rake (1948) were the first to employ electron microscopy for the diagnosis of smallpox, using shadow cast preparations of crusts or vesicle fluid that had previously been purified and concentrated by centrifugation. However, widespread use of electron microscopy as a diagnostic method was not feasible until the negative staining technique was introduced by Brenner & Horne in 1959. Peters et al. (1962) and subsequently Cruickshank et al. (1966) showed the value of this method for recognizing poxvirus or herpesvirus particles in vesicle fluid and scabs taken directly from patients. Like the examination of stained smears, electron microscopy could not be used to distinguish between variola, vaccinia and monkeypox viruses, which are morphologically indistinguishable, but it was of great value in confirming or possibly excluding poxvirus infection and in distinguishing between poxvirus infection and chickenpox. In 1971 it became an integral part of the diagnostic procedures used by the WHO collaborating centres in Atlanta, USA, and Moscow, USSR. Plate 2.16 shows typical virions of variola virus along with those of herpesvirus (from a patient with chickenpox), as seen in negatively stained specimens of crusts, scrapings or vesicle fluid.
Plate 2.15. Virions of variola virus (A and B) and varicella virus (C) as seen in negatively stained preparations submitted for diagnosis to the WHO Collaborating Centre at the Centers for Disease Control, Atlanta, GA. USA. Bar = l00nm.
Methods involving the recognition of viral antigens
Initially, complement-fixation and flocculation tests were used for the demonstration of orthopoxvirus antigens in vesicle or pustule fluid, the former test being considered preferable (Craigie & Wishart, 1936 ; Downie, 1946). Subsequently, gel precipitation was developed, and an adaptation of this method on microscope slides was described in detail in the WHO guide. This technique was extensively employed in some national campaigns (e.g., in India; Ježek et al., 19789 in laboratories that did not have an electron microscope available for rapid diagnosis. With adequate amounts of recently collected antigen it was a quick and accurate test (Rao et al., 1970; A.W. Downie, personal communication, 1981).
Other serological tests for viral antigen were sometimes used but never became widely popular. Kitamura et al. (1977a) suggested that direct immunofluorescence could be used for rapid diagnosis in the field, but they and other workers (Tarantola et al., 1981) recorded a number of false positive results, a major disadvantage as the achievement of eradication approached.
Tests in animals and isolation of the virus
All the methods described so far had the limitation that, if positive, they did not distinguish between different orthopoxviruses. This drawback was of little significance when smallpox was a common disease, but it became increasingly important as eradication proceeded, particularly after human monkeypox was recognized in 1970.
In the early days of virology the only animal diagnostic procedure useful in distinguishing variola virus from varicella virus was the inoculation of monkeys, clearly a method that could not be widely used. Paul’s test, which involved the scarification of the rabbit cornea, provided a more widely applicable method, but according to Downie (1946) and Marennikova et al. (1961), it often gave false negative results. However, variola virus produced very characteristic pocks on the CA membrane, which provided a simple and reliable laboratory method for isolating and recognizing that virus.
Production of pocks on the CA membrane. It had been known since the 1930s that orthopoxviruses grew on the CA membrane of developing chick embryos, and that when dilute suspensions were used different strains of vaccinia virus produced characteristic pocks. Although others had cultivated variola virus on the CA membrane, Downie & Dumbell (1947b) were the first to demonstrate the reproducible and clear-cut differences between the pocks produced by variola virus and those due to vaccinia virus. CA membrane inoculation soon became the method of choice for the isolation of variola virus (World Health Organization, 1969a). The pocks produced by variola virus are quite distinctive and can be readily distinguished from those produced by the other orthopoxviruses that are pathogenic for man-vaccinia, cowpox and monkeypox viruses (see Plate 2.5). It has remained the method of choice for the preliminary identification of orthopoxviruses, and it was the fact that the pock morphology of monkeypox virus was different from that of variola virus that led Marennikova et al. (1972a) to make the first laboratory diagnosis of human monkeypox.
Isolation in cultured cells. Most human and non-human primate cells, and some cells derived from other species (rabbit kidney and pig embryo kidney cells), are susceptible to infection with variola virus. In most cell systems variola virus causes cell fusion and multinucleated foci; the small (1-3 mm in diameter) hyperplastic foci are quite distinctive when compared with the large (2-6 mm in diameter) plaques produced by vaccinia, monkeypox and cowpox viruses (Kitamura 1968 ; see Plate 2.1 3). Pig embryo kidney cells are unusual in that variola virus, which has a narrow host range, produces a cytopathic effect, whereas most strains of monkeypox virus, which has a wide host range, do not (Marennikova et al., 1971).
Although cell culture was sometimes more sensitive (Nakano, 1979), inoculation on the CA membrane was generally a more useful test with field material, since positive results could be obtained even with scabs that were contaminated with bacteria (Sarkar & Mitra, 1963), which usually destroyed cell cultures. Also, if the content of viable virus was low it often took several days, and perhaps serial passage, before characteristic lesions occurred in cultured cells, whereas a result could always be obtained within 3 days by CA membrane inoculation.
Differentiation between orthopoxviruses. Four species of Orthopoxvirus can produce lesions in man : variola, monkeypox, vaccinia and cowpox (see Chapter 29). Each produces distinctive pocks on the CA membrane; in addition, the 4 species can be differentiated by several other biological properties (Table 2.9) as well as by restriction endonuclease mapping of their DNAs.
Comparison of Different Laboratory Diagnostic Methods
Noble et al. (1970) assessed the value of various laboratory procedures for the diagnosis of variola minor in Brazil. They always obtained positive results with both scabs and vesicular or pustular fluid stored in capillary tubes and tested by electron microscopy and cultivation on the CA membrane; a few such specimens were negative by gel precipitation. They were less successful with material that had been stored as smears on glass slides for up to 2 months at room temperature. In searches with the electron microscope for a maximum period of 10 minutes for each specimen, only 30 out of 52 (58%) were positive. Some of these showed structural degeneration of the virus particles; presumably this had proceeded so far on those diagnosed as negative that no intact virions could be found during the 10-minute search. Twenty-seven out of the 30 specimens found positive by electron microscopy yielded virus when inoculated on the CA membrane; 1 specimen found negative by electron microscopy was positive on CA membrane inoculation. Positive culture was never obtained by serial passage of membranes that appeared normal; occasionally membranes that had cloudy or non-diagnostic opacities on first inoculation showed unequivocal variola virus pocks on the second passage. Only 41% of the stored smears were positive by gel diffusion.
The most comprehensive analysis of the laboratory diagnosis of smallpox was reported by Nakano (1973), who kindly updated the figures in 1982 to show the situation at that time (Table 2.10). The material under study had been shipped to the Centers for Disease Control, Atlanta, USA, from Africa, South America and Asia and had usually been in transit for between 2 and 4 weeks, and occasionally longer, often at high ambient temperatures. Four methods were used: electron microscopy, gel precipitation, and cultivation on the CA membrane and in Verocells. By March 1981 a total of 6919 specimens had been examined, many of them from suspected chickenpox cases during precertification testing in Ethiopia and Somalia. Of the 981 positive specimens, 940 were identified as variola virus and 41 as human monkeypox virus.
Electron microscopy had the advantage of being much the most rapid method of making a presumptive diagnosis, which was a very important requirement, especially in nonendemic countries. In scabs or material that had been some time in transit, it was also the most sensitive, although fields might have to be searched for as long as 30 minutes before a specimen was declared negative. The longer period of search undoubtedly accounted for the greater percentage of successes recorded by Nakano with stored specimens, compared with the experience of Noble et al. (1970). Inoculation on the CA membrane had the great advantage of allowing differentiation between the 4 orthopoxviruses that can infect man (variola, monkeypox, cowpox and vaccinia viruses). It was also the most sensitive with fresh specimens of vesicular fluid, since one infectious particle was potentially capable of producing a pock. Positive results were obtained on the CA membrane with 14 specimens that were negative by electron microscopy, whereas 97 specimens were positive by electron microscopy but negative by CA membrane inoculation. However, Nakano (1979) found that the susceptibility of the CA membrane, although usually quite satisfactory, was sometimes unacceptably low, as judged by control inoculation in cultured cells. For this reason he found it useful to make inoculations on cultured cells, especially with critical specimens in which recovery of the responsible virus was very desirable (e.g., in suspected human monkeypox). Out of 186 specimens that were tested by all 4 methods, 182 were positive by electron microscopy, 135 by tissue culture inoculation and 117 by CA membrane inoculation—i.e., 18 specimens were positive by tissue culture but negative on the CA membrane. Growth in pig embryo kidney cells was sometimes used to differentiate between variola and monkeypox viruses. Nakano confirmed the finding of Noble et al. (1970) that gel precipitation was the least sensitive technique and that it was often negative in lesion material that had been exposed to ambient temperatures for several days.
Plate 2.17. Left: Svetlana S. Marennikova (b. 1923). A leading Soviet expert on orthopoxviruses and Chief of the WHO Collaborating Centre on Smallpox and other Related Infections established at the Moscow Research Institute for Viral Preparations in 1966. She was responsible for the laboratory diagnosis of the first recognized case of human monkeypox and for much research on smallpox vaccine, diagnostic methods and the immunology and biology of orthopoxviruses. Dr Marennikova participated in all the meetings of WHO expert groups on smallpox from 1964 onwards and was elected vice-chairman of several. She was also a member of a number of international commissions and of the Global Commission. Right: Emma M. Shelukhina (b. 1929). A staff member of the WHO Collaborating Centre at the Moscow Research Institute for Viral Preparations. She collaborated in diagnostic work and research on smallpox and other orthopoxviruses and was a WHO consultant in India and Pakistan.
Tests for Species-Specific Viral Antibodies
Most serological tests for orthopoxvirus antibodies were positive in the late stages of smallpox, except in some cases of haemorrhagic-type smallpox, which were in any case fatal, but the detection of antibodies was irrelevant for the ordinary laboratory diagnosis of smallpox. However, serological tests were useful in determining whether certain patients who had recovered from a febrile illness associated with a rash had suffered from smallpox. They provided the only way of diagnosing variola sine eruptione and subclinical infections, the complement-fixation test being particularly valuable because of the short period after infection that it remained positive (see Chapter 1).
Serological tests were important in another context—namely, the specific diagnosis of prior infection with monkeypox virus, whether in humans or in animals (see Chapter 29). Several attempts were made to develop methods for differentiating between antibodies due to prior infection with variola, monkeypox and, in certain cases, other orthopoxviruses (see Chapter 3). The methods described depended on the multiple absorption of positive sera and the recognition of antibody to a particular viral species after such absorption. Immunoprecipitation (Gispen & Brand-Saathof, 1974) and immunofluorescence (Gispen et al.,1974) were used to differentiate antibodies due to infection with variola, monkeypox and vaccinia viruses. Subsequently, Hutchinson et al. (1977) and Marennikova et al. (1981) developed absorption tests for detecting specific antibodies using radioimmunoassay and ELISA respectively. All these methods required that adequate amounts of relatively potent serum should be available for testing, and the requisite multiple absorptions were tedious and time-consuming. However, they were useful in providing evidence of past monkeypox virus infection in man and in certain species of monkeys and squirrels.
RESISTANCE TO PHYSICAL AND CHEMICAL AGENTS
The infectivity of orthopoxviruses is in general relatively unaffected by environmental conditions, compared with that of many other viruses. The focus of work on the resistance of vaccinia and variola viruses to physical and chemical agents was quite different: with vaccinia virus the practical objectives were either to ensure the viability and potency of stored vaccine preparations or to produce an effective inactivated vaccine; with variola virus interest was centred on epidemiological parameters such as its viability in droplet nuclei and the persistence of infectivity in scabs and on fomites.
Vaccinia Virus
The heat resistance of vaccinia virus, prepared in various ways and exposed to different temperatures, was of major importance in the development of efficient vaccination programmes (see Chapter 11). Glycerolated liquid vaccine, while relatively stable at refrigerator temperature for a few weeks, was quickly inactivated at higher temperatures, especially if exposed to sunlight.
Kaplan (1958) studied the inactivation of vaccinia virus at various temperatures ranging from 50°C to 60°C. There was an initial rapid fall in infectivity to 10-5 or 10-6 of the original titre, followed by inactivation of the residual virus at a much slower rate. Perhaps this phenomenon provides an explanation for the successful long-distance transportation of vaccinia virus that took place from time to time during the 19th century (see Chapter 6). The persistent infectivity was not due to the selection of genetically resistant virus, but was shown by Woodroofe (1960) to be attributable to some change that occurred during the storage of concentrated preparations of virus in the liquid state. The infectivity of freshly prepared suspensions of partially purified vaccinia virions suspended in McIlvaine’s buffer was completely destroyed within 60 minutes at 55°C and within 90 minutes at 50°C.
Camus (1909), working in France, and later Otten (1927) in Batavia (Jakarta) showed that crude vaccine dried slowly in vacuo over sulfuric acid, and stored in vacuo, was much more stable than liquid vaccine. Such preparations were used in the French colonies in Africa and for the elimination of smallpox in the Netherlands East Indies (Indonesia) in the late 1930s (see Chapter 8). However, the material was difficult to reconstitute, it was often heavily contaminated with bacteria, and there was a good deal of variation between batches. Subsequently, freeze-drying, which had long been used on a laboratory scale for preserving and transporting viruses and bacteria, was developed on a commercial scale for smallpox vaccine (see Chapter 7). Such material was very stable; Kaplan (1969) reported that an early production batch of freeze-dried vaccine withstood storage at 45°C for at least 6 years without loss of potency.
Other methods of inactivation of vaccinia virus were relevant mainly in relation to efforts to produce an inactivated virus vaccine (Turner et al.,1970; see Chapters 3 and 7). Most workers found heating to be unsuitable, as it destroyed antigenicity. Other methods of inactivation that were investigated included ultraviolet irradiation, which had the disadvantage that a small overdosage severely damaged antigenicity (Kaplan, 1969), and formaldehyde, which also damaged antigenicity (Amies, 1961). Photodynamic inactivation with methylene blue (Turner & Kaplan, 1968) and gamma irradiation (Marennikova & Macevit, 1975) appeared to inactivate infectivity with little effect on antigenicity.
Variola Virus
Periodic assays showed that in temperate climates smallpox scabs could retain infectivity at room temperature for several years. Downie & Dumbell (1947a) recovered variola major virus from crusts stored at room temperature, in the dark or in daylight, for up to 1 year; Wolff & Croon (1968) recorded the persistence of viable alastrim virus in scabs kept in envelopes in a laboratory cupboard for over 13 years. The potential significance of these findings in relation to a possible return of smallpox is discussed in Chapter 30; of more immediate concern to the smallpox eradication programme was the degree to which viability might persist in some tropical countries in which variolation was still practised during the 1970s. Huq (1976) investigated the persistence of viable variola major virus in scabs maintained at various temperatures and relative humidities through 16 weeks of the hot season in Bangladesh (late May to mid-July). Her results are summarized in Table 2.11. The initial titre was 108.3 plaque-forming units. Infectivity fell off rapidly at 35°C, but at 4°C viable virus was still present after 16 weeks, both at a relative humidity of 60-62% and in a desiccator (relative humidity,<10%). At ambient temperature the relative humidity affected survival, virus persisting in a viable state for 8 weeks at high humidity and for 12 weeks at low humidity. These results confirm the observation of MacCallum & McDonald (1957) that virus viability was adversely affected by both high temperatures and high relative humidity. Since these conditions prevailed in most of the countries in which endemic smallpox still occurred in the 197Os, prolonged survival of viable virus did not seem to pose a major long-term threat. However, virus could remain viable for long enough for fomites to present at least a short-term problem, especially in temperate climates.
The foregoing discussion relates mainly to the persistence of the viability of variola virus in scabs in relation to the threat that this might have posed to the eradication programme. One advantage of the heat resistance of variola virus was that it made possible the shipment of swabs and scabs from endemic countries to the WHO collaborating centres in Moscow and Atlanta, in which diagnostic laboratory studies could be carried out. Vesicle fluid or scab material was mailed in special containers, and although such transmission often took 2 weeks or longer, electron microscopy almost always revealed positive results in cases of smallpox, and chick embryo inoculation was often successful.
An epidemiologically important aspect of the resistance of variola virus to environmental conditions, discussed at greater length in Chapter 4, was its viability in droplets and droplet nuclei under various conditions of temperature and humidity. Short-term (60-minute) experiments showed that variola virus was relatively resistant in aerosols, and viability was only slightly less persistent at high relative humidities (Mayhew & Hahon, 1970). In other experiments, using vaccinia virus as a model, Harper (1961) found that over a longer time interval, viability in aerosols was greatest at low temperatures (10.5-11.5°C) and low relative humidity (< 50%). The adverse effect of high relative humidity was greater at higher temperatures (Table 2.12). If, as is likely, this property also applies to variola virus, it has implications in relation to contact infection and the seasonal fluctuations in the incidence of smallpox, which was more common in the colder and drier months of the year (see Chapter 4).
SPECULATIONS ABOUT THE ORIGINS OF VARIOLA VIRUS
The elucidation of the history of smallpox over the last 2000 years, which is attempted in Chapter 5, involves much speculation, and alternative interpretations are possible for most of the ancient “plagues” that have been accepted by some authorities as outbreaks of smallpox. Suggestions as to how smallpox arose as a disease of humans are even more a matter of guesswork.
The Diversity and Specificity of Viruses of Man
There are some 20 well-characterized families of viruses of vertebrates, 18 of which contain one or more viral species that can infect man (White & Fenner, 1986). No less than 13 of these families include species which can be maintained in man as the sole vertebrate host; many of these viruses are specific for man and do not cause natural self-perpetuating infections in other vertebrates. On the other hand, each of these 13 families contains species of viruses that cause natural infections in vertebrates other than man. Among the family Poxviridae, 8 viral species, belonging to 4 different genera, can cause infections of man, but only 2 species—variola virus and molluscum contagiosum virus—are specifically human pathogens. For every specifically human virus the question of origins relates to how long ago, in the course of biological evolution, did the viral species in question exhibit the capacity to be maintained indefinitely by human-to-human (or protohuman-to-protohuman) spread.
Requirements for Human-to-Human Transmission
General principles
Whether or not a virus can be maintained indefinitely by passage from person to person in populations of various sizes depends on : (1) certain characteristics of the virus, notably its capacity to undergo antigenic change; (2) characteristics of the pathogenesis of the infection, especially the quality of the immune response and whether persistent infection or recurrence of infectivity occur; and (3) characteristics of the population biology of the host, notably the rate of accession of new susceptible subjects (Fig. 2.11). Viruses such as the herpesviruses, which exhibit persistent infection and recurrent infectivity, can be maintained in very small populations, even though they provoke a long-lasting immune response and circulate in a population of long-lived animals. However, viruses such as variola virus, which do not undergo antigenic change sufficient to overcome the immunity of previously infected hosts and which do not cause persistent infection with recurrent infectivity, will survive only in populations sufficiently large or with a sufficiently rapid turnover rate to ensure that some susceptible individuals are always likely to be infected. In this connection the turnover rate is affected by mobility and contact between population groups.
Fig. 2.11. Approximate sizesof populations required for maintaining the endemicity of several specifically human viral diseases (From Black, I982)
The case of variola virus
It was possible to eradicate smallpox in the 20th century because it was a disease that could persist only by transmission from one susceptible human being to another. In the absence of an alternative animal host and lacking the capacity to cause endogenous recurrent disease in an individual who had been infected, the virus could persist in a population only if enough susceptible humans were constantly available to maintain a continuous chain of infection. Studies of the closely analogous situation in measles, both in the cities of the British Isles and the USA (Bartlett, 1957,1960) and in the islands of the Pacific (Black, 1966), suggest that a population of not less than 300000-500000 is necessary to sustain endemic measles. If, in the case of smallpox we reduce this to perhaps 200 000 because it spread less rapidly than measles, the disease could be sustained indefinitely in man as the sole host only after the introduction of irrigated agriculture—some 10 000 years ago-had initiated the first great population explosion.
What then could have been the source of the virus that caused the disease that has been recognized as smallpox for 2000—3000 years? Two possibilities exist: either man acquired the virus from some animal host in which it could be maintained because the animal occurred in larger numbers and had a much shorter generation time than had man, the hunter-gatherer ; or else humans (or perhaps protohumans) had long been the host of an ancestral “variola virus” which produced a different sort of disease, one that could persist in small groups of hunter-gatherers, and subsequently changed its behaviour in the human host. We shall now examine these possibilities.
Possible Derivation of Variola Virus from another Orthopoxvirus
Variola virus is usually thought to have been derived from a closely related virus of some other animal, possibly an animal that was domesticated early and thus maintained close relations with early man. There are 4 orthopoxviruses known today that infect animals with which ancient man was or may have been in contact: camelpox, cowpox, ectromelia and monkeypox viruses.
Camelpox virus
Camelids evolved in the Americas and spread to Asia and North Africa some 3 million years ago. They would certainly have been hunted by early man, but were probably domesticated after sheep and cattle, perhaps some 5000 years ago. As it now occurs, camelpox virus is highly host-specific; its genome map is distinctive and quite different from that of variola virus. Cowpox virus This virus can infect a variety of different species of animal. It is probably maintained in nature in rodents, but occasionally infects man, cattle, cats and other domestic animals. Its genome is the largest of all the orthopoxviruses but deletion mutations occur commonly, producing progeny with smaller genomes. None of the strains of cowpox virus that have been examined has a genome that looks at all like that of variola virus.
Ectromelia virus
Now known only as the cause of mousepox in laboratory mice, ectromelia virus has a narrow host range and a distinctive genome map. Its original natural host was probably some field rodent.
Monkeypox virus
Since human monkeypox is clinically SO like smallpox (see Chapter 29), it is natural to think of it as a possible progenitor of smallpox; or perhaps it would be more correct to think of a “proto-monkeypox” virus as having given rise to a “proto-variola” virus. The molecular biology of such a transformation is discussed in Chapter 30; suffice it to say that the DNA of monkeypox virus is no more similar to that of variola virus than is any other known orthopoxvirus DNA (see Fig. 2.7, 2.9 and 2.10).
At the present time monkeypox virus appears to occur naturally only in the tropical rain forests of central and western Africa. There is no evidence that human populations large enough to support the evolution and persistence of a virus with the characteristics of variola virus ever occurred in this part of the world in prehistoric times; 4000-5000 years ago populations of that size appear to have occurred only in the great river valleys of Egypt, the Fertile Crescent, the Indian subcontinent and eastern Asia. A disease recognizable as smallpox was present in Egypt in 1157BC (if Ramses V did indeed die of smallpox) and in India and China perhaps as long as 2000 years ago. How could monkeypox virus, in its original form or as an evolving variola virus, move from western or central Africa to the Nile valley? The Sahara, as we now know it, would appear to have constituted an impossible barrier. But that was not always the case. Palaeoclimatic studies of Africa are in their infancy, but there is good evidence that the Sahara and the Sahel were much less arid in the period 9000 BC to 2000 BC than they are now, and supported populations of elephants and giraffes as well as ancient man (McIntosh & McIntosh, 1981). Further south, this savanna-like country merged into tropical rain forests that supported a rich fauna then, as they do now. In this kind of climatic regime, it is not impossible to conceive of the movement of newly evolving variola virus from areas far to the south and west into the Nile valley, where it might have persisted in the large human population of the Middle Kingdom.
Variola Virus as the Descendant of an Orthopoxvirus of Early Man
The other possibility is that variola virus had long existed among ‘protohuman primates and our early ancestors. To explain its persistence in such small populations and the later emergence of smallpox as we know it, it is necessary to invoke the concepts of “K-selection” and “r-selection” (K refers to the carrying capacity of the environment; r to the maximal intrinsic rate of natural increase) used by ecologists to help to understand physiological and evolutionary adaptations, especially of insects and plants (Pianka, 1970; Southwood et al., 1974).
The human population was in a stage of K selection until irrigated agriculture, which was developed some 10 000 years ago in the river valleys of Asia and northern Africa, vastly increased the potential human food supply and thus initiated the human population explosion that continues to this day-a situation in which r-selection became dominant. This change was accompanied by new evolutionary opportunities for viruses. During the phase of K-selection of their host, microbial parasites, including viruses, were also subject to K-selection. Only agents associated with prolonged or recurrent infectivity-for example, the human herpes-viruses-could survive without recourse to an animal host. However, when the population became much larger and the annual input of susceptible individuals increased, viruses which produced diseases that were infectious for a brief period only, and that rendered the host immune thereafter, could survive and evolve. Under such conditions the viruses would be subjected to strong r-selection.
It is not difficult to accept this overall concept as being relevant to the evolution of the common respiratory and enteric viruses of man. It could be applied to smallpox in the Following way: Man, the hunter-gatherer, and his forebears were hosts of a specifically human (or protohuman) “proto-variola’’ virus, which was able to persist in their small populations because infected individuals remained infectious for a long time. When irrigated agriculture allowed man to escape from the restrictions of K-selection, new opportunities existed for specifically human viruses, since susceptible populations were then large enough to support viruses that caused diseases which were infectious for a short period and rendered the host immune to reinfection. If a mutant arose from the “proto-variola” virus that multiplied much more prolifically (r-selection) and caused an acute generalized infection, it would soon replace its progenitor “proto-variola” virus wherever the human population was large enough. The result might be variola virus and smallpox. This hypothesis would have received strong support if the hypothetical “proto-variola” virus had been found among any of the hunter-gatherer populations in areas in which the population was until recent times subject to K—
selection-the Americas, Australia and southern Africa. The behaviour of smallpox on first contact with these populations indicates that no such “proto-variola” virus existed there and this hypothesis remains unproved and unlikely.
Conclusions
We have to conclude that at present we do not know how, when or where variola virus originated. An origin from an orthopoxvirus of some other animal seems probable-and perhaps monkeypox virus may be suggested as the most likely candidate, on the grounds that it causes a disease in humans that is very like smallpox, rather than because of a particularly close resemblance between the DNAs of the respective viruses. Smallpox appears to have occurred for some 3000 years as a disease with the same characteristics as it exhibited up to the time of its eradication in 1977. The ultimate answer to its origin could come from studies of the nature and variability of the genomes of variola virus and other orthopoxviruses. However, with the eradication. of smallpox, research on variola DNA is unlikely to be extensively pursued. Even if the problem is in principle soluble, we may never arrive at an answer.











zkushmztyf
November 20, 2025evwltwwhgqyysnvjksrsonjsswqkur