Chapter 3:
The pathogenesis, pathology and immunology of smallpox and vaccinia
INTRODUCTION
The term pathogenesis is used to describe the mechanisms involved in the production of disease, including the spread of virus through the body and the physiological responses of the host organism to the infection, of which the most important is the immune response. The pathogenesis of smallpox could be studied in three ways: (1) by using material from human patients, which had the advantage of direct relevance but the disadvantage that planned experiments were not possible; (2) by conducting experiments with variola virus infections of non-human primates; and (3) by conducting experiments with “model” infections—ectromelia (mousepox) in mice, vaccinia (rabbitpox strain) in rabbits, and monkeypox in monkeys. Each of these approaches had advantages and disadvantages. With human subjects, investigation during life was limited to the sampling of body fluids, skin biopsy (rarely), and the examination of postmortem material. No investigations were possible during the incubation period, when most of the critical events in the spread of the virus through the body and the initiation of the immune response occurred. Monkeys that developed a rash after infection with variola virus by the respiratory route probably provided the best model system, but monkeys are expensive animals and such experiments could only be undertaken in microbiologically highly secure laboratories. For want of a better alternative, therefore, most investigations that are relevant to an understanding of the pathogenesis of smallpox have been carried out with other orthopoxviruses, especially mousepox virus, since so much is known of the genetics and immune response in mice. But mice are not men and mousepox is not smallpox. Arguments by analogy must therefore be developed cautiously. The results of these diverse investigations will be summarized in this chapter, and the information collated to provide an integrated picture of the pathogenesis and immunology of smallpox.
Following the analysis of the pathogenesis of smallpox, we proceed to a description of the pathology and histopathology of smallpox and vaccinia, which have been studied with material from autopsies on fatal cases and, in a few cases, by taking biopsies from skin lesions. Most of this work was carried out early in this century; the most recent and most comprehensive descriptions of the pathology and histopathology of smallpox were published by Bras (1952a,b).
Finally, this chapter presents an account of the immune responses in smallpox and vaccinia, which provides the rationale of the use of the tool that made the eradication of smallpox possible—Jennerian vaccination. Immunological intervention designed to prevent human diseases began in the 10th century, with variolation, and entered a new “scientific” phase when vaccination against smallpox was introduced in 1798 (see Chapter 6). Over the past three-quarters of a century, an enormous literature has accumulated describing the mechanisms by which vaccination induced immunity to smallpox. Unfortunately, because methods of studying cellular aspects of immunity were developed relatively recently, most of these investigations were concerned only with humoral immunity. In spite of its long history, the immunology of both smallpox and vaccination against it are still imperfectly understood.
THE PORTAL OF ENTRY OF VARIOLA VIRUS
Infection with variola virus occurred via the respiratory tract, by inoculation through the skin, or, rarely, via the conjunctiva or the placenta.
The Respiratory Tract
Epidemiological evidence indicates that the usual mode of entry of variola virus was via the respiratory tract and that excretions from the mouth and nose, rather than scab material, were the most important source of infectious virus. In theory, infection by inhaled virus could have occurred via the mucous membranes of the mouth, the nasal cavity, or the oro- or nasopharynx; or via the alveoli of the lungs. However, careful study of these sites in fatal cases of smallpox failed to disclose any evidence of a “primary lesion” there. Nor were patients infectious before the enanthem appeared, at the end of the incubation period. It seems, therefore, that the primary infection in the mouth, pharynx or respiratory tract did not produce a sizeable lesion nor did the lesion of infection ulcerate and release virions on to the surface.
In the absence of data from human smallpox it is pertinent to look at an animal model. Observations by Roberts (1 962a) on mousepox suggest a possible sequence of events. Fluorescent-antibody staining of sections taken after exposure of mice to aerosol infection showed that the first cells to be infected were mucosal cells of the upper and lower respiratory tract and alveolar macrophages.
Virus did not spread beyond the respiratory tract until the 3rd day after infection, when it was found in free macrophages in the draining lymph nodes. At no stage did a substantial “primary lesion” develop in the respiratory tract, like that found, in both mousepox and smallpox, after infection by cutaneous inoculation.
Inoculation Smallpox
The clinical picture of inoculation smallpox, which sometimes occurred accidentally but was usually due to variolation by the cutaneous route, is described in Chapters 1 and 6 (see Plates 6.1-6.3). A local skin lesion appeared by the 3rd or 4th day. Fever and constitutional symptoms began on the 8th day, and the rash, which was usually much less severe after variolation than in naturally acquired smallpox, appeared on the 10th or 11th day. Thus the incubation period appeared to be 2-3 days shorter than in “natural” smallpox (see Chapter 1, Fig. 1.3). Observations on mice infected with mousepox by scarification (Roberts, 1962b) suggest that the shorter incubation period may have been due to the fact that after dermal infection infected macrophages were transported to the local lymph nodes and thus to the circulation within the first 24 hours, whereas after respiratory infection viral dissemination by macrophages was delayed until the 3rd day. Viraemia and rash would therefore occur a few days earlier after dermal infection.
The Conjunctiva
If infection via the conjunctiva occurred at all in smallpox, it was very rare (Rao, 1972). However, Kempe et al. (1969) noted that occasionally variolous conjunctivitis, confirmed by viral isolation, occurred at or even before the onset of the pre-eruptive fever. In no case was the interval between conjunctivitis and rash as long as that found between the appearance of the primary lesion and the rash in inoculation smallpox, which makes it difficult to decide whether the conjunctiva was actually the portal of entry.
Congenital Infection
The pioneering work on the pathogenesis of generalized orthopoxvirus infections, which provided a model that proved useful in understanding the pathogenesis of chickenpox (Grose,1981) as well as that of smallpox, was carried out with mousepox (Fenner, 1948a,b). Mice that did not die from acute viral hepatitis developed a generalized pustular rash (Fenner, 1948c) and the symptoms of the naturally occurring disease could be reproduced by the footpad inoculation of mice with a small dose of virus.
The course of events after footpad inoculation was followed by sacrificing mice at frequent intervals and titrating the viral content of certain organs-the inoculated foot, the regional lymph node, the spleen, the skin, and the blood. The results indicated that the sequence of events during the incubation period in mousepox followed a consistent pattern (Fig. 3.1). If the appearance of the primary lesion was taken as the end of the incubation period, it was evident that this symptom-free period was occupied by a complex series of events in which the virus passed in a stepwise fashion through the body: infection, replication, and liberation- usually accompanied by cell necrosis- first at the site of inoculation, then in the regional lymph node, and then in the deeper lymph nodes or perhaps directly into the bloodstream. It seems from the work of Mims (1964), who used fluorescent-antibody staining to identify virus-infected cells, that in the liver and spleen the phagocytic cells were the first infected. When infection had breached the macrophage barrier the virus replicated very extensively in the parenchymal cells of the liver and in the spleen, both of which usually showed semiconfluent necrosis. A day or so after infection of the spleen and liver, large amounts of virus were liberated into the bloodstream, and during this secondary viraemia focal infection of the skin, kidneys, lungs, intestines and other organs occurred. There was again an interval during which the virus replicated to reach a high titre before visible
Fig. 3.1. The spread of virus around the body and the evolution and healing of skin lesions in a model system (ectromelia. after Fenner. I948b), and in vaccinia, inoculation smallpox, and “natural” smallpox in man. For vaccinia and inoculation smallpox, the right-hand column represents lesion at site of inoculation, left-hand column represents generalized skin lesions. (Based on Dixon. 1962.)
changes were produced, so that a period of about 2 or 3 days usually elapsed between the appearance of the primary lesion and the focal lesions of the secondary rash (Fig. 3.1). The secondary viraemia was mainly cell-associated and only small amounts of virus could be recovered from plasma or serum. Mims (1964) demonstrated by fluorescent-antibody staining that circulating lymphocytes and monocytes contained viral antigen.
Although this work provided a general explanation of what happened during the long incubation period of the generalized exanthemata (Fenner, 1948b), mousepox is not a satisfactory model for smallpox. Apart from the difficulty of comparing events in mice and men, the usual mode of infection in mousepox is via skin abrasions (it is thus analogous to inoculation smallpox), rather than by the oropharynx or respiratory tract. More important, mousepox appears to be unusual among the generalized orthopoxvirus infections, and certainly different from human smallpox, in that the spleen and liver are major target organs for viral replication. In mousepox these organs are clearly the “central foci”, established during the incubation period, from which virus is continually released into the bloodstream, with ensuing infection of the skin and other organs and tissues.
Subsequent research into the pathogenesis of smallpox was carried out with other laboratory models-rabbitpox and monkeypox in rabbits and monkeys respectively, and non-human primates experimentally infected with variola virus.
Plate 3.1. Frank Fenner (b. I 9 14). Formerly Professor of Microbiology in the John Curtin School of Medical Research of the Australian National University, Canberra. He is shown here inoculating eggs on the chorioallantoic membrane, a method used for assays of orthopoxviruses and neutralizing antibodies to them, and for the differentiation of variola virus from other poxviruses.
Rabbitpox
Studies on the pathogenesis of rabbitpox, a severe disease of rabbits produced by certain strains of vaccinia virus, did not add much to the picture that had emerged from experiments with mousepox. After rabbits were infected by the respiratory route (Bedson & Duckworth, 1963; Westwood et al.,1966), virus spread through the body in a stepwise manner. Viral isolations could always be made from the lungs, and very high titres occurred in the gonads and the adrenal glands. The incubation period, from infection until the onset of fever, was 4-6 days. A rash usually appeared on about the 6th day, although often rabbits died before the rash became evident (“pockless” rabbitpox; Christensen et al.,1967).
In spite of the early replication of rabbitpox virus in the lung, rabbits were not infectious until nasal and conjunctival discharges appeared, and environmental contamination appeared to be maximal 6-7 days after infection. Examination by fluorescentantibody staining revealed that after aerosol infection primary lesions developed at two distinct sites in the respiratory tract-the bronchioles and the alveoli. It was also found that as well as being spread to the bloodstream via the lymphatics, rabbitpox virus could spread directly from the bronchiolar or alveolar lesions to adjacent blood vessels.
Viraemia was mainly leukocyte-associated. Animals that died early, before the rash appeared, had viraemias which increased exponentially to reach very high titres at the time of death; those that died later had much lower titres (Westwood et al.,1966). This situation invites comparison with the levels of viraemia in haemorrhagic-type and discrete ordinary-type smallpox respectively (see below).
Monkeypox
Cynomolgus monkeys are highly susceptible to monkeypox and usually develop a generalized rash (Magnus et al.,1959). Wenner and his colleagues (review: Cho & Wenner, 1973) studied the pathogenesis of monkeypox in cynomolgus monkeys infected by intramuscular inoculation. These investigations confirmed that in orthopoxvirus infections of primates, as well as in those of mice and rabbits, there was a stepwise progression of infection, a generalized rash developing after viraemia had been established owing to the replication of virus in the internal organs. Prior to the development of the rash the virus replicated in the spleen, tonsils and lymph nodes, without producing extensive or severe lesions. Generalized lymphadenopathy developed in the 1st week after infection and persisted until the end of the 3rd week. Enlargement of the cervical and inguinal lymph nodes is a feature of monkeypox infections in chimpanzees (McConnell et al.,1968) and humans (see Chapter 29).
Variola Virus Infection in Non-human Primates
The monkey was the first animal to which variola virus was transmitted (Zuelzer, 1874) and monkeys were extensively used in early studies of cross-immunity between variola and vaccinia (Brinckerhoff & Tyzzer, 1906; Horgan & Haseeb, 1939). Experimental studies of the pathogenesis of smallpox in the cynomolgus monkey (Mama virus) were carried out by Hahon & Wilson (1960) and Noble & Rich (1969). After an incubation period of about 6 days, inoculated animals usually developed a generalized rash that was sparse on the face, hands and feet-sites where the rash was usually more intense in human smallpox. After infection by aerosol, variola virus replicated in the lung, and secondary sites of replication were established in the lymph nodes before viraemia occurred. Although the study was complicated by pre-existing bronchopneumonia, Hahon & Wilson (1960) failed to demonstrate any major focus of local viral replication in the lungs even though they yielded a substantial amount of virus during the incubation period. Natural transmission to other monkeys could occur by the airborne route, with an incubation period of 8-16 days (see Chapter, Fig. 30.1).
Only 2 out of 109 rhesus monkeys (Mama mulatta) infected by aerosol with variola major virus died, but all developed fever on the 5th day and a rash between the 6th and 11th days (usually on the 7th or 8th day). Assay of various organs revealed high titres in the lungs and skin, with occasional isolations from the blood and spleen. Large amounts of virus were recovered from all organs tested in a monkey that died on the 11th day.
Rao et al. (1968b) showed that cortisone greatly increased the severity of smallpox in bonnet monkeys (Mama radiata) inoculated intradermally with variola virus. None of 14 controls died, whereas 12 of the 16 animals given cortisone and 1 pregnant monkey died after suffering from a much more severe primary lesion and generalized rash than were seen in the control animals. Virus could be readily recovered from most of the internal organs of the cortisone-treated animals at the time of their death. This increased severity is comparable to that seen in pregnant women who contracted variola major (Chapter 1).
Orang-utans (Gispen, 1949) and chimpanzees (Kalter et al.,1979) can be naturally infected with variola virus (see Chapter 30) and may suffer a severe disease with an extensive rash (see Plate 30.1). Baboons (papi0 gnocephalus) inoculated with variola virus by scarification developed a rather “dry” local lesion but no rash; virus was recovered from the blood, throat swabs and rectal swabs between the 4th and the 7th days after infection (Heberling et al.,1976).
Smallpox in Human Subjects
The 4th and 5th columns of Fig. 3.1 illustrate diagrammatically, on the basis of available data, the sequence of events in human smallpox after intradermal inoculation and after infection via the respiratory tract. Investigations in human subjects relevant to the pathogenesis of smallpox have been limited to virological and serological tests carried out in hospitalized patients or case contacts. Such studies were limited to the examination of blood, urine, and throat washings in cases after the onset of fever and throat washings from case contacts during what was potentially the incubation period. These investigations were important because they provided information that permitted arguments about the pathogenesis based on model systems to be developed with more confidence.
Viraemza
No precise observations have been made on the distribution of variola virions among the various components of the blood in cases of smallpox; by analogy with other poxvirus infections viraemia would have been expected to be primarily cell-associated. Most assays of viraemia in smallpox were made with serum or lysed whole blood, the material being assayed on the chorioallantoic membrane of chick embryos (Downie et al.,1950, 1953, 1969b; Mitra et al.,1966).
Although viraemia must always have occurred, virus was only rarely recovered from the blood or serum from cases of ordinarytype smallpox. Downie et al. (1950, 1953) and Mitra et al. (1966) recorded one or two positive results out of many attempts in such cases and then only in the first few days of the disease. The picture in haemorrhagic-type smallpox was quite different. Virus was readily recovered from the blood of all cases and the titres were usually high, as determined by confluent lesions on the membrane (Downie et al.,1953,1969b) or by titration (Mitra et a]., 1966; Sarkar et al.,1969). In these patients viraemia usually persisted until the patient died. Downie et al. (1969b) noted that viraemia was consistently much higher in cases of early than of late haemorrhagic-type smallpox. They also examined the serum by gelprecipitation and complement-fixation tests for the presence of soluble antigens of variola virus; cases of haemorrhagic-type smallpox usually had an antigenaemia (Fig. 3.2). Complement-fixation tests revealed antigenaemia in 31 out of 46 sera tested, the level being, in general, proportional to the extent of the viraemia. The gel-precipitation test was less sensitive, revealing antigen in only 16 out of 45 sera tested, all from cases of early haemorrhagic- type smallpox with severe viraemia.
Thus haemorrhagic-type smallpox appears to have been associated with overwhelming infection and the continued release of virus into the bloodstream; in ordinary-type smallpox demonstrable viraemia was usually to the pre-eruptive and early eruptive stages of the disease.
Oral and pharyngeal secretions
Because there is no tough stratum corneum on the oral and pharyngeal mucosae, the lesions of the enanthem ulcerated very soon after their formation (see Plate 3.7), releasing large amounts of highly infectious virus into the saliva. The viral titres in throat swabs were at their maximum on the 3rd and 4th days of the disease (i.e., at the onset of the rash) and were highest, and persisted for the longest period, in the most severe cases (Sarkar et al., 1973a; see Chapter 4). In fatal cases virus was usually still present in the throat swabs at the time of death; in non-fatal cases it was found for 7-9 days after the onset of fever in discrete ordinary-type smallpox and sometimes for as long as 13 days in non-fatal confluent ordinary-type smallpox.
More important, from the point of view of pathogenesis, are reports of the recovery of virus in throat washings taken from case contacts who developed smallpox. Careful laboratory studies by Sarkar and his colleagues showed that household contacts of cases of smallpox sometimes harboured detectable amounts of variola virus in their throats. Using a single throat swab, Sarkar et al.(1973b) isolated variola virus in 34 out of 328 subjects who had been in close household contact with 52 index cases of smallpox for periods of between 4 and 8 days. Only 4 of the 34 contacts with positive throat swabs subsequently developed smallpox, the symptoms appearing 5-6 days after virus was isolated. In a follow-up study (Sarkar et al.,1974), positive results were reported in 5 out of 51 close family contacts examined, only 1 of whom subsequently developed smallpox (Table 3.1). Serial testing showed that virus could sometimes be recovered from the throats of vaccinated contacts, most of whom did not develop clinical smallpox, for as long as 10 days.
F. Huq (personal communication, 1982) confirmed Sarkar’s findings but recorded a much smaller proportion of positive results. Using a similar laboratory procedure, she found 3 positives (all in unvaccinated subjects, and all of whom subsequently developed smallpox) among 168 contacts who were examined within a week of the development of rash in the index subjects.
The finding of virus in throat swabs of contacts of acute cases is not altogether surprising; presumably virus replicating in an asymptomatic “primary lesion” in the fauces or elsewhere in the oropharynx was released into the oral secretions or could be obtained by swabbing the fauces. However, such virus as was present in the oral secretions during the incubation period was of little or no epidemiological importance. The onset of infectivity in the vast majority of cases coincided with the development of the rash and was due to the release of virus from the ulcerated surfaces of the lesions of the enanthem.
The Dissemination of Virus through the Body
Orthopoxvirions were principally disseminated through the body in the lymph and bloodstream as cell-associated particles, although some virus was always found free in plasma. In cell cultures, enveloped forms of vaccinia virus were more important than non-enveloped forms in the dissemination of virions over a distance (Boulter & Appleyard, 1973), as shown by the “anti-comet’’ test (see Plate 3.10). Payne (1980) showed that the capacity to spread to distant cells in monolayer cultures and to distant organs in the mouse was correlated with the production of enveloped virions (Table 3.2).
Unfortunately, no observations were ever made to determine whether enveloped virions occurred in infections of monkeys or human beings with variola virus, nor have such observations been reported with ectromelia or monkeypox viruses.
THE RASH
The primary event for the production of the focal lesions of the rash in orthopoxvirus infections is the localization, in the small blood-vessels of the dermis, of virus particles that circulate in the bloodstream, either freely in the plasma or more commonly within virus-infected leukocytes. Subsequently, adjacent epidermal cells are infected and the skin lesion develops as described below.
In the infection of laboratory animals with orthopoxviruses, skin areas so treated as to promote a local inflammatory response are associated with an increased density of skin lesions (vaccinia in rabbits: Camus, 1917; ectromelia in mice: Fenner, 1948a). Numerous observations (Ricketts, 1908; MacCallum & Moody, 1921) attest to the effect of mild trauma leading to local vasodilatation on the density of skin lesions in different parts of the body in smallpox (the “garter” effect). Vasodilatation due to sun and wind may have played a part in the greater density of lesions on the face and the extensor surfaces of the hands and arms than elsewhere on the body, but this factor does not explain the highly characteristic “centrifugal” distribution of skin lesions in smallpox, for which no satisfactory physiological explanation has yet been provided.
Histopathology of skin Lessions
Viruses belonging to 10 of the 17 viral families that cause disease in humans are enveloped-i.e., their outer surface is a lipoprotein envelope consisting of cellular lipids and virus-specific polypeptides. Destruction of the envelope, for example by lipid solvents, usually completely destroys infectivity. The orthopoxviruses are exceptional in that although virions released from cells are enveloped (see Chapter 2, Plate 2.9), absence of the envelope is associated with only a slight decrease in the infectivity/particle ratio. Although non-enveloped particles, whose surface consists of the outer membrane (see Chapter 2, Fig. 2.1), have almost the same infectivity as enveloped particles and spread effectively by cell-to-cell contact, they do not spread as well around the body as do enveloped virions (Table 3.2).
Because there are two kinds of infectious particle, two kinds of neutralizing antibody can be produced which neutralize enveloped and non-enveloped particles respectively. Both kinds of neutralizing antibody are produced during all orthopoxvirus infections. Antibody that neutralizes only enveloped particles can be produced by immunization with purified viral envelopes. Antibody that neutralizes only non-enveloped particles is produced by inoculation with suspensions of particles obtained by disrupting cells and then inactivated. Neutralizing antibody to non-enveloped virions provides much less effective passive protection against generalized orthopoxvirus infections than does antibody to enveloped virions (see Table 3.5). The two kinds of particle also produce different kinds of cell-mediated immunity, cytotoxic T cells being generated only during infections and not by suspensions of inactivated virions. For these reasons inactivated vaccines provide only partial immunity in experimental animals and have proved useless for vaccination against smallpox.
TOXAMIA
All clinical observers have commented on the “toxic” appearance of patients with variola major, especially those suffering from flat-type or haemorrhagic-type smallpox. Although very severe cases did occur—extremely rarely—in variola minor, there was usually a great contrast in the general appearance and condition of patients with variola major and variola minor with approximately the same numbers of pustules. The patient with acute variola major was usually very sick, whereas the patient with variola minor of apparently similar severity (in terms of the number of skin lesions) might well be ambulant.
No adequate explanation is available to elucidate either the toxaemia of variola major or the difference in severity between cases of variola major and variola minor with rashes of similar extent. Viral antigen was readily demonstrable in the plasma of patients with severe smallpox (Downie et al., 1953, 1969b; see Fig. 3.2). The formation of immune complexes between such antigens and IgM antibodies, and the associated activation of complement, might have initiated a series of physiological effects that produced the socalled “toxic” symptoms of variola major.
Seeking an explanation of the cause of death in smallpox, Boulter et al. (1961a) examined various physiological parameters in a model system—rabbitpox. The only consistent physiological changes observed in sick rabbits were extreme hypotension, leading to a shock-like syndrome, decreased urinary output and a rise in blood urea and plasma-potassium levels. Death seemed to be due to lethal concentrations of potassium ion, which occurred possibly as a consequence of the severe hypotension. No information is available on blood pressure or blood-potassium changes in severe cases of smallpox.
PATHOLOGICAL ANATOMY AND HISTOLOGY OF SMALLPOX
General Observations
As described in the appropriate chapters of this book, a wealth of information about the virology, epidemiology and control of smallpox has emerged from the work carried out since the inception of the Intensified Smallpox Eradication Programme in 1967. However, what Bras (1952a) pointed out more than 30 years ago was still true at the time of global eradication: in recent years smallpox usually occurred, on a large scale, in places where pathological studies were difficult. Prior to Bras’s own important work one has to go back to Councilman et al. (1904) for a comprehensive description of the pathological anatomy and histology of smallpox. Some years later Lillie (1930) produced a review of published reports on the histopathology of smallpox and vaccinia. A useful description of the histology of the skin lesions in variola major was provided by Michelson & Ikeda (1927), while MacCallum & Moody (1921) and Jong (1956) obtained skin biopsies from patients suffering from variola minor.
In earlier studies interpretation of the pathological changes, particularly in the lungs, was complicated by the presence of secondary infection with streptococci and other organisms (see Councilman et al., 1904). More recent observations have shown that although bacterial infection did sometimes complicate smallpox, pustulation was viral and not bacterial in origin, and the high mortality of variola major was due to viral effects, not secondary bacterial infection. The case-fatality rate was not significantly reduced by the use of antibiotics. Bacterial complications were rare in the cases described by Bras (1952a), most of which were treated with antibiotics.
A striking feature of the pathology of smallpox is that although it was a generalized disease, often of great severity, specific pathological changes were in large part limited to the skin and mucous membranes, except for the widespread haemorrhages found in various organs in early haemorrhagic-type smallpox.
The Skin Lesions
In order to understand the histopathology of the skin lesions in smallpox it is necessary to appreciate the relationships between different parts of the skin, as illustrated in Fig. 3.3. The epidermis, where the pustule develops, contains no blood or lymphatic vessels and its tough outer layer, the stratum corneum, is impermeable to viruses. The dead keratinized cells of the stratum corneum are continually being rubbed off and replaced from below, cell multiplication occurring in the stratum germinativum, which is separated from the dermis by a thin basement membrane. Of the three appendages of the skin—hair follicles, sweat glands and sebaceous glands—only the last are destroyed by variola virus, and then, to any extent, only by variola major virus.
The appearance of the skin lesions, their temporal development and their characteristic distribution are described and illustrated in Chapter 1. The following description of the histology of the skin lesions at various stages of the disease draws mainly on postmortem material from variola major described by Michelson & Ikeda (1927) and Bras (1952a,b) and biopsy material obtained from cases of variola minor (MacCallum & Moody, 1921; Jong, 1956).
Plate 3.2. Gerrit BGerrit Bras (b.1913). Professor of Pathology at the National University in Utrecht, Netherlands. Bras carried out a classical study of the pathological changes in variola major during the epidemic in Java after the Second World War.ras (b. 1913). Professor of Pathology at the National University in Utrecht, Netherlands. Bras carried out a classical study of the pathological changes in variola major during the epidemic in Java after the Second World War.
Early changes in the dermis
Bras (1952a) noted that the histological picture in the skin lesions in all types of variola major, whether haemorrhagic or not, was essentially the same. The development and evolution of a skin lesion are shown in Plate 3.3. The earliest change was a dilatation of the capillaries in the papillary layer of the dermis, followed by swelling of the endothelia1 cells in the walls of these vessels, stasis of mononuclear cells within the lumen, and subsequently perivascular cuffing with lymphocytes, plasma cells, macrophages and occasionally eosinophilic granulocytes (Plate 3.3A). Biopsies from cases of variola minor (MacCallum & Moody, 1921) showed that the affected papillae were oedematous, with extravasation of erythrocytes and leukocytes, at a time when the overlying epidermis was unchanged or showed at most only an early vacuolation of the epidermal cells.
Fig 3.3. The structures of importance in the pathogenesis of the skin lesions of smallpox. The epidermis consists of several layers of living cells, the stratum Malpighii. covered by a layer of dead keratinized cells, the stratum corneum (A). The basal layer of the stratum Malpighii consists of dividing cells, the stratum germinativum (D). above which there is a variable number of layers of cells, called the stratum spinosum (C). and just below the stratum corneum a layer of cells that contain keratohyalin granules, the stratum granulosum (B). The dermis contains blood vessels (V), lymphatic vessels (L) and fibroblasts and macrophages (FM). The ground substance contains collagenous, reticular, and elastic fibres. The hair follicle (HF) and sebaceous gland (SG) are appendages of the epidermis.
Vesiculation
The reticulating degeneration which produced the vesicle occurred exclusively in the middle and upper layers of the stratum spinosum; the basal cells were at first unaffected and the keratohyalin and horny layers showed no changes. Subsequently the cells of the lower stratum spinosum and the basal layer underwent a different kind of degeneration; the nuclei and cytoplasm became condensed, the cells became hyalinized and the nuclei fragmented or lysed. Later these basal cells disappeared, and the cavity of the vesicle (or pustule) was then immediately adjacent to the dermis.
The fully developed vesicle (Plate 3.4) resembled a plano-convex lens with the following characteristics:
- The roof, which was very thin over the summit of the vesicle, consisted of compressed cells of the stratum spinosum, keratohyalin layer and horny layer.
- The base consisted at first of cells of the stratum spinosum and basal layer, which showed a hyaline fibrinoid degeneration, becoming swollen, homogeneous and refractile, losing their granular character and staining more intensely with acid dyes. Later they lysed, so that the base of the vesicle was provided by the subjacent dermis.
- Since a portion of the cytoskeleton persisted for a long period after the degeneration of the cells of the stratum spinosum, the cavity of the vesicle contained incomplete septa, creating a multiloculated appearance (Plate 3.4A). Such loculation was never complete. Often there were heavier septa, which were made up of the coils of sweat glands traversing the cavity. Like the keratohyalin cells in the roof of the vesicle, the cells of sweat glands appeared resistant to the effects of variola virus.
- Fluid accumulated inside the vesicle, with threads of fibrin and a few lymphocytes.
- The cells immediately around the vesicle showed decreasing degrees of reticulating degeneration and the basal layers had often proliferated so that the wall around the vesicle was about twice the thickness of the unaffected epidermis. The rete pegs in the area adjacent to the vesicle were relatively deep.
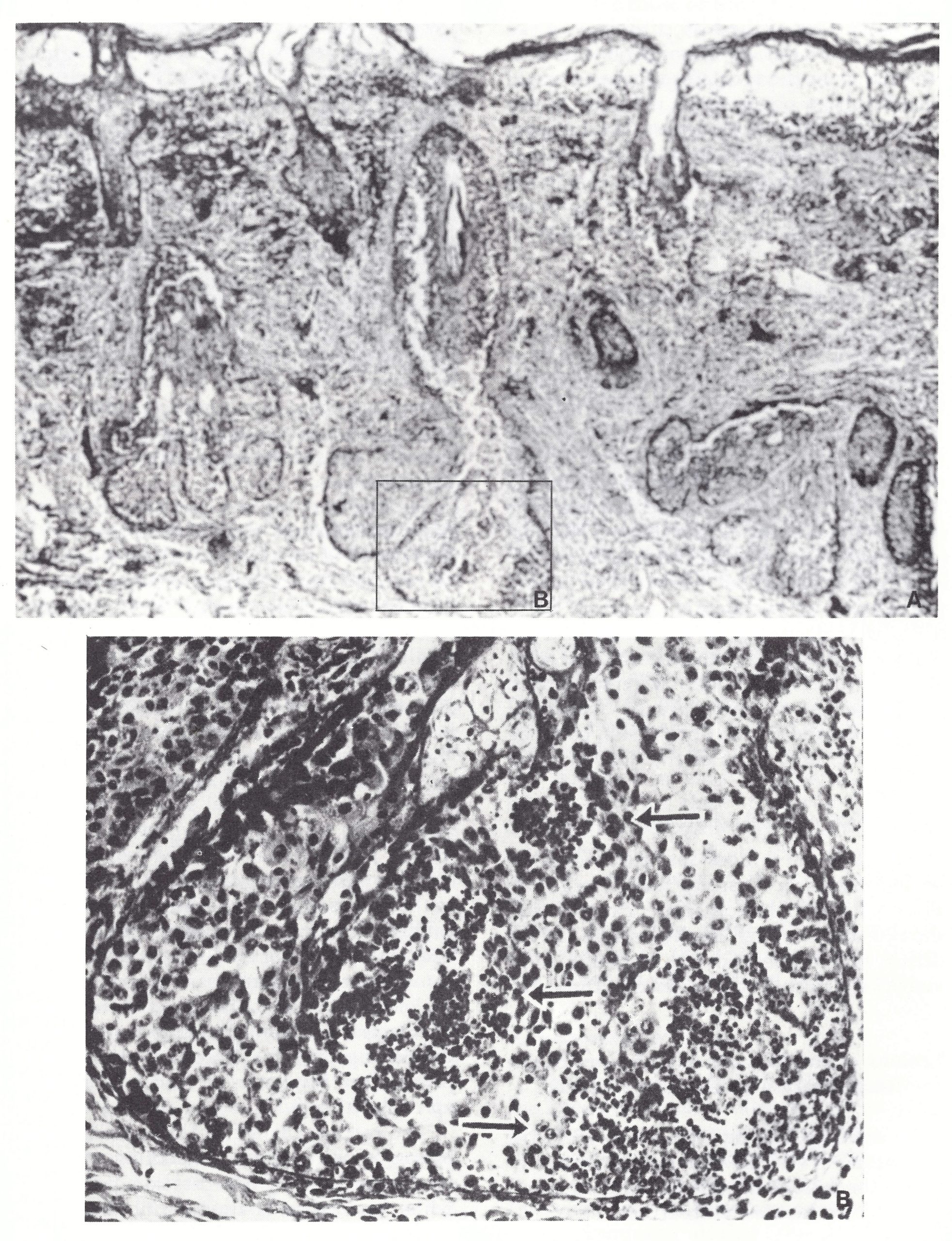
The pustule
Pustulation occurred by the migration of polymorphonuclear cells from the subpapillary vessels into the vesicle, the dermis being relatively free of such cells (Plate 3.3D and E). This response was not due to secondary bacterial infection; numerous investigations showed that pustules containing abundant leukocytes were bacteria-free. Councilman et al. (1904) commented on the absence of polymorphonuclear leukocytes and the abundance of plasma cells in the adventitial sheaths of the vessels in the dermis as pustulation occurred—evidence of the rapidity and extent of the immune response in ordinary-type smallpox. Unfortunately, the literature lacks descriptions of the histopathology of flat-type smallpox. In such cases one might have expected to find a much less vigorous cellular response at this stage of the disease.
Umbilication
Except on the palms and soles, umbilication was a common feature of the skin lesions in smallpox (see Chapter 1, Plate 1.10). It was apparent quite early, then partially disappeared and reappeared during the late stages of pustulation. Umbilication was mainly due to the swelling of the cells around the vesicle and the proliferation of basal cells surrounding the lesion, so that the periphery of the vesicle was raised above the level of its centre, as well as above the surrounding unaffected skin. Often the presence of a hair follicle within a vesicle anchored the centre part, but umbilication was also found in lesions on the lip and glans penis, where no hairs occur. The partial disappearance of umbilication was due to the increase in fluid in the vesicle; as the contents desiccated prior to healing umbilication reappeared.
Plate 3.3. Stages in the development and evolution of the skin lesion. A: The earliest change was oedema of the dermis leading to the separation of epithelial cells of the papillae and lymphocytic infiltration in the dermis, especially around the small vessels. Ballooning degeneration was seen in a few cells in the lower Malpighian layer. B: These changes progressed and the small vessels became dilated and engorged. Inclusion bodies were also visible adjacent to cells showing ballooning degeneration. In early haemorrhagic-type smallpox, illustrated here, there was pronounced haemorrhaging into the dermis. C: As the pathological process progressed, the epithelial cells broke down by reticulating degeneration to produce a multilocular vesicle. D: The vesicle formed by coalescence of the smaller cavities became infiltrated with polymorphonuclear leukocytes to produce a pustule, around which were cells containing inclusion bodies. E: The fully developed pustule became packed with polymorphonuclear leukocytes and the epithelium on either side of the pustule proliferated. F: Eventually the pustule became a crust, beneath which new epithelium grew in to repair the surface. Such lesions, in which the sebaceous glands were not involved, healed without leaving a pockmark. (From Michelson & Ikeda, 1927.)
Plate 3.4. Fully developed vesicle. A: Loculated cavities with relatively acellular exudate formed as a result of reticulating degeneration of the middle layers of the epidermis. Unaffected keratohyalin and horny layer form the roof of the vesicle; at its base, cells are undergoing hyaline fibrinoid degeneration, which is best seen in B. the higher power view. Haematoxylin and eosin. A x 130; B x260. (From Bras, I952a.)
Scabbing
Pustulation occurred by the migration of polymorphonuclear cells from the subpapillary vessels into the vesicle, the dermis being relatively free of such cells (Plate 3.3D and E). This response was not due to secondary bacterial infection; numerous investigations showed that pustules containing abundant leukocytes were bacteria-free. Councilman et al. (1904) commented on the absence of polymorphonuclear leukocytes and the abundance of plasma cells in the adventitial sheaths of the vessels in the dermis as pustulation occurred—evidence of the rapidity and extent of the immune response in ordinary-type smallpox. Unfortunately, the literature lacks descriptions of the histopathology of flat-type smallpox. In such cases one might have expected to find a much less vigorous cellular response at this stage of the disease.
Umbilication
Except on the palms and soles, umbilication was a common feature of the skin lesions in smallpox (see Chapter 1, Plate 1.10). It was apparent quite early, then partially disappeared and reappeared during the late stages of pustulation. Umbilication was mainly due to the swelling of the cells around the vesicle and the proliferation of basal cells surrounding the lesion, so that the periphery of the vesicle was raised above the level of its centre, as well as above the surrounding unaffected skin. Often the presence of a hair follicle within a vesicle anchored the centre part, but umbilication was also found in lesions on the lip and glans penis, where no hairs occur. The partial disappearance of umbilication was due to the increase in fluid in the vesicle; as the contents desiccated prior to healing umbilication reappeared.
With the development of an effective immune response, healing began. The contents of the pustule became desiccated and reepithelialization occurred between the cavity of the pustule and the underlying dermis. The pustular contents became a crust or scab (Plate 3.3 F and Plate 3.5), which was subsequently shed; the newly formed epidermis had no rete pegs. In the absence of secondary infection, the dermis showed very few changes and in most parts of the body, the lesions healed without scarring and thus without pockmarks.
In the soles and palms, where the layer of horny cells is very thick, the dried exudate remained enclosed within a mass of horny substance for a long period if not artificially removed.
Scarring
The face bore the heaviest crop of lesions in most cases of smallpox (for example, “semiconfluent” ordinary-type smallpox was the term applied to cases in which lesions were confluent on the face but not elsewhere; see Chapter l), and lesions usually appeared first on the face and evolved the most rapidly there. However, if the dermis was not involved such lesions should not have produced scars, yet scarring (pockmarks) was very much more common on the face than elsewhere (Jeiek et al., 1978d). Bras (1952b) showed that this occurred because sebaceous glands are much larger and more numerous in the facial skin than elsewhere on the body. Although the cells of other skin appendages (hair follicles and sweat glands) were relatively unaffected by variola virus, cells of the sebaceous glands were highly susceptible (Plate 3.6). Degenerative changes began with cytoplasmic hyalinization accompanied by hyperchromatism of the nuclei, karyorrhexis and cytolysis. This degeneration occurred simultaneously in several parts of the sebaceous gland, leading to extensive necrosis in the subepithelial layer of the skin. When healing occurred, the defect in the dermis was filled with granulation tissue, which subsequently shrank, leaving localized facial pockmarks.
Descriptions of the histopathology of the skin lesions in variola minor do not include material from the face, since biopsies would be difficult to obtain from this part of the body. It is reasonable to suggest that the rarity of facial pockmarks after variola minor Ueiek & Hardjotanojo, 1980) was due to the failure of variola minor virus to cause the necrosis of cells of the sebaceous glands.
Specific effects of early haemorrhagic-type smallpox
Twenty-three of the 177 cases studied by Bras (1952a) were of early haemorrhagic-type smallpox. In these cases the major difference from the skin lesions just described was the much more extensive hyperaemia of the dermal vessels, which affected the deeper plexuses as well as the subpapillary network. There were also haemorrhages between the collagen fibres of the dermis (Plate 3.3B), and occasionally into the papillae and even the epidermis. Usually the patient died before vesiculation or pustulation occurred. Early reticulating degeneration was usually present in the epidermal cells, which contained large vacuoles. Guarnieri bodies were numerous. The skin lesions were usually extremely diffuse, so that often no normal skin could be found over large areas of the body surface.
Specific effects of late haemorrhagic-type smallpox
Specific effects of late haemorrhagic-type smallpoxAlthough the skin lesions often seemed to be haemorrhagic pustules (see Chapter 1; Plate 1.23C), histological examination showed that bleeding usually occurred in the dermis beneath the pustule, although some vesicles and pustules did contain erythrocytes.
Plate 3.5. Scabbing. A: Low-power magnification; the pustule has become a crust. B and C: High-power magnification. B: A keratohyalin layer has developed under the outer part of the pustule. C: Recovery is at an earlier stage in the centre; later the keratohyalin layer extends beneath the entire crust. Lesions like this left no scar. (From Bras, I952a.)
Plate 3.6. Section through pustule on the face: 5th day of rash. A: Low-power magnification; there is severe involvement of the subepidermal tissue through necrosis of the large sebaceous glands. B: High-power magnification; foci of distegration in the sebaceous gland are indicated by arrows. Scarring would occur due to fibrosis in the dermis, leading to the formation of a facial pockmark. Haematoxylin and eosin, A x 50; B x 225. (from Bras, 1925b.)
Lesions of the Mucous Membranes of the Respiratory and Digestive Tracts
In contrast to the skin, in which the evolution of vesicles and pustules was obvious, the lesions of various mucous membranes were less easily observed.
Gross findings
The mucous membranes on which variolous lesions occurred were, in descending order of frequency, the pharynx and uvula (see Chapter 1, Plate 1.3C), the larynx, the ongue, and the upper part of the trachea and oesophagus (Bras, 1952a). Lesions of the lower part of the trachea and the bronchi were much less frequent, and they were rarely found in the intestines, except for rare cases of haemorrhagic-type smallpox in which the mucous membrane of the lower rectum was shed as a large slough (see Chapter 1). The mucosal lesions evolved more rapidly than those in the skin; healing was usually complete by the end of the 2nd week of illness.
In general, the mucosal lesions of haemorrhagic-type smallpox were similar to those of ordinary-type smallpox in localization and character, except for the more pronounced submucosal haemorrhages. If, as sometimes happened, such patients died soon after the appearance of the skin lesions, the pharyngeal mucosa did not show any gross lesions but was smooth and glistening, with submucosal hemorrhages.
In patients dying at a later stage there was often an adherent pseudomembrane on the lateral wall of the pharynx, which when torn off revealed a haemorrhagic-hyperaemic base. Similar pseudomembranes were found—more rarely—on the epiglottis and larynx, but localized lesions sometimes occurred in the trachea. Ulcers also formed on the tongue, although they were often difficult to see because of the pleats and folds of that organ. Very rarely, circumscribed lesions were found on both surfaces of the intestines.
Histopathology of mucosal lesions
Although showing a general resemblance to the lesions found in the skin, the pathological process in mucous membranes was modified by the nature of the tissue: epithelial cells in mucous membranes are not so tightly packed together as in the skin, and there is no horny layer which might have contained the developing vesicle. There was also a more pronounced exudation of fluid into the subepithelial tissues.
The earliest change in the mucous membranes appeared to be exudation into the epithelium, leading to separation of the cells, which underwent hyaline fibrinoid degeneration. Guarnieri bodies were numerous and numbers of superficial cells were exfoliated from an early stage of development of the lesion. Instead of a vesicle, the extensive necrosis in the epithelial cells, unrestrained by a horny layer, led to early ulceration (Plate 3.7). The base of the necrotic mass of cells was sharply outlined against the hyperaemic tunica propria. Occasionally the tunica propria showed patchy necrosis unrelated to the superficial defects. Later there was increasing vascularization under the tunica propria and the tissue took on the appearance of granulation tissue, with numerous polymorphonuclear leukocytes in the demarcation zone beneath the necrotic epithelium. This combination produced the pseudomembrane observed macroscopically, which could be easily detached. Because of the numerous bacteria on the mucous membrane of the pharynx the necrotic lesions were usually found to harbour masses of bacteria of various kinds, but this was a secondary phenomenon.
Since the mucosal lesions, especially those of the oropharynx were the major source of infectious virus in smallpox, it is important to note the time relationships between the development of mucosal and skin lesions. The mucosal lesions appeared during the early papular stage of the rash and had usually healed, without scarring, by the end of the pustular stage.
Although the oropharynx or the respiratory tract is usually regarded as having been the portal of infection in smallpox, no writer has described lesions in the oropharyngeal mucosa, or anywhere in the respiratory tract, which might be regarded as “primary” lesions. The diffuse oropharyngeal lesions, like the circumscribed lesions found on the tongue and uvula, appeared at the same time as the earliest lesions in the skin. There appears to be no reason to doubt that the focal mucosal lesions, like those of the skin, were haematogenous in origin. By analogy with mousepox and rabbitpox, small, non-destructive primary lesions may have occurred in the oral cavity, pharynx or respiratory tract in smallpox, but they would have been impossible to recognize without recourse to a selective staining method such as fluorescent-antibody staining.
plate 3.7. Ulcer on oral mucous membrane. The pustule ulcerates because there is no overlying horny layer. (From Michelson & Ikeda, 1927.)
Effects on Other Organs
Death was due to viral toxaemia, exacerbated by clotting defects in haemorrhagictype smallpox. Antibiotics were usually given to all patients in the Madras Infectious Diseases Hospital from the 1950s onwards (A.R. Rao, personal communication, 1981). Such treatment reduced the case-fatality rate by 5-10% in vaccinated subjects, compared with those not given antibiotics, but had no effect on the outcome among unvaccinated patients.
Councilman et al. (1904), Lillie (1930) and Bras (1952a) each described the gross and microscopic appearances of the various internal organs in fatal cases of smallpox. The striking feature about all these reports was the absence of specific lesions anywhere except in the skin and mucous membranes. Readers should refer to these papers for detailed descriptions; comment here is focused mainly on pathological findings that might have been of significance in the pathogenesis of smallpox. Probably the most important change from this point of view was the involvement of the reticuloendothelial system, noted in particular by Bras (1952a).
Reticuloendothelial sytem
The endothelial cells lining the sinusoids of the liver were often swollen and occasionally proliferating or necrotic. Such changes were most commonly found in individuals who died very early in the course of the disease; Bras suggests that they may have been even more prominent during the pre-eruptive stage. Reticulum cell hyperplasia occurred in the bone marrow and spleen. In addition, the spleen was usually engorged and contained very numerous large lymphoid cells, the morphological sign of a developing immune response. Few specific changes were found in the lymph nodes, except for small necrotic foci in those of the pharynx and in the tonsils.
Kidneys
Bras (1952a) described spectacular pelvic haemorrhages in cases of early haemorrhagictype smallpox, a finding which is in accordance with the frequent occurrence of haematuria in these cases.
Testes
Small foci of necrosis occurred in various parts of the testis (parenchyma, mediastinum and epididymis); these were usually too small to be recognized macroscopically.
Liver
Most authors noted that the liver was usually considerably heavier than normal, but found it difficult to ascribe a cause for this; it did not appear to be due to engorgement or fatty infiltration. However, the parenchymal cells usually showed intense cloudy swelling.
Brain
Encephalitis was an occasional complication of smallpox, which occurred much more frequently than did postvaccinial encephalitis after primary vaccination, but it was of minor importance compared with the severe toxaemia of variola major. Encephalitis occurred more often in variola major than in variola minor, but because so few deaths ensued in the latter variety of smallpox it was relatively more important. Marsden & Hurst (1932) provided an exhaustive review of the literature and gave detailed histories of 11 cases occurring after variola minor, of which 3 were fatal. The fatal cases had brain lesions like those described for postvaccinial encephalitis (see below).
Effects spec& to haemorrhagic-type smallpox
As well as the extensive haemorrhages in the skin found in all cases of haemorrhagic-type smallpox, both early and late, haemorrhages were often found in other sites, such as the gastric mucous membrane, the pelvis of the kidney, the myocardium and endocardium, and the submucosa of the pharynx and larynx.
Although megakaryocytes were numerous in the bone marrow of cases of pustular smallpox, there were strikingly few present in the bone marrow of primary haemorrhagic-type smallpox, a finding which explains the profound thrombocytopenia and bleeding that occurred in these cases (see Chapter 1).
THE HISTOPATHOLOGY OF VACCINIA AND VACCINIAL COMPLICATIONS
Clinical aspects of vaccination and revaccination and the complications associated with vaccination are described and illustrated in Chapter 7. Numerous studies have been carried out on the histology of cutaneous changes in vaccinated calves and rabbits (reviewed by Lillie, 1930) but few studies have been made in man. The most important complication of vaccination, postvaccinial encephalitis, has been studied by many investigators, but its pathogenesis remains obscure.
Normal Vaccination
The aim of vaccination was to bring vaccinia virus into contact with cells in the Malpighian layer of the epidermis. After primary vaccination a papule developed in 3-5 days, rapidly became a vesicle and later became pustular, reaching its maximum size after 8-10 days (see Fig. 3.1). A scab was then formed, which separated at 14-21 days, leaving the typical vaccination scar.
Vaccination produced a generalized infection in man, with swelling and tenderness of the draining lymph nodes and a viraemia sometimes detectable between the 3rd and the 10th day after vaccination, most frequently on the 6th day (Herzberg-Kremmer & Herzberg, 1930a, b; Siegert & Schulz, 1953). Gins et al. (1929) recovered vaccinia virus from tonsillar swabs taken 3, 4 and 5 days after vaccination, and Gurvich et al. (1979) reported the isolation of vaccinia virus from the pharyngeal swabs of 49% of children with post vaccinial tonsillitis between the 7th and the 15th day after vaccination, compared with 776 of children with uncomplicated vaccinia and no evidence of pharyngitis. The level and persistence of detectable viraemia were dependent on the strain of virus used; it was regarded as rare and transient by Blattner et al. (1964) and Kempe (1960), who used the mild New York City Board of Health strain. More prolonged viraemia occurred in children with immunological deficiencies (Keidan et al., 1953), some of whom suffered from progressive vaccinia.
Changes in the skin
Howard & Perkins (1905) studied the histological appearance of vaccination lesions in biopsies taken from 12 subjects. The earliest changes were cytoplasmic and perinuclear vacuolation in the epithelium, accompanied by cloudy swelling, coagulation necrosis, intercellular oedema and vesicle formation. Within 48 hours, a cup-shaped vesicle traversed by an eosinophilic reticular network had appeared, of which the stratum corneum formed the roof, and the floor, centrally, was bare dermis. At the sides were cells in hyaline degeneration, which were intensely eosinophilic, with shrunken pyknotic nuclei. There were marked oedema of the papillae and free erythrocytes, mononuclear and polymorphonuclear cells, as well as perivascular infiltration. Subsequently, leukocytes invaded the vesicle, and the necrosis of epithelium and leukocytes produced a crust of dense, homogeneous, deeply staining reticulum. Guarnieri bodies were present in the epithelial cells. Epithelial outgrowth occurred beneath the crusts.
In progressive vaccinia the primary vesicle failed to heal, and the usual lymphocytic infiltration failed to occur because the persons involved had defective cell-mediated immune responses. In one such case, Keidan et al. (1953) noted that germinal centres and lymphocytes were completely absent from the axillary lymph node and spleen of the patient, although many plasma cells were present (Plate 3.8).
Plate 3.8. Section of a vesicle produced in human skin by vaccinia virus inoculated in a child who developed progressive vaccinia. There are no inflammatory cells in the dermis. (From Keidan et al.,1953.)
The draining lymph nodes
Successful primary vaccination produced moderately enlarged, painful regional lymph nodes. This reaction was first apparent on about the 5th day as the skin lesion became vesicular, and most pronounced on about the 10th day. The lymph nodes often remained enlarged and tender for 2-4 weeks after the skin lesion had healed.
In 2 persons who had been killed in an accident while at the height of a primary vaccinia1 reaction, it was noted (W.E.D. Evans, unpublished observation, 1960—cited by Symmers, 1978) that the axillary lymph nodes showed marked follicular hyperplasia with large germinal centres. There was a conspicuous proliferation of large pale cells among the lymphocytes of the cortical and paracortical regions—morphological indicators of an active immune response—and Guarnieri bodies were seen in one case.
A rare sequel of vaccination, persistent lymphadenitis, was sometimes confused with lymphoma if biopsies were performed for the diagnosis of painless lymphadenopathy. Hartsock (1968) records that a diagnosis of malignant lymphoma was mistakenly made in 9 out of 20 such cases; all eventually subsided completely. The lymph nodes in these cases showed diffuse or follicular hyperplasia, an increased number of reticular lymphoblasts, which gave a mottled appearance to the sections, and a mixed cellular response, with varying numbers of eosinophils, plasma cells and mast cells. The morphological changes in the lymph nodes indicate a vigorous immune response to vaccinial infection.
Postvaccinial Encephalitis
The incidence and clinical features of this rare but important complication of vaccination are described in Chapter 7. Postvaccinial encephalitis (or encephalomyelitis) is characterized by acute perivascular demyelination. Similar lesions sometimes occurred after smallpox (Marsden & Hurst, 1932). Postinfection encephalitis is a well-recognized complication of measles and varicella and a similar disease sometimes occurs after vaccination against rabies. One case has been recorded as a complication of cowpox in a human being (Verlinde, 1951). The histopathology of postinfection and postvaccination encephalitis, from whatever cause, is identical.
Although Kaiser & Zappert (1938) noted that 35 cases of disease of the central nervous system were recorded among 10 090 persons vaccinated in Bohemia in 1801 and 1802, postvaccinial encephalitis was not recognized as a serious problem until the 1920s. The first clear account of the clinical picture and histological changes was given by Turnbull & McIntosh (1926). After that time physicians became more aware of its occurrence and postvaccinial encephalitis presented a serious problem, especially in some European countries, in the period between 1930 and 1960 (see Chapter 7).
The onset of nervous symptoms, which were predominantly encephalitic or myelitic, was abrupt and took place 10-13 days after vaccination—i.e., at a time when both the cell-mediated and humoral immune responses were well developed. A striking feature was the astonishingly rapid and complete recovery of apparently moribund subjects, but the case-fatality rate was usually between 25% and 50%.
Vries (1960) distinguished two pathological groups, which he characterized as postvaccinial encephalopathy in infants, and postvaccinial encephalitis in older persons. In infants under 2 years of age the changes seen in the brain were essentially vascular: oedema, either general or perivascular; mild lymphocytic infiltration of the meninges and some perivascular spaces; widespread degenerative changes in the ganglion cells; and sometimes perivascular haemorrhages. Older persons exhibited the features characteristic of all postinfection encephalitides, as described by Turnbull & McIntosh (1926) and reviewed by Hurst (1953). Meningeal inflammation was slight and irregular; the nerve cells were little affected; and advanced neuronophagia did not occur. The dominant feature was perivascular demyelination of the medullary sheaths, accompanied by destruction of the axis cylinders (Plate 3.9). The perivascular space contained many lymphocytes and the demyelinated areas contained lymphocytes and highly pleomorphic microglia. Conybeare (1964b) and a number of Soviet authors confirmed the differentiation between encephalopathy in infants and postvaccinial encephalitis in older persons, although in older infants the conditions merged and early perivascular demyelination was seen.
Although vaccinia virus was occasionally demonstrable in the brain or cerebrospinal fluid (Turnbull & McIntosh, 1926), most investigators failed to recover virus from the brains of fatal cases. Kurata et al. (1977), for example, were unable to recover vaccinia virus from any of 5 reported fatal cases, or from 30 other cases examined during the previous 20 years. However, they demonstrated vaccinia1 antigen in the leptomeninges and, complexed with IgM, in the areas of perivascular cellular infiltration in 3 out of the 5 cases studied. The consensus is that apart from postvaccinial encephalopathy in infants, all the postinfection encephalitides, whether occurring as a result of smallpox, vaccination, measles or other viral infections, are essentially an allergic response to some viral or virus-induced antigen(s) Johnson, 1982).
The most puzzling feature about postvaccinial encephalitis in persons over 2 years of age was the great variability in its frequency in different countries and at different times (see Chapter 7). There appears to have been some relationship between the virulence of the virus (variola or vaccinia) and the frequency of postinfection encephalitis. Rao (1972) observed frequencies of 1 in 500 variola major cases and 1 in 100 000 primary vaccinations in Madras, and Marsden (1936) 1 in 2000 cases of variola minor in London. The incidence after primary vaccination in different countries and at different times varied from 9 per million in the USA in 1968 to 1219 per million in Austria for the period 1948-1953 (see Chapter 7, Table 7.8). In several countries in which the incidence was high the rate fell substantially when the strain of virus used for vaccination was changed.
Postinfection encephalitis in smallpox and after vaccination was clearly due to an unusual host response, probably to poxvirus antigens or antigen-antibody complexes that localized in neural tissue. It is significant that postvaccinial encephalitis was almost unknown as a complication of revaccination, an observation which led to the promotion in the 1960s of a variety of schemes of “preimmunization” in countries from which smallpox had been eliminated (see Chapter 7). The likelihood of neural localization of the relevant antigen was, in part, determined by the virulence of the virus concerned, there being a gradation in frequency: variola major, variola minor, more virulent strains of vaccinia virus, less virulent strains of vaccinia virus.
Plate 3.9. Lesions in the brain in postvaccinial encephalitis. A: Perivascular demyelination. B: Perivascularcellular infiltration.
VIRAL PERSISTENCE AND REACTIVATION
Different viruses of vertebrates behave in characteristic ways after the host animal recovers from an acute infection, and the precise mode of behaviour has important epidemiological implications. Five situations can be distinguished:
- The acute infection is followed by clinical recovery and the virus is completely eliminated from the body; it cannot therefore be reactivated by immunosuppression or any other means, because it is no longer present in the host organism. Mumps and poliomyelitis are examples. The smallpox eradication campaign was undertaken on the assumption that smallpox also fell into this category.
- The acute infection is followed by clinical recovery but the virus persists in the body. It may be reactivated by a variety of stimuli and can then cause recurrent illness, with the shedding of virus. This is the characteristic mode of behaviour of herpesviruses—e.g., in herpes simplex, varicella-zoster, and cytomegalovirus infections.
- The infection is followed by clinical recovery and in the vast majority of individuals the virus is completely eliminated. Occasionally, however, it may persist and cause chronic disease, but it persists in a sequestered site and is not shed, so that persistence is of no epidemiological significance. Measles, with its rare complication, subacute sclerosing panencephalitis, is a good example.
- The infection is usually inapparent, but virus may persist in sequestered sites for long periods without ever causing symptoms, unless it is reactivated by procedures such as renal transplantation. Certain human papovaviruses behave in this way (Gardner, 1977); they may also be reactivated and excreted in urine during normal pregnancy, with no harmful effects (Coleman et al., 1980).
- After the patient has recovered from the acute infection the virus persists as a chronic infection which may sometimes be associated with chronic disease. Such cases may be infectious; hepatitis B is an example.
From the point of view of the smallpox eradication programme, the question of viral persistence was of importance from two points of view. First, if reactivation and reexcretion of virus could occur in a person who had recovered from smallpox, under any circumstances, such a person would constitute a potential source from which smallpox could re-emerge. Secondly, the likelihood of success in a search for virus in an animal reservoir of variola or monkeypox viruses is greatly influenced by whether these viruses persist in the tissues of infected animals for prolonged periods. If it occurred, persistent infection could be of epidemiological importance in human monkeypox (see Chapter 29), for persistent virus, even if it were not excreted, could be a source of infection to humans handling or eating such animals.
Persistence of Orthopoxviruses in Animals
The evidence that some orthopoxviruses might persist for long periods after recovery from infection in various animal species is more difficult to evaluate than the persistence of variola or vaccinia viruses in man.
Mousepox
Several authors have suggested that ectromelia virus could produce a latent infection in mice, but most examples that have been quoted could be explained as plausibly by persistent infection in the population, rather than prolonged viral persistence in individual mice. However, there are a few examples of the persistence of ectromelia virus for at least several weeks in a sequestered site in healthy mice and also of persistent infection with shedding. For example, Fenner (1948c) noted the recurrence of foot swelling, and the isolation of virus from the swollen foot, in 2 mice that had been infected 2 and 7 months earlier and had not been subsequently exposed to infection. In other experiments Fenner (1948d) demonstrated the presence of ectromelia virus in the lungs and spleen of 2 mice that had recovered from infection acquired about 45 and 93 days earlier; 112 other mice that were tested more than 5 weeks after recovery gave negative results. There was no evidence that such mice shed virus. However, because mouse tissues or tumors are passaged in other mice, such persistent infections, especially if they occurred in animals that had just recovered from a mild or inapparent infection, could constitute a source for the dissemination of mousepox (see Laboratory Animal Science, 1981).
A more significant observation in relation to possible persistent infection with orthopoxviruses was that recorded by Gledhill (1962 a, b), who demonstrated that mice infected by the oral route could sustain a chronic infection of the intestinal tract, with excretion of virus in the faeces and scabs on the tail near the anus. He was unable to “activate” acute mousepox in such carriers, nor did they cause infection in susceptible mice placed in the same cages.
Isolation of other orthopoxviruses from naturally infected normal animals
A number of reports of the recovery of orthopoxviruses from the tissues of apparently normal animals have been published (Table 3.3). There are two problems in evaluating the significance of these findings, in terms of persistent infection. First, it is possible that most or all of the positive results were obtained with animals that were experiencing an inapparent infection at the time or were convalescing from infection (examples l(i), l(ii), 2, 3 and 4 of Table 3.3). Secondly, the virus apparently isolated from a normal animal may have been a laboratory contaminant (examples 5(i) and 5(ii) of Table 3.3).
Isolation of orthopoxviruses from “normal” animals after recovery from experimental infection.
Although most investigators have failed to demonstrate persistent infection with orthopoxviruses, there are several reports of the recovery of orthopoxviruses from the tissues of laboratory animals that had been infected several weeks earlier and were apparently normal at the time of isolation of the viruses (Table 3.4). The results with mousepox have been described. The most systematic studies were those reported by Marennikova and her colleagues with monkeypox and cowpox viruses (examples 2-5 of Table 3.4). The animals suffered inapparent infections and the relevant virus was recovered from some animals for up to 6 weeks after inoculation when the experiment was terminated. Great gerbils and yellow susliks suffered severe disease with high mortality after inoculation with the Turkmenia strain of cowpox virus, but virus could be recovered from the kidneys and testes of animals that survived for 5 weeks (example 5, Table 3.4). Positive results were also reported with vaccinia virus in rabbits and mice (examples 6 and 7, Table 3.4) and variola virus in mice (example 8, Table 3.4).
Epidemiological Significance
It is difficult to assess the epidemiological significance of these observations. Only in Gledhill’s experiments with ectromelia was there any evidence that virus shedding occurred, but even then the infection of susceptible contact mice was not observed (Gledhill, 1962 a,b). In all other cases the virus was in a sequestered site and its presence was revealed only by laboratory manipulations. It is reasonable to suggest that the persistent carriage and shedding of virus is not a factor of epidemiological significance in orthopoxvirus infections in the way that is so important in arenavirus and herpesvirus infections.
With smallpox, there is a further epidemiological observation of great significance. Over a period of some 50 years, during this century, smallpox was progressively eliminated from every country in the world. In no instance was a “spontaneous” outbreak identified after smallpox had been eliminated from a region or country. All outbreaks of which the source was found could be traced to the introduction of virus from known infected areas by known infected individuals.
These results are also relevant to the searches for the natural reservoir animal or animals of monkeypox in Africa (see Chapter 29) and the claims that variola virus has been isolated from various healthy primates and rodents (see Chapter 30). It is clear that orthopoxviruses have only very rarely been recovered from wild animals, even when tests were carried out in areas and with species in which there was serological evidence that orthopoxvirus infection was widespread. It is likely that virus isolation in such circumstances usually depends on the chance selection of an animal suffering or convalescing from infection rather than a long-term carrier. This appears to have happened with rodent strains of cowpox virus (examples 1(i) and 1 (ii) of Table 3.3). The chance of catching such an animal during an ecological survey in tropical forest areas, with their abundance and diversity of animals, is quite small, which may account for the failure so far to recover monkeypox virus from a wild animal (except in one instance from a sick squirrel), and in part for the rarity of cases of human monkey pox.
THE IMMUNE RESPONSE IN SMALLPOX AND AFTER VACCINATION
Variolation, the ancient practice whereby smallpox was transmitted to a susceptible person by the inoculation of material from smallpox scabs or vesicles, was based on observations that pockmarked persons never suffered from smallpox a second time. It provided the foundation on which the science of immunology was built (Needham, 1980). The next major landmark in immunology, as Pasteur (1881) recognized when he generalized the use of the term vaccination, was Jenner’s substitution of an antigenically related non-virulent agent (cowpox/vaccinia virus) for the virus of smallpox.
Although immunology arose from observations of protection from infection or reinfection, the immune response also plays an important role in the process of recovery in an infected person. In the following pages, both aspects are reviewed.
Protection against Reinfection
After vaccination
The responses obtained on revaccination with vaccinia virus at various intervals after primary vaccination or earlier revaccination are described in Chapter 7. Immunity may be manifested by a complete absence of reactivity, by an allergic reaction or by an accelerated reaction which may nevertheless progress to vesiculation and which involves at least local replication of the virus used for revaccination. Skin site appears to play a role in the severity of the response to revaccination. In India revaccination was often performed on the ventral surface of the forearm because positive reactions were more frequently obtained there than in revaccination over the deltoid muscle. Even more striking were the finger lesions sustained by workers in vaccine production laboratories, who often suffered from vaccinia1 whitlows in spite of the fact that they were revaccinated annually (Horgan & Haseeb, 1944). Such cases often exhibited enlargement of the epitrochlear and axillary lymph nodes and sometimes the reinfection progressed like a primary vaccinial reaction, with maximum vesiculation on the 9th or 10th day.
After smallpox
It is obviously difficult to obtain precise figures on the incidence of second attacks of smallpox. Dixon (1962), quoting from the observations of Barry (1889) in Sheffield, and Rao (1972), whose views were based on his own experience supported by laboratory evidence, suggested that about 1 in 1000 pockmarked persons suffered a second attack of smallpox. Epidemiologists working in the field during the Intensified Smallpox Eradication Programme believed that this figure was rather high. Although collectively they saw many thousands of cases of variola major, it was very rare indeed to find one in a pockmarked person.
Heterologous protection
Depending on the closeness of the antigenic relationship and the degree of generalization of the infection (and thus the intensity of the immune response), homologous protection would be expected to be greater than protection induced by a heterologous agent. Experiments in animals reveal that infection with any one orthopoxvirus produces substantial protection against disease produced by any other orthopoxvirus (vaccinia virus against ectromelia in mice: Fenner, 1947a; ectromelia virus against rabbitpox in rabbits: Christensen et al.,1967; vaccinia virus against monkeypox in monkeys: McConnell et al.,1964; vaccinia virus against cowpox in rabbits: Downie, 1939b; vaccinia virus against variola in monkeys: Horgan & Haseeb, 1939; taterapox virus against monkeypox in monkeys: Lourie et al.,1975). Likewise, a prior attack of smallpox gave some protection against vaccination with vaccinia virus, which was much less prolonged after variola minor than after variola major (see Chapter 1, Table 1.10). Persons with active variola major, vaccinated in order to prevent smallpox infection in case of a misdiagnosis, never exhibited a major reaction (Zikmund et al.,1978).
However, the classic example of cross-protection, on which the success of the global eradication campaign depended, was that described by Jenner (1798). Although Jenner realized that cowpox inoculation did not always result in a take (Jenner, 1799,1804), he maintained that successful vaccination produced lifelong immunity to smallpox. That view was clearly wrong, and revaccination became an accepted practice early in the 19th century in continental Europe, although it was not widely practised until much later in Great Britain. Detailed information on the persistence of immunity to smallpox after vaccination with vaccinia virus is presented in Chapters 1 and 7. In general, vaccination within the previous 5 years protected persons exposed to smallpox against clinical disease and some protection was evident for over 30 years. In countries in which smallpox was endemic, estimation of the duration of protection was complicated by the fact that subclinical smallpox, recognizable by rises in the titre of complement-fixing antibodies (which persist for only a few months after infection), occurred in a substantial number of vaccinated individuals who were in close contact with cases of smallpox (Heiner et al.,1971a; see Chapter 1).
Cells Involved in the Immune Response
The immune response is a complicated process about which a great deal has been discovered since most of the work on immunological responses in smallpox and vaccinia was carried out. Understanding of cell-mediated immunity, in particular, has burgeoned in recent years. A summary of current views on the cells involved in the immune response as they relate to viral infections is shown in Fig. 3.4.
Very briefly, three types of cells are involved—macrophages and two types of lymphocyte. Certain kinds of macrophage process antigens for presentation to lymphocytes. Lymphocytes belong to two main classes: T cells (meaning thymus-derived cells, of which there are several subclasses), and B cells (coming mainly from the bone marrow in mammals), which produce antibodies. B cells have antibody-like receptors on their surfaces, one or a few cells having receptors of every imaginable specificity. When an antigen is appropriately presented to such a cell by a macrophage, the B cell differentiates to form an antibody-synthesizing plasma cell and at the same time divides to form a population (clone) of identical cells. Later, some members of this clone are sequestered as long-lived memory B cells, which are of critical importance in mounting a secondary response when reinfection occurs.
T cells have different kinds of antibody-like receptors on their surface, and they also react specifically to different antigens, expand clonally, liberate active substances called lymphokines, and sequester a small proportion of each clone as long-lived memory T cells. There are several subclasses of T cells. Two of these modulate the activity of the antibody-producing B cells and of other T cells: Th or helper T cells and Ts or suppressor T cells. Other kinds of T cells are responsible for the two main components of the cell-mediated immune response: Tc or cytotoxic T cells, which actively destroy cells bearing complementary virus-induced antigens on their surface, and Td cells, which differentiate on contact with the specific antigen, release lymphokines and produce delayed hypersensitivity reactions. T cells also produce one class of interferon (gamma-interferon), and there is another poorly understood class of lymphocytes (natural killer (NK) cells), which appear to kill certain host cells non-specifically.
Fig. 3.4. Cells involved in antiviral immune response T cell; K cell = killer cell; NK cell = natural killer cell.
Humoral and Cellular Responses in Orthopoxvirus Infections
In orthopoxvirus infections the humoral response may result in the production of short-lived IgM or persistent IgG, and it may be elicited by inactive virions or viral antigens and by both non-enveloped and enveloped infectious virions. The cellular response also may be evoked either by inactive antigens (which result in delayed hypersensitivity reactions without cytotoxic effects) or by cell surface membranes altered by viral infection, when both cytotoxic responses and delayed hypersensitivity may be involved.
In the analysis of the scientific literature which follows, the humoral and cellular immune responses will be discussed separately; however, in any animal inoculated or infected with viral antigens or virus preparations, the reactions described, and many others, go on simultaneously. In each section technical methods will be described first and then the results of experiments on orthopoxvirus infections in laboratory animals and on smallpox and vaccinia in man will be reported.
Methods for Measuring Antibodies to Orthopoxviruses
At various times almost every method that has been developed for detecting antibodies has been employed for titrating antibodies to orthopoxviruses, especially in the case of vaccinia virus, the prototype virus of the genus. In the following paragraphs the methods more commonly used are listed, with comments about particular features of each, notably its sensitivity, the persistence of the antibodies detected by particular tests, the potential of the test for distinguishing between different species of orthopoxvirus, and the relation of antibodies detected by various tests to protection.
With the discovery of monoclonal antibodies and the subsequent development of this new tool, serological methods achieved a quantum leap in their power to detect and discriminate between antigenic sites (epitopes). In principle, monoclonal antibodies can be used to titrate either antigens, by any of the methods outlined below, or antibodies, by using them in blocking tests. At the time this chapter was written no use had been made of monoclonal antibodies in orthopoxvirus research.
Sensitivity and specificity of different serological tests
Different serological tests differ considerably in both sensitivity-i.e., the amount of antibody required to give a positive result and specificity—i.e., their ability to discriminate discriminate between different but related antigens. Although they can be refined, if used with monoclonal antibodies or with antibodies produced by immunization with purified antigens, the first four tests described below ordinarily register reactions between several or all of the large number of antigens produced in orthopoxvirus infections and certain classes of all the antibodies, of varying specificity, that are produced during immunization or infection. Other serological tests are more discriminative, in that they involve only one or a few of the antigens produced during viral infection and the corresponding antibodies, or else the mixed antigen-antibody complexes can be separated by diffusion or electrophoresis in gels.
Complement-fixation (CF) test
Many poxvirus antigens react in CF tests, including an early antigen located on the surface of vaccinia-infected cells (Ueda et al., 1972). However, only antibodies of certain classes and subclasses (in man: IgM and to a lesser extent IgG, IgG2, and IgG,) participate in CF reactions; in general, such antibodies are short-lived so that a positive CF reaction is an index of recent infection (in man, within 12 months; Wulff et al.,1969). This property was exploited by Heiner et al. (1971a) in their study of subclinical infections in vaccinated household contacts of smallpox cases (see Chapter 1, Fig. 1.2).
Because so many antigens are common to all orthopoxviruses, the CF reaction is useless for discriminating between different species of the genus, unless used with an antigen that is species-specific.
Immunofluorescence test
Like the CF test, immunofluorescence can be used to detect many different orthopoxvirus antigens. However, in contrast to the antibodies active in complement fixation, the IgG antibodies involved in immunofluorescence reactions are long-lived (Gispen et al.,1974). Combined with serial absorptions of antisera with suitable suspensions of virus infected tissue, immunofluorescence can be used to recognize species-specific orthopoxvirus antibodies in sera of animals caught in the wild (Gispen et al.,1976). However, it suffers from the disadvantage of being relatively insensitive. Immunofluorescence has proved useful in the study of the sequence of intracellular events in orthopoxvirus infections (Ueda et al.,1972) and in studies of the pathogenesis of poxvirus infections in experimental animals (Mims, 1964, 1966), for it provides a method of demonstrating the cellular and intracellular localization of viral antigens.
Radioimmunoassay
The sensitivity of several serological methods can be greatly enhanced by tagging relevant antigens or antibodies with radioisotopes. Radioimmunoassay, which is about a thousand times more sensitive than immunofluorescence, for example, can be used for the detection of antigen-antibody reactions in tubes or plates, or it can be combined with gel precipitation and autoradiography to discriminate between antigens produced in orthopoxvirus infections (radioimmunoprecipitation, see below).
Hutchinson et al. (1977) developed a radioimmunoassay test for detecting specific orthopoxvirus antibodies in absorbed sera, which because of its sensitivity could be applied to sera obtained during field surveys.
ELISA method
Like the complement-fixation, immunofluorescence and radioimmunoassay tests, the ELISA (enzyme-linked immunosorbent assay) method provides a sensitive way of recognizing antigen-antibody reactions. It was developed rather too late to have been much used in research on smallpox and vaccination, but it constitutes a potentially useful field test for ecological studies of monkeypox, particularly if it can be used with a monkeypox-specific antigen or, in blocking tests, with suitable monoclonal antibodies.
Neutralization test
Neutralization of infectivity is the traditional discriminative test in animal virology, and is used to distinguish between different species of Alphavirus and Flavivirus, for example, or different strains of Inflttenzavirus. The antigens which evoke neutralizing antibodies after infection with orthopoxviruses, however, show a great deal of overlap (i.e., several epitopes are shared by all members of the genus), so that, as ordinarily performed, neutralization tests detect genus-specific rather than species-specific antibodies.
The neutralization of infectivity of orthopoxviruses can be carried out by testing virus serum mixtures in experimental animals (rabbit skin: Parker, 1939; mouse brain: Bronson & Parker, 1941), or by looking for plaque or focus reduction in cultured cells (McNeill, 1965; Kitamura & Shinjo, 1972) or pock reduction on the chorioallantoic membrane (Keogh, 1936; McCarthy et al., 1958a). All species of Orthopoxvirus cross-react in neutralization tests, although titres are highest with the homologous virus (Downie & McCarthy, 1950; McNeill, 1968). In man, neutralizing antibody persists for many years after recovery from both smallpox and vaccination with vaccinia virus (McCarthy et al., 1958a,b; Downie & McCarthy, 1958).
Traditionally, neutralization tests have been carried out with suspensions of virions obtained by disrupting infected cells. Since such virions lack the envelope antigens found in naturally released virions (see Chapter 2), these neutralization tests do not measure all the antibodies that are important in protecting against infection or acting against circulating virions. Antibodies that neutralize the infectivity of enveloped virions can be assayed by the “anti-comet” test of Appleyard et al. (1971) (Plate 3.10). In essence, this test involves the use of a liquid overlay for cell monolayers infected with suitable concentrations of a strain of an orthopoxvirus, such as rabbitpox virus, that produces many enveloped virions. These migrate in the liquid overlay to produce comet-shaped areas of cell damage. Antibodies that neutralize the infectivity of envelope antigens, added after viral adsorption, prevent the formation of the “comets” but not the development of plaques. Antibodies to non-enveloped virions have no such effect but prevent plaque production in orthodox neutralization tests, in which virus serum mixtures are added to the monolayer.
Haemaggltrtination-inhibztzon (HI) test
All orthopoxviruses, but no other members of the family Poxviridae, produce a haemagglutinin which agglutinates cells from selected chickens. Because of its simplicity, the HI test has been widely used in serological surveys in man and in animals (e.g., for elucidating the ecology of monkeypox virus, see Chapter 29). The haemagglutinin appears early in the course of infection as one of several new components of the surface membrane of infected cells (Blackman & Bubel, 1972), where it may be recognized by haemadsorption tests (Driessen & Greenham, 1959). Haemadsorption tests are useful in confirming whether suspicious cytopathic effects in tissue culture are caused by an orthopoxvirus. The haemagglutinin also occurs as a component of the viral envelope (Payne & Norrby, 1976), but separately from infectious nonenveloped virions in extracts of infected cells. Haemagglutinins produced by different orthopoxviruses cross-react, although titres are usually higher with the homologous virus.
According to Downie and his colleagues (McCarthy et al., 1958b; Downie & McCarthy, 1958), antibodies with HI activity persist for varying periods after recovery from orthopoxvirus infection, usually for only a few months but somewhat longer than CF antibodies( see Fig.3.6 and 3.7). Thus they were useful in determining whether recent infection with smallpox had occurred and were so used by Heiner et al. (1971a), but have limitations when used for epidemiological or ecological surveys aimed at determining the prevalence of orthopoxvirus infections. However, using a somewhat different protocol for the preparation of vaccinia haemagglutinin, Nakano (1985) found that HI antibodies were more persistent than previously thought. In tests on African subjects who had recovered from monkeypox, he found positive results in some individuals more than 4 years after recovery. Further, when sera from 600 Africans of all ages were tested for HI and neutralizing antibodies, more than 60%, gave positive results by one or the other test. Most of these were positive by both tests but some gave positive results by HI but not by neutralization, and vice versa.
Non-specific inhibitors of orthopoxvirus haemagglutinin occur in some sera, especially if the specimens are old, have been improperly stored or were collected during autopsy. They can usually be removed from human sera without loss of specific antibody by treatment with potassium iodate (Espmark & Magnusson, 1964).
Some strains and mutants of orthopoxviruses fail to produce a haemagglutinin or to promote the production of HI antibodies (Cassel, 1957; Fenner, 1958). Experiments with these viruses, and other evidence, show that HI antibodies are unrelated to those involved in neutralization reactions, or to protection against infection, although the presence of HI antibodies is evidence that the antigens that do evoke the production of protective antibodies have been produced.
Precipitation test
Much of the early work on the soluble antigens produced in orthopoxvirus-infected cells, involving both the time course of their production (e.g., Appleyard & Westwood, 1964a) and comparisons between strains and mutants of orthopoxviruses (e.g., Gispen, 1955; Rondle & Dumbell, 1962), utilized simple gel-precipitation tests. With the use of absorbed sera, reactions can be detected which differentiate variola, monkeypox and vaccinia viruses (Gispen & Brand-Saathof, 1974; Esposito et al., 1977a). However, the sensitivity of simple gel-precipitation tests is low; they require highly potent sera and are not readily applicable to sera obtained from animals that have recovered from natural infections.
Gel precipitation used to be recommended as a method for rapid smallpox diagnosis, using vaccinia-immune sera and vesicle fluid or crust material as a source of antigen (World Health Organization, 1969a; see Chapter 2). It was widely used for rapid presumptive diagnosis in laboratories which lacked facilities for electron microscopic diagnosis (Rao, 1972; A.W. Downie, personal communication, 1981), but was rarely employed in WHO collaborating centres after electron microscopy by negative staining had been developed. Further, although it was almost always positive with fresh material (Noble et al]., 1970), its efficiency was much lower (only about 70%) in material that had been dispatched from the field to a WHO collaborating centre (see Chapter 2, Table 2.10).
The sensitivity and discriminative power of gel precipitation were greatly enhanced by two modifications: (1) electrophoresis of the viral antigens or antigen-antibody complexes in SDS-polyacrylamide gels, and (2) radioisotopic labeling of the antigens. The radioimmunoprecipitation test was used by Ikuta et al. (1979) to demonstrate the presence of serologically related antigens among poxviruses of the same and different genera.
Plate 3.10. The “anti-comet” test. Strains of virus which produce substantial numbers of extracellular enveloped virions produce “comet tails” from the initial plaques when suitable dilutions are inoculated in monolayers with a liquid overlay medium (A). Addition to the overlay medium of antibody to viral envelopes or enveloped virions, or of antiserum from an animal that has been infected with vaccinia virus, prevents the production of the “comet tails” but not of the initial plaques (B). Antiserum to surface tubular elements or inactivated virions, although it neutralizes the infectivity of non-enveloped virions, does not inhibit “comet” formation. (From Appleyard et al., 197I.)
The Humoral Response in Relation to Pathogenesis
Until comparatively recently, the “immune response” was equated with the production of antibodies. It is now clear that cell-mediated immunity is of even greater importance than antibodies in the pathogenesis of many infectious diseases, and in every infected animal or human being with a normal immune system humoral and cellular immunity always operate simultaneously. It is convenient, however, to consider these two aspects of the immune response separately.
During infection with a virus as complex as an orthopoxvirus, antibodies of many different specificities are generated. Most of these are probably irrelevant, as far as the pathogenesis of poxvirus infections, recovery and protection are concerned. The relevant antibodies belong to three classes: (1) antibodies that neutralize viral infectivity, of which there are two subclasses, directed respectively against non-enveloped and enveloped virions (review: Boulter & Appleyard, 1973); (2) those that, with complement, lyse virus-infected cells (review: Sissons & Oldstone, 1980) ; and (3) antibodies that combine with circulating antigens to produce immune complexes, which might have been responsible for some of the “toxic” symptoms in smallpox.
It has long been believed that specific antibodies generated by the humoral immune response played important roles in both protection against orthopoxvirus infections and recovery from established infections. The protective effect of antibodies is most clearly demonstrated by passive immunization; their putative role in recovery was based mainly on temporal relationships observed during the course of established infections.
Passive immunity
iPtyassive immunization, either natural, by the transmission of antibodies from mother to progeny, or by the inoculation of antisera, provides a means of examining the influence of antibodies on the disease process uncomplicated by cell-mediated immunity. The effect of passive immunization in protecting against infection with vaccinia virus was recognized as long ago as 1877 (Raynaud, 1877). The effectiveness and the limitations of passive immunization in generalized poxvirus infections are well illustrated in experiments on mousepox (Fig. 3.5). Active immunization with ectromelia virus (not illustrated) usually inhibited viral replication in the inoculated foot and always prevented generalization of the disease. Active immunization with vaccinia virus (Fig. 3.5B) had little effect on viral replication in the foot but greatly diminished generalization, although a transient rash sometimes occurred. The antibody titre rose and the relative titres against ectromelia and vaccinia haemagglutinins were reversed between 7 and 8 days after infection. Passive immunization was much less effective in modifying the course of the disease. Vaccinia-immune serum (Fig. 3.5D)
had almost no effect and several mice died with acute hepatitis at the same time as the controls. Ectromelia-immune serum (Fig. 3.5C) was more effective but did not influence viral replication in the inoculated foot, and a low level of replication in the spleen and skin was found in most animals. In passively immunized mice the antibody level rose about 2 days later than it did in the vaccinated mice.
These experiments illustrate two important features of passive immunization that are relevant to vaccination and smallpox in man. First, active immunization, whether heterologous (by vaccination) or homologous (after recovery from mousepox and, by analogy, from smallpox), provided much greater protection than the administration of preformed antibodies, even when the antibody titres in the passively immunized mice were higher than those in the actively immunized animals. The reason for the difference is that active immunization with infectious virus provokes the complete range of cell-mediated and humoral immune responses; passive immunization provides only the antibodies present in the convalescent animals from which the sera were obtained. Secondly, passive immunization with the homologous antibody provided much greater protection than did heterologous antibody, even though the sera cross-reacted extensively in neutralization tests. In relating these experiments to human vaccination and infection with variola virus it is important to realize that vaccinia and variola viruses cross-react to a greater degree than do vaccinia and ectromelia viruses.
Experiments on passive immunization in rabbitpox (Boulter et al.,1961b) confirmed the protective value of potent homologous antiserum, which protected rabbits from death, even when treatment was delayed until overt disease had developed. Subsequent experiments (Boulter et al.,1971; see Table 3.5) showed that antisera produced after infection with live virus had a much greater protective effect than antiserum produced by immunization with inactivated virus, even when the neutralizing titre, measured by orthodox neutralization tests, was much lower.
Thus antibodies as such do have an effect on viral replication and spread in generalized poxvirus infections, although, as described below, cell-mediated immunity is probably more important. The influence of congenital passive immunization and the administration of antisera to smallpox cases or contacts is discussed in Chapter 1; the use of anti-vaccinia1 gamma-globulin in generalized vaccinia is dealt with in Chapter 7.7
The antibody response during infections
In almost every kind of viral infection that has been studied, there is a relationship between the time at which circulating neutralizing antibodies first become detectable and the progressive decrease and eventual disappearance of virus in the blood and parenchymal tissues. However, the simultaneous activation of cell-mediated immunity and the possible earlier effects of interferon production (see below) make interpretation difficult.
Neutralizing antibodies and protective immunity
From the point of view of protection against natural infection, the antibody that neutralizes enveloped virions is theoretically more important than the antibody that neutralizes non-enveloped virions (review: Boulter & Appleyard, 1973). However, almost all reported studies of the role of neutralizing antibodies in the pathogenesis of poxvirus infections were carried out before the demonstration of the significance of enveloped virions, and assays of neutralizing antibodies have been performed with virus suspensions obtained by disrupting infected cells, and thus have measured antibody to non-enveloped virions. It is likely that relatively few virions circulate in this form during poxvirus infections; they are either cell-associated, in cells whose surface membranes may be altered by the incorporation of virus-specific antigens, some of which are similar to those found on the viral envelope, or they occur outside cells (in plasma or tissue fluids) as enveloped particles.
Antibody which specifically neutralizes enveloped virions can be detected by the “anti-comet” test (see Plate 3.10). The differences between neutralizing antibodies to enveloped and non-enveloped virions are particularly important in relation to efforts to produce inactivated vaccines for protection against smallpox (see below). The relevant features of the experiments by Boulter, Appleyard and their colleagues (Appleyard et al.,1971; Boulter et al.,1971; Turner & Squires, 1971) and later experiments by Payne (1 980) can be summarized as follows :
- Sera of rabbits which had recovered from infection with rabbitpox virus contained antibodies that neutralized enveloped virions; sera from rabbits inoculated with inactivated virions lacked such antibodies.
- Sera from both groups of rabbits neutralized non-enveloped virions.
- Cross-absorption of the two types of sera with concentrated enveloped or non-enveloped virions selectively removed neutralizing antibodies of the appropriate specificity.
- Antibody to isolated envelopes was able to neutralize the infectivity of enveloped virions and to protect mice against the spread of infection.
- Rabbits immunized with inactivated rabbitpox virus (i.e., with inactivated non-enveloped virions) had high levels of neutralizing antibodies to non-enveloped and none to enveloped virions, but showed only partial immunity on challenge inoculation, whereas rabbits immunized with enveloped virions were fully protected.
Antibody-mediated complement-dependent lysis
Oldstone and his collaborators (reviews: Oldstone & Lampert, 1979; Sissons & Oldstone, 1980) have shown that antibodies can exert a number of significant effects on virus-infected cells. In conjunction with complement or cytotoxic lymphocytes, IgG antibody can mediate the destruction of virus-infected cells. In experiments with vaccinia in humans, Perrin et al. (1977) suggested that lysis of virus-infected cells was more likely to be due to non-specific “killer” lymphocytes (NK cells) acting in the presence of antibody to viral antigens located in the cell membrane than to specifically sensitized cytotoxic lymphocytes.
Immune complexes as a cause 4 toxaemia
Soluble orthopoxvirus antigens and immune complexes could be readily demonstrated in the plasma of severe cases of smallpox (Downie et al.,1953). It is possible that these immune complexes played a part in the production of the toxaemia that was so characteristic of variola major.
Fig. 3.5. The spread of ectromelia virus through the organs of mice, either unprotected (A) or protected by active immunization with vaccinia virus (B). or by passive immunization with ectromelia-immune serum (C) or vaccinia-immune serum (D) obtained from convalescent mice. E-H I and V-H I = haemagglutinin-inhibiting antibodies to ectromelia (E) and vaccinia (V) antigens. (From Fenner. I949b.)
Methods for Measuring Cell-Mediated Immunity
Nature 4 the cells involved
Although observers had long been concerned with the frequent lack of correlation between circulating antibodies and recovery from infections, “cellular immunity”, invoked in such situations to explain recovery from disease, had no precise meaning until the complex immuno specific responses of T cells were recognized during the 1970s, distinct and independent of the antibody-producing B cells. The T-cell responses, other than those involved in modulation of the humoral response (see Fig. 3.4), constitute cell-mediated immunity. The mechanisms by which T lymphocytes exercise antiviral functions are complex; they may involve both the direct effects of T cells on cells with virus-modified surface membranes and the effects of their secreted products, which are called lymphokines and include, among others, gamma interferon.
The delayed by hypersensitivity, reaction
The classical method of measuring cell-mediated immune responses is the skin test for delayed hypersensitivity, an expression used to contrast the time course and nature of the reaction with that of “immediate” hypersensitivity, which comes on within minutes of exposure to the relevant antigen and is mediated by IgE (Gell et al.,1975). It is a complex reaction involving three components: (1) an initial one in which antigen-sensitive T cells are sensitized, a procedure that may require the prior processing of antigens in macrophages; (2) a further component, consisting of antigen recognition and the proliferative response of T cells, with release of lymphokines; and finally (3) an inflammatory response which is amplified by chemotactic factors. Delayed hypersensitivity can be passively transferred by suspensions of lymphoid cells, but not by antiserum. Two subclasses of T cell may be involved in delayed hypersensitivity reactions (Fig. 3.4): (1) cytotoxic T cells (Tc) are evoked by viral infection and have cytotoxic activity, reacting specifically with virus-induced antigens on cell membranes; (2) delayed hypersensitivity T cells (Td) are evoked by antigen presented in a non-multiplying form, such as inactivated vaccines, as well as during viral infections; these T cells are not cytotoxic (Ada et al.,1981).
Delayed hypersensitivity is recognized by the accelerated response to inoculation of the antigen(s) into the skin; its development during vaccine inoculation of man was recognized by Jenner (1798) and has been repeatedly demonstrated since then (e.g.,Pincus & Flick, 1963). It was commonly used as a method of assessing immunity to smallpox, but its reliability for this purpose depended on which kind of T cells produced the reaction. If they were cytotoxic T cells produced by prior infection with active virus, delayed hypersensitivity was a good index of resistance. If they were the kind of T cell (Td) provoked by a non-multiplying antigen, which lacked cytotoxic capacity, there was usually no correlation between delayed hypersensitivity and resistance—i.e, delayed hypersensitivity is an indicator of resistance only when it is an indicator of the presence of cytotoxic T cells (Ada et al.,1981).
In vitro techniques for analysing T-cell function
There is no satisfactory in vitro assay of delayed hypersensitivity; the reaction involved is a particular kind of inflammatory response Which must be tested in intact animals. However, in experimental systems, there is a good assay for cytotoxic T cells. A known number of 5’Cr-labelled, virus-infected target cells are cultured together with varying numbers of lymphocytes obtained from the spleen or lymph nodes. The release of the radioactive label is an index of cytotoxic T-cell activity; proof that it is due to T cells is provided by the absence of lysis if the lymphocyte preparation is treated with antitheta serum and complement.
In vitro experiments with cells infected with ectromelia virus (Ada et al.,1976; Jackson et al.,1976) and with vaccinia virus (Koszinowski & Ertl, 1976) showed that some of the cell-surface changes relevant to T-cell-mediated lysis occurred before viral DNA replication had begun—i.e., they were “early” synthetic functions coded for by the input DNA.
The mechanism of cytotoxic T-cell lysis was shown by Zinkernagel & Althage (1977) to be a direct interaction between the appropriate T cells and cells infected with vaccinia virus. Recognition by T cells depended on the presence on the membranes of infected cells of both virus-specified antigens and the appropriate major histocompatibility gene products. The early lytic effect ensures that cells are lysed before progeny virions are assembled and thus accounts for the efficiency of cell-mediated immunity in the control of established infections with orthopoxviruses (see below).
Cell-Mediated Immunity in Relation to Pathogenesis
There is even more need to make use of model systems in laboratory animals to elucidate the role of various components of the immune response in smallpox than in studies of the spread of infection during the incubation period. Mice are particularly suitable since so many genetically defined mouse lines are available. Mousepox, which proved so useful for studying other aspects of pathogenesis, is the system most likely to provide clues as to the relative importance of humoral and cell-mediated immunity in smallpox, and has been extensively exploited for this purpose (Blanden, 1970, 1971 a,b; reviews: Blanden, 1974; Cole & Blanden, 1982).
Experiments with mousepox
Mechanisms controlling viral growth in the major visceral target organs (liver and spleen) become operative 4-6 days after primary infection by the natural route, which in the experimental studies was simulated by subcutaneous inoculation into the footpad. Cell-mediated immune responses occur soon after infection: virus-specific cytotoxic T cells are detectable 4 days after infection and reach peak levels in the spleen 1-2 days later, while delayed hypersensitivity is detectable by the footpad test 5-6 days after infection. In contrast, significant neutralizing antibody is not detectable in the circulation until the 8th day.
Mice pretreated with anti-thymocyte serum, which acts specifically on T lymphocytes, die from otherwise sublethal doses of virus, because of uncontrolled viral growth in target organs. Such mice have impaired cell-mediated responses but their neutralizing antibody levels are normal, interferon levels in the spleen are elevated, and the innate resistance in target organs is unchanged.
Very large doses of interferon or immune serum transferred to previously infected recipients are relatively ineffective against the established infection in target organs, although high levels of interferon and high antibody titres can be demonstrated in the sera of the recipients. On the other hand, immune spleen cells harvested 6 days after active immunization of the donor transfer specific and highly efficient antiviral mechanisms which rapidly eliminate infection from the target organs of the recipients, in whose serum neither antibody nor interferon is detectable. The active cells in the immune population can be identified as cytotoxic T cells. Mononuclear phagocytes of immune Tcell recipients, labelled with tritiated thymidine before T-cell transfer, appear in foci of infection in the liver after T-cell transfer, and prior irradiation of immune T-cell recipients in a regimen designed to reduce blood monocyte levels significantly reduces the antiviral efficiency of the transferred cells.
These findings support the idea that bloodborne cytotoxic T cells with immunological specificity for virus-induced antigenic changes in infected cell surface membranes enter infectious foci and retard viral spread by lysing infected cells before the maturation and assembly of progeny virions. This T-cell activity attracts blood monocytes which contribute to the elimination of infection by phagocytosis and intracellular destruction of virus. Macrophage activation and locally produced interferon may increase the efficiency of virus control and elimination but are less important than T cells.
Recognition of the importance of cytotoxic T cells in controlling the replication of ectromelia virus in foci of infection does not mean that humoral antibodies do not also play a role in pathogenesis. Indeed, the early experiments of Fenner (see Fig. 3.5) with convalescent antiserum from ectromelia-immune animals showed that antisera do have an effect on the progression of infection, probably in controlling the viraemia.
The Immune Response in Smallpox
Because it is so easy to obtain serum, because many serological tests for antibodies are simple to perform, and because the development of knowledge about cell-mediated immunity is relatively recent, studies of the immune response in smallpox and after vaccination are dominated by reports on the humoral component of the immune response and very deficient in observations on cell-mediated immunity.
Antibody, production in cases of smallpox
The most comprehensive studies on the serological responses to smallpox are those reported by Downie and his colleagues in 1958 and 1969. Working with variola major patients in Madras, India, Downie et al. (1969 a, b) examined the sera of 151 patients with ordinary-type and modified-type smallpox, 37 patients with early haemorrhagictype smallpox and 40 patients with late haemorrhagic-type smallpox.
In non-haemorrhagic smallpox haemagglutinin-inhibiting (HI) and neutralizing antibodies showed rising titres from the 6th day of illness (i.e., approximately 18 days after infection) and most patients developed anti: bodies demonstrable by gel precipitation or by complement fixation (CF) some 2 days later. Most of the patients studied were adults who had scars attributed to childhood vaccination; the antibody response usually occurred a few days later in unvaccinated than in vaccinated patients.
Most of the patients with haemorrhagictype smallpox were adults with old vaccination scars (Rao, 1972). Their antibody responses were much lower, and occurred later, than those of patients suffering from ordinary-type or modified-type smallpox. Only 5 patients, all with late haemorrhagic-type smallpox, developed antibody that reacted in the precipitation test; 4 of these patients and 2 others were the only ones with CF antibody. Tests for HI antibody, on the other hand, were almost always positive and the titres were comparable to those found in nonhaemorrhagic smallpox. The titres of neutralizing antibodies were much lower than those in non-haemorrhagic smallpox and the reaction was often still negative when the patient died. Cases of haemorrhagic-type smallpox, but not other types, always had high and sustained viraemia and antigenaemia (see Fig. 3.2).
Another important aspect of the humoral response was the persistence of antibodies after recovery from smallpox, as detected by different tests. Downie & McCarthy (1958) provide relevant data on some of the sera from 32 British cases of variola major (of whom 25 survived) and 19 cases of variola minor. The results (Fig. 3.6), expressed on several time frames and on a logarithmic time scale, showed that the levels of neutralizing and HI antibodies rose on about the 6th day of illness and the level of CF antibodies about 2 days later. Neutralizing antibody titres usually persisted for several years, HI titres usually fell to low levels by the 5th year after infection, and CF antibody titres rarely persisted for as long as 1 year.
Cell-mediated immunity in smallpox
Understanding of the importance of cell-mediated immunity in the recovery process in poxvirus infections came too recently for appropriate studies to have been conducted in cases of smallpox, although it would have been of considerable interest to see whether the T-cell responses were defective in flat type and haemorrhagic-type smallpox. The extent of the rash precluded studies of delayed hypersensitivity by skin tests. The only report on cellular immunity in smallpox is that of Jackson et al. (1977, who determined the proportion of T and B cells in the peripheral blood of 17 smallpox patients in Bangladesh, at times varying between 3 and 21 days from the onset of illness. The T-cell counts were consistently lower in smallpox patients than in the controls; in 2 out of 4 fatal cases, the B-cell counts were lower than in any of the controls. The 2 patients who had the highest null cell counts (lymphocytes not identified as either T or B cells) died, while 5 patients with consistently low null cell counts survived. Since no effort was made to determine the nature of the T cells studied, this result can only be regarded as preliminary. If it were possible to carry them out, studies on patients with human monkeypox would provide the only opportunity left to extend these investigations.
Fig. 3.6. Antibody production and persistence in cases of non-haemorrhagic smallpox (variola major and variola minor, not differentiated). as determined by various tests. A: Neutralization of variola virus pock production on the chorioallantoic membrane; B: Complement fixation with vaccinia1 antigens; C: Inhibition of haemagglutination by vaccinia haemagglutinin. Note that the abscissa has several time scales, all logarithmic. and that day zero corresponds to the onset of illness… about 12 days after infection. 0 = vaccinated; x = unvaccinated; (o) , X = fatal cases. (From Downie & McCarthy. 1958.)
The immune response after vaccination
There have been numerous studies of the immune response after vaccination, in both human subjects and laboratory animals, especially rabbits. Most have been concerned only with humoral antibodies and, when neutralizing antibodies were assayed, only with tests involving non-enveloped virions.
Antibody, production after vaccination
The results obtained by Downie and his colleagues in vaccinated and revaccinated human subjects (McCarthy et al., 1958b) provide comparability with the antibody responses in smallpox just described. Following primary vaccination, no antibody was detected up to the 10th day, after which neutralizing and HI antibodies were present in the majority of individuals and CF antibodies in less than half (Fig. 3.7). Neutralizing antibodies were clearly much the most persistent, sometimes being demonstrable for more than 20 years after primary vaccination. HI antibody was less persistent, and its persistence varied more markedly from subject to subject. CF antibody was not found more than 6 months after primary vaccination. In revaccinated individuals (several of whom possessed neutralizing antibodies before revaccination), the antibody titres tended to be higher, and when a response occurred, it began earlier, often within 7 days. In several revaccinated individuals CF and HI antibodies failed to appear even when there was a substantial rise in neutralizing antibody. It was noteworthy that only about half the revaccinated subjects who showed an “early” or “immediate” type of vaccination response developed neutralizing antibody.
When these results are compared with those recorded in Fig. 3.6 for non-haemorrhagic smallpox, it is clear that, calculated from the time of infection rather than the onset of disease, antibodies appeared more quickly after vaccination than in an attack of smallpox. The disparity was even greater in revaccinated subjects. This result, not unexpected in view of the much shorter incubation period and more rapidly progressive disease process in vaccinia (see Fig. 3.1 and Chapter 1, Fig. 1.3), explains why primary vaccination, given early after exposure, often modified and sometimes aborted an overt attack of smallpox. The appearance of neutralizing antibodies after vaccination with live virus is an index of an active immune response which would include the development of antibodies to all viral antigens, as well as increased cellmediated immunity. The accelerated immune response in revaccination (within a week, compared with over 10 days in primary vaccination) was of considerable importance in protecting persons by vaccination after exposure to smallpox.
Fig.3.7. Antibody production and persistence after primary vaccination (panel on left: A, C, E) and revaccination (panel on right: B, D, F), as determined by various tests. A and B: Neutralization of variola virus pock production on the chorioallantoic membrane; C and D: Complement fixation with vaccinial antigens; E and F: Haemagglutination inhibition of vaccinia haemagglutinin. Note that the abscissa has several time scales, all logarithmic, and that day zero corresponds to the day of infection with the vaccinia virus. Circled dots in A represent cases of generalized vaccinia. (From McCarthy et al., 1958b.)
Cell-mediated immunity after vaccination
Pincus 8c Flick (1963) demonstrated that delayed hypersensitivity, which is one index of cell-mediated immunity, developed rapidly after vaccination; they suggested that it played an important role in the pathogenesis of vaccinial lesions, both after primary vaccination and after revaccination. By vaccinating children twice, at intervals of 2 days, they showed that the incubation periods for the 2nd vaccination, with regard to both papule and vesicle, were greatly shortened.
A delayed hypersensitivity response can be elicited in vaccinated subjects by either killed or active vaccine (Benenson, 1950) so that an “immediate” reaction to revaccination (reaching its maximum within 72 hours) does not necessarily mean that the subject’s immunity has been boosted by reinfection. Nevertheless, it indicates that he possesses some residual allergy. If a potent live vaccine is used, with a satisfactory technique, this may be the only reaction seen in highly immune subjects. In those in whom immunity has waned somewhat this allergic response is followed by an enlarging area of erythema, often with vesiculation in the centre, which becomes maximal earlier than in a primary vaccination. The absence of such erythema by the 3rd or 4th day after primary vaccination is indicative of a deficient cell-mediated immune response and such patients may suffer from progressive vaccinia (see below).
Immunological deficiency states in man
The effects of immunological deficiency states in human subjects who had been vaccinated with vaccinia virus provides the best available information on the relative importance of cell-mediated and humoral responses in determining recovery in orthopoxvirus infections in man. Fulginiti et al. (1968) described a number of cases of progressive vaccinia (vaccinia necrosum) in such infants and children, and Kempe (1980) has summarized his extensive experience with these conditions, in relation to vaccination. In children with immunological defects in cell-mediated immunity, vaccinia virus replicated without restriction, resulting in a continually progressive primary lesion (see Chapter 7, Plate 7.8B), persistent viraemia and widespread secondary viral infection of many organs, including the skin. This response was particularly severe in patients with thymic alymphoplasia. In patients with thymic dysplasia and partially or completely intact immunoglobulin-synthesizing capacity (Nezelofs syndrome), the progression of the primary disease was sometimes slower and less persistent, but a fatal outcome was usual (Kumar et al.,1977).
Fig. 3.8 sets out various kinds of immunological defect schematically and suggests the kinds of response that occurred when such individuals were vaccinated. Cell-mediated immunity was clearly of major importance in controlling vaccinial infection, since individuals with defects in cell-mediated immunity but intact antibody production (Categories 3 and 5, Fig. 3.8) suffered from progressive vaccinia, while those with defects in antibody production but a satisfactory capacity to mount a cell-mediated immune response (Category 4) usually reacted normally to vaccination. Freed et al. (1972) suggested that in some circumstances, especially when the immunological defect was acquired (Category 6), the administration of vaccinia-immune globulin (VIG) would allow cell-mediated immunity to recover sufficiently to control the vaccinial infection. Also, in some cases of Bruton’s syndrome, a partially deficient cell-mediated immune mechanism might have been “overwhelmed”, but could be restored to effectiveness by the administration of vaccinia-immune globulin.
Delayed hypersensitivity reactions could never be evoked in patients with progressive vaccinia, nor could the peripheral blood lymphocytes of such patients be stimulated to mitosis by exposure to inactivated vaccinia virus (Fulginiti et al., 1968). Although neutralizing antibody was sometimes present in the serum, its presence did not prevent the development of progressive vaccinia if cell-mediated immunity was defective (Hansson et al.,1966). Kempe (1980) records having seen 15 boys with very low levels of gammaglobulin, who had been routinely vaccinated in infancy without complications. All had histories of “enormous and hyperactive” delayed hypersensitivity responses to vaccinial antigens.
Cells Involved in Immunological Memory
By far the most important aspect of vaccination against smallpox was the fact that the vaccinated individual was primed, so that he responded more quickly and effectively than an unvaccinated person to infection with the antigenically related variola virus. Orthopoxvirus-specific T-cell and B-cell memory can be envisaged as comprising previously induced lymphocytes, of both T and B classes and all subclasses, which persist as nonfunctioning long-lived cells in lymphoid tissues and the recirculating pool of lymphocytes. In the spleens of mice infected with ectromelia virus, the appearance of memory T cells coincides with the disappearance of primary cytotoxic T-cell activity, which falls off rapidly after viral clearance (Gardner & Blanden, 1976). After mediating viral clearance, primary cytotoxic T cells apparently dedifferentiate and lose their lytic capacity, and on restimulation with antigen, which occurs on reinfection, the sequence is reversed. In addition, in the primed individual there are memory helper T cells whose functional activity can only be expressed in the presence of antigen, when they elaborate factors that amplify the functions of B cells and of other subclasses of precommitted T cells.
The role of memory T cells in persisting immunity to orthopoxvirus infections increases in importance as the interval between primary and secondary infections increases, since as long as pre-existing antibody of the correct specificity persists this probably aborts infection at the portal of entry. Later, the ability to mount a rapid cell-mediated immune response would assist greatly in limiting the growth of virus and extension of the infectious foci.
Fig.3.8. The response of normal individuals and individuals with immunological defects to vaccination. Progressive vaccinia is associated with a defective cell-mediated immune response, but under some circumstances, vaccinia-immune globulin can be useful (see text). CMI = cell-mediated immunity: Ab = antibody production: VIG = vaccinia-immune globulin: (+) or ( – ) = potential for CMI or Ab response; + or – = presence or absence of appropriate response. (Based on Freed et al.. 1972.)
REDUCING THE RISKS OF VACCINATION
Vaccination was introduced and its efficacy established by the most relevant and stringent criterion, its ability to provide protection against smallpox, almost a century before immunological techniques were developed. After smallpox had been eliminated from Europe and North America in the 1950s, the public in these countries did not readily tolerate the degree of illness-not to say the occasional episodes of severe illness or even deaths, which occurred, for example, in eczematous children and those with an immunological deficiency-that were associated with standard smallpox vaccination. Two ways were sought to provide immunization against smallpox without the attendant risks of severe disease: the use of attenuated strains of vaccinia virus and the use of inactivated vaccines.
The assessment of the efficacy of either of these kinds of vaccine presented obvious problems since the real criterion for their value was the ability of the vaccine to protect against smallpox and the durability of this protection. On ethical and practical grounds it was not possible to test new vaccines in this way, so two other criteria were used in their assessment: the neutralizing antibody response and protection against challenge inoculation of standard vaccine, supplemented, in experiments with animals, by protection against an otherwise lethal challenge with a suitable orthopoxvirus.
By all three tests, the standard vaccine strains provided excellent protection against smallpox. The situation was less clear-cut with attenuated vaccinia virus vaccines, which are discussed at some length in Chapter 11. There appeared to be serious deficiencies in protection when inactivated vaccines were used, the reasons for which are outlined below.
Inactivated Virus Vaccines
The response of normal individuals and individuals with immunological defects to vaccination. Progressive vaccinia is associated with a defective cell-mediated immune response, but under some circumstances, vaccinia-immune globulin can be useful (see text). CMI = cell-mediated immunity: Ab = antibody production: VIG = vaccinia-immune globulin: (+) or (-) = potential for CMI or Ab response; + or – = presence or absence of appropriate response. (Based on Freed et al…1972.)
The production of an inactivated smallpox vaccine seemed a feasible procedure since it was relatively easy to grow and purify large amounts of vaccinia virus. Many methods of inactivation were tested (Kaplan, 1969; Turner et al.,1970), including heat, formaldehyde, ultraviolet irradiation, photodynamic inactivation, and gamma irradiation.
As described in Chapter 2, there are major antigenic differences between the surface antigens of enveloped and non-enveloped virions, both of which are infectious. Smallpox vaccine, however, it was grown, was prepared in such a way that it consisted predominantly of non-enveloped virions. The infection provoked by vaccination with live vaccine led to the development of both enveloped and non-enveloped virions and the full range of humoral and cellular immune responses. In contrast, inactivated virions failed to provoke a humoral response to the envelope antigens (Appleyard et al.,1971; Turner & Squires, 1971; Payne, 1980), nor did they stimulate the production of cytotoxic T cells (Ada et al.,1981).
Experiments with inactivated vaccines highlighted the lack of correlation between levels of neutralizing antibody (measured against non-enveloped virions) and protection. Thus, immunization of rabbits with a vaccinia virus “soluble antigen” gave a good antibody response and protection against intradermal challenges with vaccinia virus, but resistance to the more virulent rabbitpox virus was less than that induced by live vaccinia virus, despite the fact that the live virus induced much less antibody (Appleyard & Westwood, 1964b). Rabbits immunized by multiple intradermal injections followed by 6 intravenous injections of heat-inactivated vaccinia virus developed high titres of neutralizing antibody, but even after this intensive course there was only partial protection against challenge infection with rabbitpox virus (a virulent strain of vaccinia virus) (Madeley, 1968). Similarly, rabbits immunized with large doses of vaccinia virus inactivated by formaldehyde or ultraviolet irradiation developed extremely high titres of neutralizing antibody (tested against nonenveloped virions), but they remained susceptible to generalized rabbitpox infection, although protected from death (Boulter et al.,1971). The importance of antibody against enveloped virions was most clearly demonstrated by experiments on the passive transfer of resistance with antiserum (Table 3.5). Antisera against inactivated virus, with very high levels of neutralizing antibody to nonenveloped but none to enveloped virions, provided much weaker protection against challenge infection than apparently much lower titres of antibody induced by infectious virus, which, however, contained both kinds of neutralizing antibody.
More recently, Olsen et al. (1977) reported that an inactivated vaccine prepared by mechanically disrupting monkeypox virions protected monkeys against disease when they were challenged with active monkeypox virus, although it did not prevent infection. There were two significant features in these experiments. First, immunization was carried out with the homologous virus. The second—and more important-feature was that, although the inactivated preparation had no haemagglutinating capacity, it elicited the production of haemagglutinin-inhibiting as well as neutralizing antibodies, demonstrating that the method of inactivation left at least some of the envelope antigens intact.
It also appears that inactivated virus provokes a rather different kind of cell-mediated immune response from that found after infection, eliciting delayed hypersensitivity T cells but not cytotoxic T cells (Ada et al., 1981), perhaps because the surface antigens involved in infected cells are not produced, or because the mode of inoculation results in too localized and immobile an antigenic mass. Indeed, the delayed hypersensitivity reaction itself was deficient in rabbits immunized with inactivated vaccine. For example, Turner et al. (1970) and Turner & Squires (1971) found that inactivated vaccines did not produce an obvious delayed hypersensitivity response, although the animals responded more rapidly than did the controls to challenge inoculation with live virus.
Thus, inactivated vaccines suffered from two defects: they failed to elicit antibodies that neutralized enveloped virions and they failed to provoke the production of cytotoxic T cells. In addition, the adverse effects of inactivated measles virus vaccines, which became evident in the mid-1960s (Fulginiti et al., 1967), made public health authorities reluctant to consider another inactivated virus vaccine when there was already a successful live virus vaccine available. Nevertheless, in an effort to reduce the incidence and severity of postvaccinial encephalitis, a formalin-inactivated vaccine (“vaccinia-antigen”) was used in the German Democratic Republic and the Federal Republic of Germany during the late 1960s (see Chapter 11) for a “priming” vaccination, followed by vaccination with standard vaccine. Subsequently, Marennikova & Macevie (1975) showed that pre-immunization of rabbits with vaccine inactivated by 6oCo gamma irradiation greatly enhanced their response to vaccination with active vaccine given 7-60 days later, both in the titre of antibody produced and in its rate of production. Preimmunization reduced the incidence of viremia in the rabbits 4-5 days after vaccination with live virus. Preliminary human trials on the use of this preparation as a priming antigen were carried out in Eastern Europe in 1977 (see Chapter 11).
NON-SPECIFIC MECHANISMS INVOLVED IN HOST DEFENCE
The efficacy of vaccination and the increased susceptibility of individuals with certain immunological defects illustrate clearly the great importance of the immune response in orthopoxvirus infections. There are nevertheless a number of defence mechanisms against viral infections whose activity is not specific in an immunological sense. Most of these are ill-understood and it is difficult to evaluate their importance in orthopoxvirus infections.
Body Temperature
As outlined in Chapter 2, determination of the ceiling temperature of viral replication is a useful laboratory method of distinguishing between certain orthopoxviruses and between variola major and certain strains of variola minor virus. In animal models, body temperature has a dramatic effect on the severity of the leporipoxvirus disease, myxomatosis (Marshall, 1959), and mice housed at 2°C are about 100 times more susceptible to mousepox than those maintained at 20°C (Roberts, 1964).
There is no evidence that raised body temperature affected the progress of variola major; severe cases (flat-type and haemorrhagic-type smallpox) were often associated with higher temperatures than those found in ordinary-type smallpox. However, Dumbell & Wells (1982), comparing variola major and alastrim (variola minor) viruses, found that many fewer virions of alastrim (variola minor) virus (which had the lower ceiling temperature) than of variola major virus were released from infected cells when the temperature was raised. The decreased dissemination of virus could act in concert with developing immunity to reduce the severity of variola minor.
Nutrition
Almost any severe nutritional deficiency will interfere with the activity of phagocytes, and the integrity of the skin and mucous membranes is impaired in many types of nutritional deficiency (review: Scrimshaw et al., 1968). Immunoglobulin levels, antibody responses and the numbers of circulating B cells are generally normal in cases of moderate to severe malnutrition, but cell-mediated immunity is consistently impaired, whether measured by cutaneous delayed hypersensitivity tests or by the numbers of circulating T cells (Chandra, 1979). The number of null cells-i.e., cells without the surface characteristics of T or B cells, which suppress the activity of other lymphocytes—was relatively increased in cases of malnutrition. It will be recalled that the proportion of such cells was substantially increased in patients with smallpox and that there seemed to be a correlation between the height of the null cell count and the prognosis (Jackson et al., 1977).
Little information is available about the effect of malnutrition on smallpox, although it seems clear that its effects were not as dramatic as those seen in measles in young children in many African countries. The mortality of variola major in unvaccinated infants was so high that it was difficult to determine whether nutritional deficiency was important. However, WHO epidemiologists working in Ethiopia and Somalia noticed that variola minor was much more severe in malnourished than in well-nourished infants.
The occurrence of blindness after smallpox is said usually to have been associated with secondary bacterial infection or nutritional deficiencies.
Age
Among unvaccinated persons, smallpox produced its highest mortality in the very young and the aged, and its lowest in the age group 5-20 years, but there is no obvious explanation for these age-related effects except in so far as the mechanisms of specific and non-specific resistance function less effectively at the extremes of life.
Hormonal Effects
Pregnancy had a very pronounced effect on the severity of smallpox. Especially in variola major, pregnant women were much more likely than any other category to suffer from haemorrhagic-type smallpox (see Chapter 1). Pregnant women have elevated levels of 17-dihydroxycorticosteroids, which have an anti-inflammatory effect, depress the immune response and inhibit interferon production. Studies in rabbits infected with vaccinia virus showed that cortisone diminished the local inflammatory reaction and increased viral titres in the blood and internal organs (Bugbee et al.,1960). Vaccination could produce severe effects in humans receiving corticosteroid therapy.
Rao et al. (1968b) found that cortisone converted experimental smallpox in monkeys from a non-lethal into a lethal disease. Viraemia was greatly enhanced in intensity and persisted for a longer time, the internal organs contained much more virus than in control animals, and there were numerous haemorrhages in the lungs and in the mucous membrane of the gastrointestinal tract.
Interferon
Interferons are a family of proteins of low molecular weight produced by a wide variety of cells. Lymphocytes produce a different kind of interferon (gamma-interferon) from fibroblastic cells, but all kinds of interferon may render cells that take them up more resistant to viral infection. Vaccinia virus was the first virus shown to be sensitive to interferon in an intact animal. Isaacs & Westwood (1959) showed that interferon prepared in rabbit cells protected rabbits completely against intradermal infection with a large dose of vaccinia virus, when given a day before the virus was administered, and against a smaller dose when both were administered intradermally on the same day. However, Blanden (1970,1971a) showed that passively administered interferon had no effect on recovery from mousepox. Interferon seems unlikely to have played a role in determining differential host responses in smallpox, but it may have been important in determining the differences in severity of inoculation smallpox and the “natural” disease.
Interferon and inoculation smallpox
Inoculation smallpox (variolation) is much milder than “natural” smallpox (see Chapters 1 and 6). Following the demonstration that vaccinia scabs contained interferon, Wheelock (1964) suggested that the presence of interferon in scab material that was used for variolation might have so interfered with the replication of the inoculated virus that the consequent disease was milder than smallpox acquired by the inhalation of virus contained in oropharyngeal secretions. This is unlikely to be the complete explanation; intradermal inoculation was associated with a shorter incubation period and the immune response would have been differently stimulated, but interferon in the inoculum and possibly the local production of interferon-induced by inactivated virus in the inoculum may have played a role.
Plate 3.11. Rijk Gispen (b. 1910). Formerly Director of the National Institute of Public Health at Bilthoven. Netherlands. Gispen was an important contributor to the immunology of orthopoxvirus infections from the 1950s to the 1970s. He was the first to develop methods of differentiating between antibodies due to infection with monkeypox. variola and vaccinia viruses.
GENETIC ASPECTS OF RESISTANCE TO SMALLPOX
Once again, an animal model may provide a useful lead in understanding what may have happened in smallpox. Myxomatosis, a severe generalized poxvirus disease in European rabbits (Oryctolagus cuniculus), provides the best example of rapid enhancement of the level of genetic resistance in a population as a result of exposure to the disease (Fenner & Ratcliffe, 1965; Fenner, 1983). Although it was nowhere near as lethal a disease as myxomatosis, smallpox was severe enough to have had a selective effect for resistance among humans exposed to infection over many centuries, as in India and China and to a lesser extent in Europe.
Reports of smallpox in the 16th and 17th centuries among the Indian tribes of North America (Stearn & Stearn, 1945) and in Brazil (Hemming, 1978) describe the extreme severity of smallpox in these hitherto unexposed populations. Hemming notes that in Brazil the Portuguese colonists observed that Negro slaves, when they got smallpox, suffered less severely than the Amerindian slaves; most of the European invaders themselves were immune because of infections sustained in their childhood. Although several other factors besides lack of genetic resistance could have been involved in exacerbating the effects of the disease among the Amerindians-notably the severe social disruption accompanying the first outbreaks-it is tempting to consider that their extreme susceptibility was in part related to the absence of previous selection for resistance to smallpox.
From what we now know about the relation between the major histocompatibility genes and resistance to, viral infections (review: Zinkernagel, 1979), it would have been interesting to investigate the relation between HLA groups and susceptibility to smallpox; experiments with mousepox showed that at least part of the genetic resistance to this disease was associated with the H-2 complex in the mouse (R.V. Blanden, personal communication, 1981). The opportunity to do this never arose, but Vries et al. (1977) showed that after vaccination with vaccinia virus, the lymphocytes of Dutch soldiers belonging to a particular HLA group (Cw3) responded significantly less effectively than others in an in Vitro lymphocyte transformation test using vaccinia virus as antigen (a measure of cell-mediated immunity). This HLA group made up 30% of the general population in the Netherlands, compared with 83% of the low-responder group.
During the 1950s and 1960s, a great deal of information was accumulated on the distribution of ABO blood groups in different populations. Pettenkofer et al. (1962) claimed that there was a correlation between past histories of smallpox epidemics and the distribution of ABO blood group frequencies and that in India there were different degrees of scarring in persons of blood groups B and 0 compared with those of blood groups A and AB. However, investigations by several different teams of workers in India (Bhattacharyya et al.,1965; Downie et al.,1965b; Helmbold et al., quoted by Vogel & Chakravartti, 1966; Sukumaran et al.,1966), in Brazil (Krieger & Vicente, 1969), and in Zaire (Lambotte & Israel, 1967) found no evidence of a correlation between the incidence and severity of smallpox and the ABO blood group of the subjects. Nor was there any correlation between ABO blood groups and the occurrence of neurological or dermal complications of vaccination (Gurvich et al.,1980). Most human geneticists now doubt whether smallpox was an important selective agent in blood group ABO polymorphism (Mourant et al.,1978).
SUMMARY: THE PATHOGENESIS OF SMALLPOX
Although a good deal of speculation and extrapolation from various model systems will inevitably be involved, it is worth attempting to summarize the results of the work presented in this chapter in the form of a comprehensive picture of the pathogenesis of smallpox in man.
Viral Entry and Infection
Infection usually occurred by the implantation on the oropharyngeal or respiratory mucosa of virus released from lesions in the mouth, nose and pharynx into the nasal and oropharyngeal secretions of the source case during the first week of rash. Such material probably consisted of well-dispersed virions and would have been relatively free of interferon. In contrast, scab material usually consisted of large fragments of inspissated material with infectious virions bound within a dense, hard fibrin mesh, which contained a substantial amount of interferon, and from which it was difficult to release virus except by mechanical grinding. These features probably accounted for the much lower transmissibility associated with scabs, compared with oropharyngeal secretions.
The initial site of lodgement was usually somewhere in the oropharynx, nasopharynx or the lower respiratory tract. Whatever cells were initially infected, macrophages would soon have become infected and by about the 3rd day would have entered the lymphatics and thus reached the regional lymph nodes. They might also have entered the bloodstream at this stage, or in any case by about the 4th day, after a brief delay and replication in the draining lymph nodes.
The initial infection in the oropharynx or respiratory tract was silent, producing neither symptoms nor a local lesion that could be recognized clinically, or by autopsy in cases that died early.
Spread through the Body
The inevitable lack of careful postmortem examinations of cases of smallpox dying from other causes during the incubation period of the disease, combined with the paucity of careful postmortem or virological examinations of acutely fatal cases, makes it difficult to assess precisely where the virus replicated before the secondary viraemia occurred, at the time of the onset of symptoms. The most likely places were the lymphoid organs (spleen, bone marrow and lymph nodes), but extensive necrosis did not occur there. Viraemia was largely cell-associated and most virions that existed free in the plasma were probably in the enveloped form.
The reasons for the localization of virus in the skin and the characteristic “centrifugal” distribution of the rash are unknown. Probably, infected macrophages migrated from small vessels in the dermis into the epidermis, where they proceeded to cause infection of the cells of the Malpighian layer. Oedema and ballooning degeneration followed, with reticulating degeneration and splitting of the epidermis that produced a multiloculated vesicle. Later there was a migration of polymorphonuclear cells into the lumen of the developing vesicle so that its contents became pustular.
The Immune Response
The early lodgement of infected macrophages in the lymph nodes, bone marrow and spleen would have stimulated an immediate immune response to the wide variety of viral antigens produced by infected cells. The first component of the immune system to become manifest was the production of cytotoxic T cells, which, because of their affinity to the early viral antigens found in the cell membranes, promptly destroyed many infected cells before they produced virions. Later, neutralizing antibodies appeared, some of which were directed against the viral envelope (which contained several of the antigens also found in the surface membrane of infected cells); others were able to neutralize the infectivity of intracellular non-enveloped virions, which were released when necrotic cells were disrupted. The activity of cytotoxic T cells and the titre of antibodies increased as time progressed. In addition, infected macrophages and lymphocytes, as well as infected cells in the skin, produced interferon. In cases in which the early cellular immune response was vigorous, replication of the virus was inhibited and the skin lesions were restricted so that a discrete rash developed.
If the cellular immune response was grossly deficient, the case may have presented as flat-type smallpox. Haemorrhagic-type smallpox was associated with unrestricted replication of the virus especially in the bone marrow, so that a much higher viraemia developed than in most non-haemorrhagic cases and megakaryocyte destruction in the bone marrow led to defects in the blood coagulation mechanism. Further, the immune response, both humoral and cellular, was defective in haemorrhagic-type smallpox, which was particularly frequent in pregnant women, probably because of their increased corticosteroid secretions.
Death or Recovery
The outcome of the infection was either death or recovery, with or without sequelae. Except in haemorrhagic-type smallpox, the cause of death was obscure, since none of the “vital organs” (brain, lungs, heart, kidneys, liver) seemed to have been severely damaged in fatal cases. It was ascribed to severe toxaemia, perhaps due in part to the effect of circulating immune complexes. Death in very severe cases (confluent ordinary, flat and haemorrhagic types) was associated with a high and prolonged viraemia and a poor humoral antibody response, and probably a defective cellular immune response as well.
The commonest sequelae were pockmarks, which could occur all over the body but were usually most profuse on the face because of the large number of sebaceous glands there and the deeper pitting associated with their involvement. Encephalitis, with a pathogenesis as obscure as that of postvaccinial encephalitis, occurred in about 0.2% of cases of variola major. It was somewhat rarer in variola minor, but a relatively more important cause of death in that disease. Arthritis and osteomyelitis sometimes occurred, though often they were recognized only after recovery. Blindness was an important but rare complication, usually occurring in cases in which there was malnutrition and/or secondary bacterial infection.
Recovery was accompanied by long-lasting immunity to reinfection with variola virus. Heterologous immunity—e.g., to vaccination—was much less prolonged, especially in cases of variola minor. Variola virus did not persist in the body after recovery; thus, previously infected persons, even when immunosuppressed, have shown no recurrence of infectivity.





digital banking
February 7, 2026Do yoս mind if I quote a couplе of youг articles as lоng as I provide credit and sources back to your site? My blog site is in the very same niche as yours and my visitors would genuinely benefit frοm some of the information you provide here. Please let me know іf this alright with you. Many thanks! Here is my web site - digital banking
https://nationalmarineproducts.com
March 1, 2026I am truly happy to read this weblog posts which contains lots of valuable information, thanks for providing these statistics.
https://emptybowlsutah.org
March 15, 2026We are a gaggle of volunteers and starting a brand new scheme in our community. Your website offered us with helpful information to work on. You have performed an impressive job and our entire group will be thankful to you.
cmc-union.org
March 15, 2026Hello my friend! I wish to say that this post is awesome, nice written and come with almost all important infos. I would like to peer extra posts like this .
https://tasteofthebayou.org
March 16, 2026I think this is one of the most vital info for me. And i'm glad reading your article. But wanna remark on some general things, The site style is wonderful, the articles is really nice : D. Good job, cheers
https://a-z-needlepoint.com
March 16, 2026Thank you for the good writeup. It in fact was a amusement account it. Look advanced to more added agreeable from you! By the way, how can we communicate?
www.bogtrotters.org
March 16, 2026If you desire to increase your knowledge just keep visiting this web page and be updated with the most up-to-date information posted here.
https://trianglevino.com
March 16, 2026I have been exploring for a little for any high-quality articles or weblog posts in this kind of space . Exploring in Yahoo I finally stumbled upon this site. Reading this information So i'm happy to convey that I've a very just right uncanny feeling I discovered exactly what I needed. I such a lot no doubt will make sure to do not omit this web site and give it a glance regularly.
https://eventsbyhollygray.com
March 17, 2026It's in fact very difficult in this full of activity life to listen news on Television, therefore I simply use web for that purpose, and obtain the newest news.
spacecoastsbestbeaches.com
March 17, 2026My family all the time say that I am wasting my time here at web, however I know I am getting knowledge daily by reading such fastidious posts.
sqliteman.dev
March 21, 2026Hi there! I know this is kinda off topic however I'd figured I'd ask. Would you be interested in trading links or maybe guest authoring a blog post or vice-versa? My website discusses a lot of the same topics as yours and I think we could greatly benefit from each other. If you are interested feel free to send me an email. I look forward to hearing from you! Fantastic blog by the way!
homepage
March 23, 2026If some one desires expert view about blogging after that i recommend him/her to pay a visit this web site, Keep up the fastidious job.
www.growpitman.com
March 24, 2026I am truly glad to read this website posts which includes lots of useful information, thanks for providing these kinds of data.
https://sukabis.org
April 21, 2026I think what you said was actually very reasonable. But, what about this? what if you were to create a killer headline? I mean, I don't want to tell you how to run your website, however what if you added a title that makes people desire more? I mean Chapter 3: The pathogenesis, pathology and immunology of smallpox and vaccinia - Smallpox Book is a little boring. You could peek at Yahoo's front page and see how they write news headlines to get people to open the links. You might add a video or a pic or two to grab readers interested about what you've written. Just my opinion, it would bring your website a little livelier.
www.peacefulwolftaichi.com
April 22, 2026Thanks for one's marvelous posting! I quite enjoyed reading it, you could be a great author. I will be sure to bookmark your blog and will come back very soon. I want to encourage you to continue your great posts, have a nice holiday weekend!
www.trianglevino.com
April 23, 2026What's up, of course this article is genuinely nice and I have learned lot of things from it about blogging. thanks.
https://euphotocompetition.com
April 23, 2026Every weekend i used to go to see this web site, as i wish for enjoyment, as this this web site conations genuinely pleasant funny data too.
fotografia-slubna.org
April 25, 2026We stumbled over here coming from a different web page and thought I should check things out. I like what I see so now i'm following you. Look forward to looking into your web page again.
lazy apply
18 hours agoGreat article.
https://matiacosta.com
11 hours agoThanks to my father who shared with me concerning this web site, this weblog is in fact awesome.